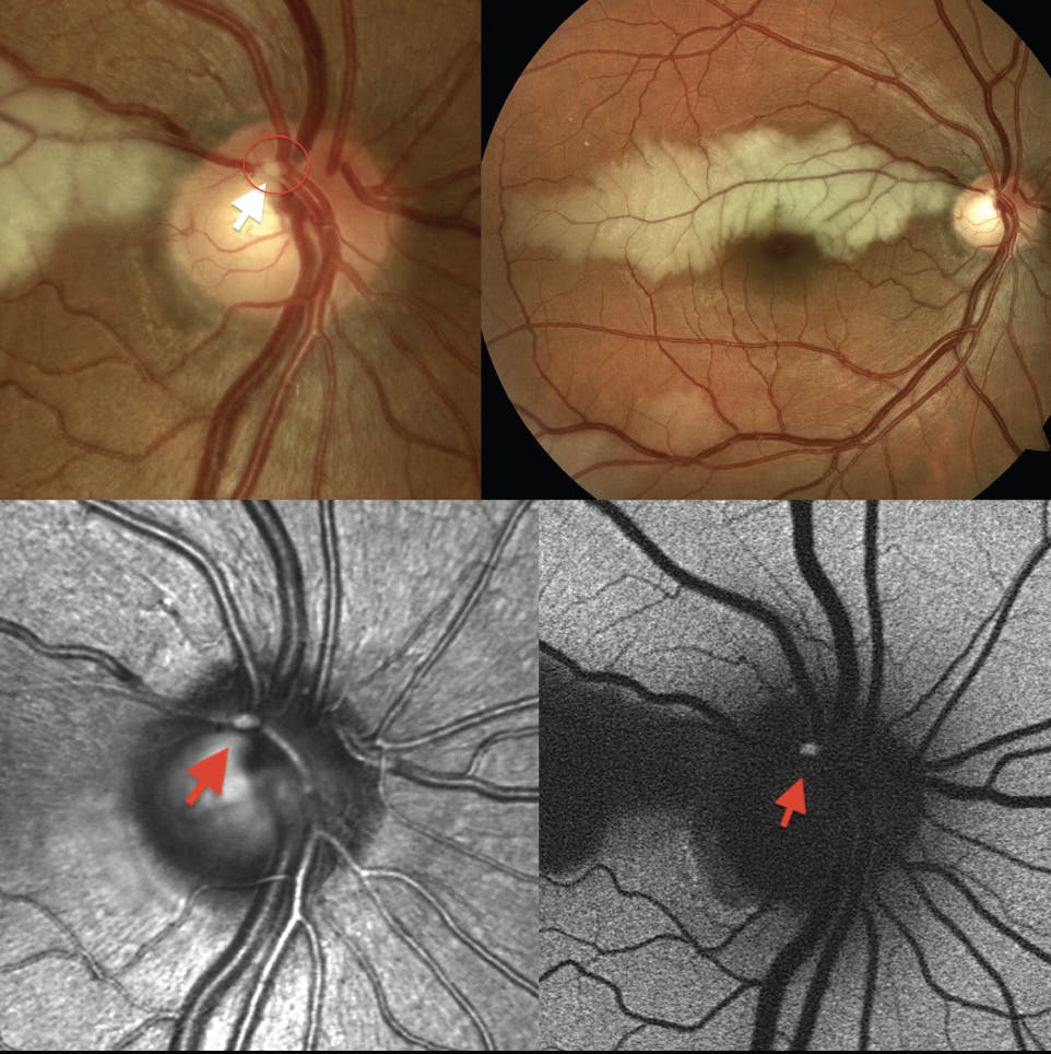
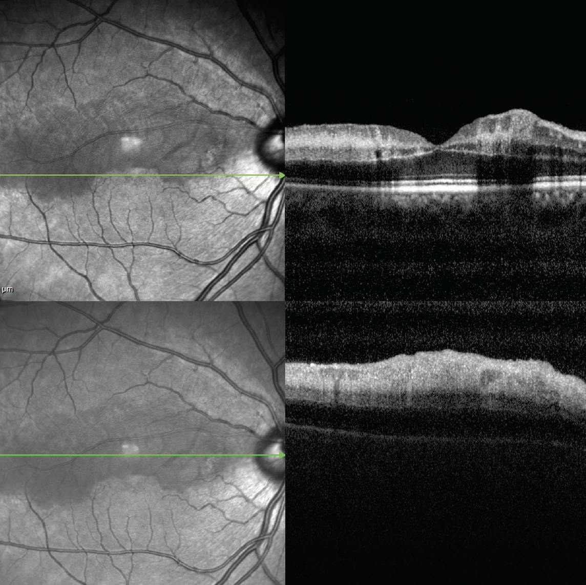
A 31-year-old man presented with sudden painless vision loss in his right eye. VA was 20/25 OD and 20/20 OS. On ocular examination, the anterior segment of each eye and the left fundus were normal. The right fundus examination revealed a superior branch retinal artery occlusion with calcific emboli appearing as a whitish plaque at the optic disc. Infrared reflectance imaging and fundus autofluorescence of the right optic disc confirmed calcific emboli (Figure 1). Spectral-domain OCT revealed hyperreflectivity and increased thickness of the inner layers of the superior retina (Figure 2).

The patient was referred to a cardiologist to rule out unrecognized cardiovascular disease, where he was diagnosed with atrial septal defect and mitral calcific valve stenosis.

DISCUSSION

A calcific retinal embolism is an unusual but serious complication of calcific cardiac valve disease. It may be the first clinical manifestation of underlying cardiovascular pathology, so it is important to refer the patient to a cardiologist whenever this finding is noted.

If you have an image or images you would like to share, email Dr. Nagpal.
Note: Photos should be 400 dpi or higher and at least 10 inches wide.