Myopic traction maculopathy (MTM) is a pathology that affects 9% to 34% of eyes with high myopia (refractive error > 6.00 D and/or axial length > 26.5 mm).1-3 In highly myopic eyes, different tractional forces act on the retina and fovea. Forces that are perpendicular to the retinal plane can cause maculoschisis or retinal detachment (RD). Forces that are tangential to the retinal plane can cause lamellar macular holes (LMHs) and full-thickness macular holes (FTMHs).

MTM is a spectrum of various clinical pictures. The recently introduced MTM staging system describes the proposal of pathogenesis, the natural evolution, and the prognosis of MTM, and offers potential guidelines for management (Figure).4 The system defines the evolution of the disease in a direction perpendicular to the retina (Stages 1–4) and tangential to the retina and the fovea (Stages A–C). Outer LMHs may occur in Stage 2, 3, and 4, while the presence of epiretinal abnormalities is possible in every stage. The retina can evolve from Stage 1 to 4 and from pattern A to C simultaneously or separately. The mean time taken to evolve from one stage to the next ranges from weeks to 18 months.

<p>Figure. In the MTM staging system, the four rows represent the evolution of the disease in a direction perpendicular to the retina from inner/outer schisis to complete MD. The columns represent the evolution in a direction tangential to the retina and the fovea from normal fovea to FTMH. The outer LMH is marked as O and may occur in Stages 2, 3, and 4. The presence of epiretinal abnormalities is marked as "+" and is possible in every stage. Reprinted with permission from Parolini B et al.<sup>4</sup></p>

Click to view larger

Figure. In the MTM staging system, the four rows represent the evolution of the disease in a direction perpendicular to the retina from inner/outer schisis to complete MD. The columns represent the evolution in a direction tangential to the retina and the fovea from normal fovea to FTMH. The outer LMH is marked as O and may occur in Stages 2, 3, and 4. The presence of epiretinal abnormalities is marked as "+" and is possible in every stage. Reprinted with permission from Parolini B et al.4

MTM stages might show a spontaneous improvement.5 However, my team found that, when the eyes are observed for a long time, let’s say more than 2 years, even after spontaneous resolution, the MTM may begin to evolve again.

THE BEST MANAGEMENT

According to our studies, to obtain the best efficacy:safety ratio, eyes in the early stages of MTM that have an intact fovea and good vision should be observed because progression is slow.4,5 For more advanced cases, treatment is required. Forces perpendicular to the retinal plane, causing maculoschisis and RD, can be counteracted by placing a macular buckle (MB), which pushes the sclera toward the retina. Forces tangential to the retinal plane, causing LMH or FTMH, can be counteracted by pars plana vitrectomy (PPV), which creates a force pointing toward the center of the fovea. PPV can also counteract the forces perpendicular to the retinal plane exerted when the vitreous pulls the retina anteriorly.

The suggested management strategies customized per stage are as follows6:

Stage 1A: Observation and follow-up in 1 year

Stage 1B: PPV only if there is a significant drop in vision (but not recommended)

Stage 1C: PPV and internal limiting membrane (ILM) peeling

Stage 2A: Observation and follow-up in 6 months

Stage 2B: MB, PPV afterward only if the residual LMH prevents significant visual improvement (but not recommended)

Stage 2C: Combined MB and PPV

Stage 3A: MB

Stage 3B: MB, PPV afterward only if the residual LMH prevents significant visual improvement (but not recommended)

Stage 3C: Combined MB and PPV

Stage 4A: MB

Stage 4B: MB, PPV afterward only if the residual LMH prevents significant visual improvement (but not recommended)

Stage 4C: MB and PPV (combined simultaneously or sequentially by attaching the retina first with MB and then treating the macular hole in a second step on the attached retina)

Possible complications of MB are superficial extrusion of the lateral arm of the MB (5%), diplopia (1%), temporary foveal detachment (1%), and temporal choroidal hemorrhage (0.5%).6,7

Possible complications of PPV are temporary foveal detachment, worsening of the retinal stage, iatrogenic FTMH (20%), RD relapse, and proliferative vitreoretinopathy; other complications include cataract, vitreous hemorrhage, choroidal hemorrhage, retinal tears, and secondary glaucoma or hypotony.8-11

An advantage of using an MB to solve the schisis and RD secondary to MTM is avoiding the use of silicone oil. The use of standard or heavy silicone oil in highly myopic eyes inevitably leads to secondary glaucoma.

The surgical technique with an MB aims to counteract the pull on the retina exerted by the elongation of the sclera. The buckling side of the device is placed behind the posterior pole to push the sclera anteriorly. Different models of MB have been proposed.7 Surgery may be performed under general or local anesthesia. For local anesthesia, we prefer sub-Tenon anesthesia delivered with a blunt cannula to avoid the potential risk of scleral perforation with retrobulbar injections in highly myopic eyes.

Surgical Steps

1. Perform a superotemporal peritomy.

2. Place a traction thread around the lateral and superior rectus muscles.

3. Insert a chandelier light.

4. Perform an anterior chamber paracentesis to lower the IOP and help the insertion of the buckle.

5. Position the MB behind the posterior pole.

6. Use the panoramic viewing system and transillumination to check that the MB is centered behind the macula.

7. Once satisfied with the position of the MB, mark the position of the arm under the microscope. This is the most crucial, difficult, and time-consuming part of the surgery. The surgeon must hold the arm of the buckle without moving it relative to the eye while the assistant surgeon cleans the area of blood and peribulbar tissue and marks the position of the MB arm.

8. Use a Ti-Cron 6-0 suture (Medtronic) to fix the arm to the sclera.

9. Check the position of the MB after suturing.

10. Remove the chandelier light and traction sutures and close the conjunctiva.

CASE EXAMPLES

Case No. 1: A 53-year-old female presented with myopic traction maculopathy (MTM) Stage 4C (Figure 1A and B). Her BCVA was 0.05 with a spherical equivalent of -25.0 D and an axial length of 38 mm. The patient underwent a combined pars plana vitrectomy (PPV), macular buckle (MB), and internal limiting membrane (ILM) peel and ILM flap on the associated full-thickness macular hole (FTMH), with SF6 gas injection. Face-down positioning was advised for 3 days postoperatively. One month after surgery, the retina was attached, and the hole was closed (Figure 1C and D). BCVA was 0.2 with a spherical equivalent of -23.0 D. The patient underwent cataract surgery and achieved a final BCVA of 0.6 with a spherical equivalent of -3.0 D at 9 months after surgery.

<p>Figure 1. MTM Stage 4C (A, B). One month after surgery, the patient’s retina was attached, and the hole was closed (C, D).</p>

Click to view larger

Figure 1. MTM Stage 4C (A, B). One month after surgery, the patient’s retina was attached, and the hole was closed (C, D).

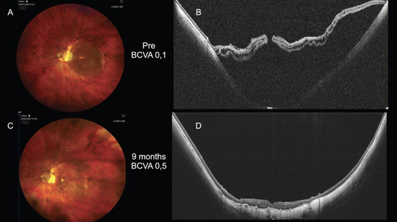
Case No. 2: A 47-year-old male presented with MTM Stage 3A (Figure 2A). His BCVA was 0.05 with a spherical equivalent of -22.0 D and an axial length of 31.7 mm. Microperimetry showed a large scotoma (Figure 2B). The patient underwent a 30-minute MB-only procedure. One month after surgery, the retina was attached (Figure 2C) and remained attached until the 12-month follow-up visit. His BCVA improved to 0.7 with a spherical equivalent of -19.0 D. Microperimetry showed the disappearance of the scotoma postoperatively (Figure 2D).

<p>Figure 2. MTM Stage 3A (A). Microperimetry showed a large scotoma (B). One month after surgery, the patient’s retina was attached (C), and microperimetry showed the disappearance of the scotoma (D).</p>

Click to view larger

Figure 2. MTM Stage 3A (A). Microperimetry showed a large scotoma (B). One month after surgery, the patient’s retina was attached (C), and microperimetry showed the disappearance of the scotoma (D).

ADDITIONAL GUIDELINES

Surgeons should avoid excessive indentation of the sclera. The final profile of the retina and the sclera should be as flat and horizontal as possible, resembling a nonmyopic macula.

Intraoperative OCT can assist in centering the MB and setting the right amount of indentation, although the procedure can be completed without intraoperative OCT.

When these guidelines are followed, surgery has a good prognosis. In my experience, the patient's BCVA improves by an average of 2 lines. It is particularly important to highlight this achievement because an anatomic—not a functional—improvement is expected after surgery on highly myopic eyes with MTM.6

1. Panozzo G, Mercanti A. Optical coherence tomography findings in myopic traction maculopathy. Arch Ophthalmol. 2004;122(10):1455-1460.

2. Baba T, Ohno-Matsui K, Futagami S, et al. Prevalence and characteristics of foveal retinal detachment without macular hole in high myopia. Am J Ophthalmol. 2003;135(3):338-342.

3. Benhamou N, Massin P, Haouchine B, Erginay A, Gaudric A. Macular retinoschisis in highly myopic eyes. Am J Ophthalmol. 2002;133(6):794-800.

4. Parolini B, Palmieri M, Finzi A, et al. The new myopic traction maculopathy staging system. Eur J Ophthalmol. 2021;31(3):1299-1312.

5. Shimada N, Tanaka Y, Tokoro T, Ohno-Matsui K. Natural course of myopic traction maculopathy and factors associated with progression or resolution. Am J Ophthalmol. 2013;156(5):948-957.e1.

6. Parolini B, Palmieri M, Finzi A, Frisina R. Proposal for the management of myopic traction maculopathy based on the new MTM staging system. Eur J Ophthalmol. 2021;31(6):3265-3276.

7. Parolini B, Frisina R, Pinackatt S, Mete M. A new L-shaped design of macular buckle to support a posterior staphyloma in high myopia. Retina. 2013;33(7):1466-1470.

8. Arumi JG, Boixadera A, Martinez-Castillo V, Zapata MA, Macià C. Surgery for myopic macular hole without retinal detachment. Eur Ophthalmic Rev. 2012;6(4):204-7.

9. Woo SJ, Park KH, Hwang JM, Kim JH, Yu YS, Chung H. Risk factors associated with sclerotomy leakage and postoperative hypotony after 23-gauge transconjunctival sutureless vitrectomy. Retina. 2009;29(4):456-463.

10. Curtin BJ, Iwamoto T, Renaldo DP. Normal and staphylomatous sclera of high myopia. An electron microscopic study. Arch Ophthalmol. 1979;97(5):912-915.

11. Coppola M, Rabiolo A, Cicinelli MV, Querques G, Bandello F. Vitrectomy in high myopia: a narrative review. Int J Retina Vitreous. 2017;3:37.