Multiple evanescent white dot syndrome (MEWDS) is a typically acute-onset, unilateral syndrome that manifests with decreased vision, scotomas, photopsias, or a combination of all three. On fundoscopy, numerous gray, white, or yellow-white dots can be seen at the level of the outer retina or retinal pigment epithelium, most often in the posterior pole. A mild anterior chamber reaction and vitritis may also be noted in some patients. The etiology remains unclear, and no hereditary predilection has been reported; however, the syndrome most commonly affects healthy women from 15 to 50 years of age.1 When there is suspicion for MEWDS, multiple imaging modalities can help elucidate the syndrome. For example, fluorescein angiography (FA) can reveal a wreath-like pattern of punctate, hyperfluorescent dots, as well as late-leakage and staining of the optic nerve head.

Approximately one-third of patients with MEWDS report a viral prodrome prior to onset of visual symptoms. The underlying pathogenesis of MEWDS may involve an immune response to viral antigens that have gained access to the retinal receptor cells. In the literature, there has been one case report of atypical MEWDS following infection with COVID-19, as well as multiple case reports of MEWDS following COVID-19 vaccination.2 Here, we report a case of MEWDS shortly after infection with COVID-19 and review the literature surrounding MEWDS and other retinal conditions related to COVID-19.

CASE REPORT

A previously healthy 28-year-old White male patient presented to the retina clinic with a 1-week history of blurred peripheral vision in his left eye. He stated that everything was fuzzy in a specific area of his temporal visual field. Ocular history was remarkable for myopia, and medical history was unremarkable other than COVID-19 infection 2 weeks prior to the onset of his visual symptoms. He reported cough, chills, and myalgias for approximately 4 days while infected.

On examination, VA was 20/20 OU. There was no afferent pupillary defect, and IOP and visual fields were within normal limits in each eye. Anterior segment examination was unremarkable; notably, there was no anterior chamber inflammation in either eye. Fundoscopic examination revealed subtle deep, yellow lesions in the peripapillary retina of the left eye. OCT demonstrated attenuation of the ellipsoid and interdigitation zones in the nasal macula (Figure 1). Fundus autofluorescence (FAF) revealed a wreath-like configuration of hyperfluorescence around the optic nerve with numerous noncontiguous, smaller areas of hyperfluorescence throughout the macula and midperipheral retina (Figure 2). FA also demonstrated a confluent area of hyperfluorescence centered around the optic nerve, which increased in intensity in the later frames, consistent with staining (Figure 3).

<p>Figure 1. At presentation, the patient’s left eye OCT revealed attenuation at the levels of the ellipsoid and interdigitation zones nasally.</p>

Click to view larger

Figure 1. At presentation, the patient’s left eye OCT revealed attenuation at the levels of the ellipsoid and interdigitation zones nasally.

<p>Figure 2. On initial presentation, the left eye demonstrates a ring of circumpapillary hyperautofluorescence and surrounding, scattered smaller foci of hyperautofluorescence on FAF.</p>

Click to view larger

Figure 2. On initial presentation, the left eye demonstrates a ring of circumpapillary hyperautofluorescence and surrounding, scattered smaller foci of hyperautofluorescence on FAF.

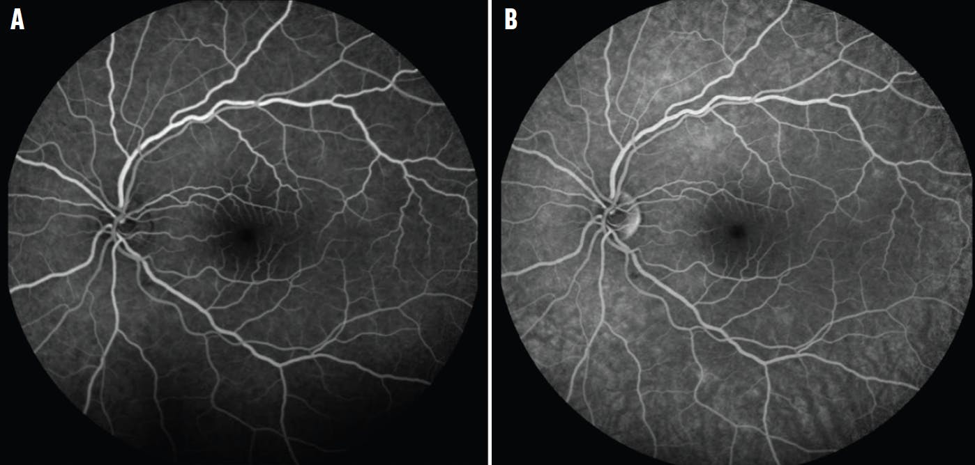
<p>Figure 3. Peak (A) and late (B) phase FA at initial presentation in the left eye demonstrate circumpapillary hyperfluorescence with smaller hyperfluorescent lesions throughout the macula, corresponding to the areas seen on autofluorescence.</p>

Click to view larger

Figure 3. Peak (A) and late (B) phase FA at initial presentation in the left eye demonstrate circumpapillary hyperfluorescence with smaller hyperfluorescent lesions throughout the macula, corresponding to the areas seen on autofluorescence.

Differential Diagnosis

The differential diagnosis included infectious etiologies, such as syphilis and tuberculosis (TB), and inflammatory causes, such as sarcoidosis. The outer retinal findings were suspicious for white dot syndromes, such as MEWDS or acute posterior multifocal placoid pigment epitheliopathy (APMPPE). Workup included rapid plasma reagin, Treponema pallidum antibody, and TB testing with QuantiFERON Gold (Qiagen), which were negative. Complete blood count and comprehensive metabolic panel were also unremarkable.

Management and Follow-up

The patient was monitored off therapy and instructed to return in 1 week. Upon follow-up, he felt that his symptoms had worsened, and imaging revealed slight progression of the previously described findings. Given the negative infectious workup and progression of his symptoms and findings, he was started on 60 mg oral prednisone daily and given instructions to taper by 10 mg weekly.

At follow-up 11 days later, the patient reported a decrease in his peripheral scotoma in the left eye and improved vision. Examination showed a decrease in the prominence and number of the deep retinal yellow lesions. At 2 months, OCT demonstrated reconstitution of the ellipsoid zone, and FAF showed a decrease in the size and intensity of the hyperfluorescence (Figure 4). He was advised to continue the planned prednisone taper.

<p>Figure 4. At the 2-month follow-up, the left eye presented with reconstitution and partial recovery of the ellipsoid zone on OCT (A), as well as decreased intensity of hyperautofluorescence on FAF (B).</p>

Click to view larger

Figure 4. At the 2-month follow-up, the left eye presented with reconstitution and partial recovery of the ellipsoid zone on OCT (A), as well as decreased intensity of hyperautofluorescence on FAF (B).

DISCUSSION

MEWDS is an uncommon, typically unilateral condition that is most often seen in young myopic women.3 Our patient’s unilateral, temporal photopsias with hyperfluorescent dots in a wreath-like configuration on fundus examination and FAF; focal loss of the ellipsoid zone on OCT following a known viral infection; and negative infectious/inflammatory workup were consistent with a MEWDS diagnosis. APMPPE was considered less likely given the small size of the peripapillary lesions, presence of hyperfluorescent (rather than hypofluorescent) lesions on early-phase FA, and unilateral presentation.

Two competing theories have been postulated as to the pathogenesis of MEWDS. Gass et al suggested that a virus invades photoreceptors through cell-to-cell transmission after entering through either the ora serrata or optic disc margin.4 The authors suggested that symptoms manifest following loss of retinal receptor function secondary to a delayed host immune response to the invading virus.

Jampol et al suggested that MEWDS may be a discrete autoimmune disease that manifests in patients with specific genetic loci that are susceptible to environmental triggers, rather than a direct invasion of the virus.5 Discerning the correct pathophysiology may shed light on the management of MEWDS.

Currently, no intervention is recommended in the management of MEWDS, with complete resolution expected in several weeks following diagnosis. In prolonged cases or those with more significant vision loss, systemic corticosteroids are often employed.3 A prednisone taper was trialed in our patient due to subjectively worsening vision and photopsias. Our patient improved symptomatically after starting prednisone; however, it is unclear if his improvement was a result of the medication or the natural history of the disease. Steroid response may favor an autoimmune pathophysiology for MEWDS. Further research is needed to analyze whether COVID-19 causes MEWDS through direct invasion or secondary to triggering an autoimmune process.

COVID-19 INVOLVEMENT

Several cases of MEWDS have been reported following the first and second doses of COVID-19 vaccination.6,7 However, there is only one other reported case of MEWDS after COVID-19 infection.2 This unusual case, reported by De Salvo et al, occurred 2 weeks following infection, and intermediate phase ICGA revealed multiple hyperfluorescent lesions rather than the typical hypofluorescent lesions seen in MEWDS.2 The authors argue that because COVID-19 has unprecedented effects throughout the body, it is not surprising to have unusual retinal findings in post-COVID-19 MEWDS. Although we did not obtain ICGA, the findings on multimodal imaging were classic for MEWDS in our case.

In our case and that of De Salvo et al, there was a 2-week period between symptomatic COVID-19 infection and onset of visual symptoms. Both patients also experienced clinical worsening for the first week after diagnosis. It may be that post-COVID-19 MEWDS initially follows a more progressive course; therefore, clinicians should not consider worsening symptoms to be incompatible with a diagnosis of MEWDS in cases of recent COVID-19 infection.

Other retinal changes following COVID-19 infection have been identified, including hyperreflective lesions at the level of the ganglion cell and inner plexiform layers, as well as cotton-wool spots and microhemorrhages along the retinal arcade.8 Ocular manifestations, such as chemosis, epiphora, and conjunctival hyperemia, have been reported in as many as 31.6% of patients presenting with COVID-19 infection.9 Numerous uveitis cases have been reported following COVID-19 vaccination.6,10 Further research on the association between both the virus and vaccination with MEWDS may clarify the pathogenesis of this ocular complication.

1. Borruat FX, Herbort CP, Spertini F, Desarnaulds AB. HLA typing in patients with multiple evanescent white dot syndrome (MEWDS). Ocul Immunol Inflamm. 1998;6(1):39-41.

2. De Salvo G, Meduri A, Vaz-Pereira S, Spencer D. An uncommon cold of the retina. Preprint. Published online August 22, 2021. Surv Ophthalmol.

3. Tavallali A, Yannuzzi LA. MEWDS, common cold of the retina. J Ophthalmic Vis Res. 2017;12(2):132-134.

4. Gass JDM, Agarwal A, Scott IU. Acute zonal occult outer retinopathy: a long-term follow-up study. Am J Ophthalmol. 2002;134(3):329-339.

5. Jampol LM, Becker KG. White spot syndromes of the retina: a hypothesis based on the common genetic hypothesis of autoimmune/inflammatory disease. Am J Ophthalmol. 2003;135(3):376-379.

6. Rabinovitch T, Ben-Arie-Weintrob Y, Hareuveni-Blum T, et al. Uveitis after the BNT162b2 mRNA vaccination against SARS-CoV-2 infection: a possible association. Retina. 2021;41(12):2462-2471.

7. Inagawa S, Onda M, Miyase T, et al. Multiple evanescent white dot syndrome following vaccination for COVID-19: A case report. Medicine (Baltimore). 2022;101(2):e28582.

8. Marinho PM, Marcos AAA, Romano AC, Nascimento H, Belfort Jr R. Retinal findings in patients with COVID-19. Lancet. 2020;395(10237):1610.

9.Wu P, Duan F, Luo C, et al. Characteristics of ocular findings of patients with coronavirus disease 2019 (COVID-19) in Hubei Province, China. JAMA Ophthalmol. 2020;138(5):575-578.

10. Bolletta E, Iannetta D, Mastrofilippo V, et al. Uveitis and other ocular complications following COVID-19 vaccination. J Clin Med. 2021;10(24):5960.