AT A GLANCE

  • A variety of gene therapy approaches, including vector-based gene augmentation, antisense oligonucleotides, and gene editing, are under investigation.
  • Lessons learned from past and current trials will help guide future study designs.
  • Challenges that require further study include the development of clinically meaningful outcome measures, gene therapy–associated uveitis, and late sequelae of gene therapy.

The field of gene therapy and genetic testing has risen to the forefront of the quest to find treatments for inherited retinal diseases (IRDs). Access to no-cost genetic testing programs, such as the My Retina Tracker Program (Foundation Fighting Blindness) and Invitae’s ID Your IRD Program (sponsored by Spark Therapeutics), has increased patient identification for gene therapy trials. In addition, greater access to these programs and increasing patient awareness have led many patients to ask about enrollment in current or future clinical trials. In this environment, it is important that we remain up to date on the current state of gene therapy studies.

APPROACHES, VECTORS, AND DELIVERY

The term gene therapy encompasses a broad range of therapeutic options, and both gene-dependent and gene-agnostic approaches (such as optogenetics) are under investigation for the treatment of IRDs.

Gene augmentation refers to the replacement of a mutated copy of a particular gene and is most commonly used in autosomal recessive conditions. Gene editing uses various tools, such as CRISPR/Cas9, to modify the host genome and can be used for both recessive and dominant diseases.1 Antisense oligonucleotides (AONs) are small, single-strand oligonucleotide polymers that can bind to host RNA and can either “knockdown” mRNA or affect alternative splicing.2 Compared with the first two methods, which may involve only one procedure, AON approaches are expected to require repeat dosing at regular intervals to have a sustained therapeutic effect.

Vectors for delivery of genetic material can be either viral or nonviral, although viral approaches are more common. Viral vectors use a capsid to infect host target cells and deliver the genetic material. The workhorse for ocular gene therapy is the adeno-associated virus (AAV). Although there are many advantages to AAV vectors, one major disadvantage is their small genetic payload capacity, around 4,800 kilobases.3 Many genes that cause common IRDs, such as ABCA4 and MYO7A, exceed the payload capacity of the AAV vector.

Several companies are pursuing a dual-vector approach that will use an AAV vector but split the DNA material into two smaller parts. The full-length gene is then reconstructed within the host cell. Preclinical programs using this dual-vector approach are underway for both Usher 1B due to MYO7A and Stargardt disease due to ABCA4.4

Non-viral approaches using DNA nanoparticles are under development and may reduce immunogenicity compared with viral capsids.5

There are several approaches to delivering gene therapy; transvitreal subretinal delivery is the most common. This requires a standard pars plana vitrectomy with delivery of the gene therapy product to the subretinal space through localized bleb formation. The bleb can be created outside the fovea or involve the fovea with subfoveal detachment. The gene therapy product has the highest transduction in the area of the localized bleb formation, and foveal detachment may be desirable in some IRD conditions to treat the central cone cells. However, this has the potential for iatrogenic injury to the foveal structures.

To minimize mechanical disruption of the fovea, lateral-spreading vectors are being developed to allow for more efficient transduction of foveal cone cells through peripheral bleb formation.6 These vectors have the unique ability to spread through the retina to more distant sites to deliver the desired genetic material. Delivery through intravitreal injection may have some advantages, including more widespread transduction to central and peripheral retinal cells, decreased morbidity through an office-based procedure, and treatment of diseases where the risk of retinal detachment may be increased (eg, X-linked retinoschisis). However, the vector must be able to efficiently cross the internal limiting membrane and effectively transduce cells in the outer retina and retinal pigment epithelium.

Delivery to the suprachoroidal space has some potential advantages, including more widespread transduction of retinal cells, avoidance of mechanical iatrogenic trauma from subretinal bleb formation, and segregation of the therapeutic away from anterior segment structures.7 However, challenges similar to those for intravitreal delivery exist such as effective transduction of target cells in the outer retina and retinal pigment epithelium across Bruch’s membrane, as well as potentially increased exposure to the immune system outside of the blood–retina barrier. Suprachoroidal delivery is being evaluated for anti-VEGF gene therapy in wet AMD and diabetic macular edema but has not yet been used in any human studies for IRDs.

CURRENT STATE OF IRD CLINICAL TRIALS

More than 20 gene therapy trials are underway for IRDs, including retinitis pigmentosa (RP), Leber congenital amaurosis (LCA), achromatopsia, choroideremia, and X-linked retinoschisis (Table). Although many of these trials use gene augmentation, ProQR is developing therapies based on AON technology, and Editas is using CRISPR-based therapy for the treatment of CEP290-related disease. Other genes in various stages of preclinical evaluation include CRB1, PDE6C, NPHP5, LCA5, RDH12, NMNAT1, and BEST1.

In the past year, several trials have not met their primary endpoint. In 2021, Biogen announced that its clinical products BIIB112 for the treatment of RPGR-associated X-linked RP and BIIB111 for the treatment of choroideremia did not meet their primary endpoints in late-stage clinical trials. In addition, ProQR announced in early 2022 that its lead late-stage product QR-110 did not meet its primary endpoint for the treatment of CEP290-mediated LCA10. However, the knowledge and insights gained from these trials provide important stepping-stones for the design of future studies. In addition, signs of potential efficacy in some of these trials, even though the primary endpoints were not met, highlight the need for careful study design and appropriate and meaningful outcome measures.

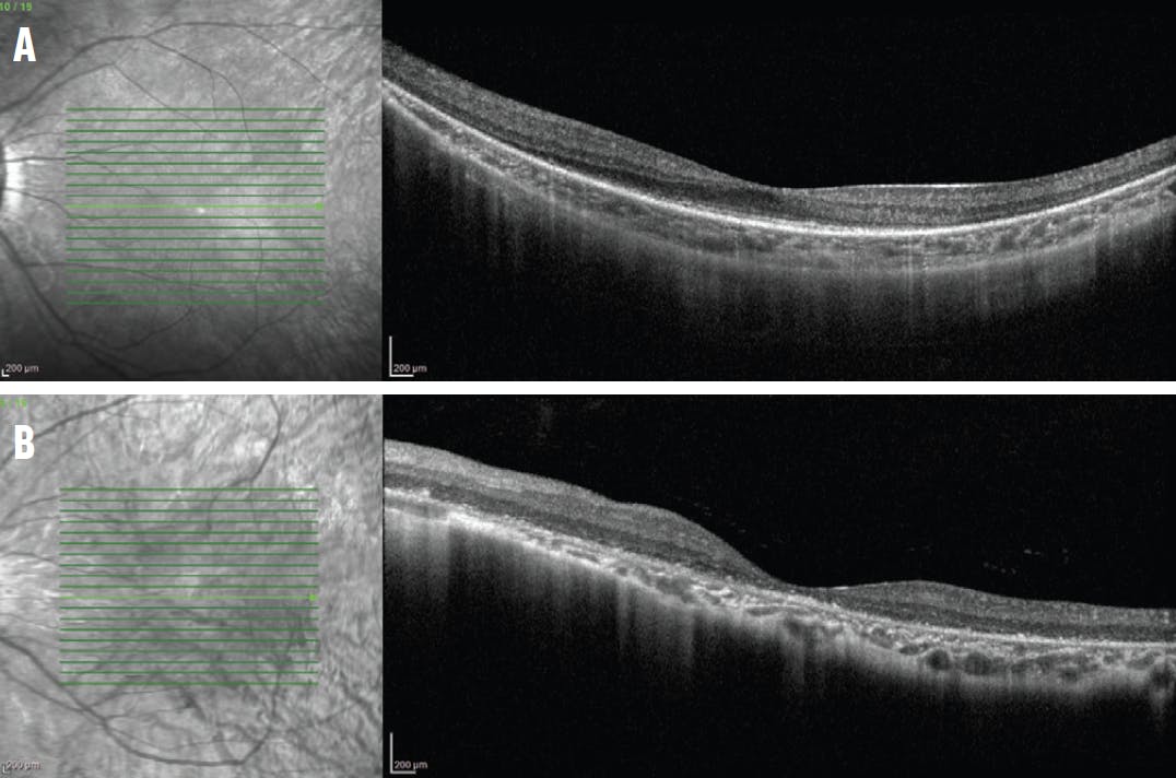
The success of future IRD trials depends on carefully chosen functional and structural endpoints. A better understanding of the natural progression of IRDs can help to guide the development of those meaningful and practical outcome measures.8 Multiple natural history studies that are underway, such as the rate of progression of USH2A-related retinal degeneration (RUSH2A), the rate of progression in EYS-related retinal degeneration (Pro-EYS), and the rate of progression in Stargardt disease (ProgSTAR), can facilitate future study designs.9,10 So far, these studies are suggesting that earlier treatment may be desirable before there is significant photoreceptor and outer retinal degeneration (Figure).

<p>Figure. Patients with earlier stages of X-linked RP who still have intact central cone cells would likely respond well to treatment (A), whereas others with significant central degeneration of the cone cells may not be good gene therapy candidates (B).</p>

Click to view larger

Figure. Patients with earlier stages of X-linked RP who still have intact central cone cells would likely respond well to treatment (A), whereas others with significant central degeneration of the cone cells may not be good gene therapy candidates (B).

The role of inflammation in ocular gene therapy is also gaining more attention. Acute and chronic gene therapy-associated uveitis is well reported. Although most cases are mild and transient, severe and more chronic cases have been described. Most current clinical trials use various combinations of topical, oral, and periocular steroids to suppress the immune response.

Our knowledge of the molecular mechanisms of immunogenicity is expanding. The immune response may be activated against viral capsid proteins, vector DNA (including inverted terminal repeat sequences, promoter, and transgene), or impurities in the vector preparation.11 Research has suggested that toll-like receptors may play an important role. Activation of inflammatory pathways could induce retinal damage or reduce transduction efficiency. As we begin to better understand these pathways, researchers may look toward targeted therapies or, in some cases, steroid-sparing agents to mitigate the immune response.

Understanding the long-term effects of ocular gene therapy is crucial; for example, recent reports have described the development of perifoveal and nummular atrophy in patients treated with voretigene neparvovec-rzyl (Luxturna, Spark Therapeutics).12 The mechanisms of this atrophy are currently under investigation and are not completely understood.

OUTLOOK

Despite the challenges, the future of gene therapy for IRDs remains bright. Knowledge gained from natural history studies, preclinical gene therapy studies, and past and current clinical trials can help guide the future of IRD therapy.

1. Peng Y, Tang L, Yoshida S, et al. Applications of CRISPR/Cas9 in retinal degenerative diseases. Int J Ophthalmol. 2017;10(4):646-651.

2. Xue K, MacLaren R. Antisense oligonucleotide therapeutics in clinical trials for the treatment of inherited retinal diseases. Expert Opin Invest Drugs. 2020;29(10):1163-1170.

3. Bordet T, Behar-Cohen F. Ocular gene therapies in clinical practice: viral vectors and nonviral alternatives. Drug Discov Today. 2019;24:1685-1693.

4. McClements M, Barnard A, Singh M, et al. An AAV dual vector strategy ameliorates the Stargardt phenotype in adult Abca4 -/- mice. Hum Gene Ther. 2019;30(5):590-600.

5. Kansara VS, Cooper M, Sesenoglu-Laird O, et al. Suprachoroidally delivered DNA nanoparticles transfect retina and retinal pigment epithelium/choroid in rabbits. Transl Vis Sci Technol. 2020;9:21.

6. Boye S, Choudhury S, Crosson S, et al. Novel AAV44.9-based vectors display exceptional characteristics for retinal gene therapy. Mol Ther. 2020;28(6):1464-1478.

7. Yiu G, Chung SH, Mollhoff IN, et al. Suprachoroidal and subretinal injections of AAV using transscleral microneedles for retinal gene delivery in nonhuman primates. Mol Ther Methods Clin Dev. 2020;16:179-191.

8. Thompson D, Iannaconne A, Ali R, et al. Advancing clinical trials for inherited retinal diseases: recommendations from the Second Monaciano Symposium. Transl Vis Sci Technol. 2020;9(7):2.

9. Birch D, Cheng P, Duncan J, et al. The RUSH2A study: best-corrected visual acuity, full-field electroretinography amplitudes, and full-field stimulus thresholds at baseline. Transl Vis Sci Technol. 2020;9(11):9.

10. Strauss R, Kong X, Ho A, et al. Progression of Stargardt disease as determined by fundus autofluorescence over a 12-month period: ProgStar report no. 11. JAMA Ophthalmol. 2019;137(10):1134-1145.

11. Bucher K, Rodriguez-Bocanegra E, Dauletbekov D, Fischer D. Immune responses to retinal gene therapy using adeno-associated viral vectors - Implications for treatment success and safety. Prog Retin Eye Res. 2021;83:100915.

12. Gange W, Sisk R, Besirli C, et al. Perifoveal chorioretinal atrophy after subretinal voretigene neparvovec-rzyl for RPE65-mediated Leber congenital amaurosis. Ophthalmol Retina. 2022;6(1):58-64.