AT A GLANCE

  • At-home AMD monitoring may offer clinicians a reliable way to track patients between office visits.
  • The ForeseeHome AMD Monitoring Program (Notal Vision) alerts clinicians to changes in a patient’s testing, prompting in-office evaluation at the earliest stages of conversion to wet AMD.
  • Two authors share their experiences with the home monitoring program, and how the system caught patients’ conversion from intermediate AMD to wet AMD.

Following patients with early and intermediate AMD feels a bit like watching them walk a tightrope sometimes, doesn’t it? Patients can present for years with no progression; yet, in mere months they might have conversion with significant vision changes. While careful education on the possible symptoms of conversion can help patients understand when to call the office between routine follow-up, it’s often not enough. According to these two experts, at-home monitoring for AMD can provide the safety net these patients need. Here, David S. Chin Yee, MD, and Miguel Busquets, MD, FACS, share cases to highlight exactly how at-home monitoring helped to catch changes early and ensure a prompt shift in care.

– Rebecca Hepp, Editor-in-Chief

LEFT EYE ALERT

By David S. Chin Yee, MD

A 72-year-old man with long-standing wet AMD in the right eye (diagnosed in 2017) who had undergone previous treatment with anti-VEGF therapy with a disciform scar (Figure 1) was now being observed with VA of 20/800 OD and intermediate AMD in the left eye with VA of 20/25 (Figure 2). Due to the high risk of conversion to wet AMD in the left eye and the monocular status, the patient was referred for at-home monitoring with the ForeseeHome AMD Monitoring Program (Notal Vision). The patient began using the device in July 2018 and was monitored in-office every 6 months.

<p>Figure 1. At presentation, the patient’s right eye had wet AMD, a disciform scar, and VA of 20/800.</p>

Click to view larger

Figure 1. At presentation, the patient’s right eye had wet AMD, a disciform scar, and VA of 20/800.

<p>Figure 2. At the time that the patient began at-home monitoring, his left eye had intermediate AMD with a VA of 20/25.</p>

Click to view larger

Figure 2. At the time that the patient began at-home monitoring, his left eye had intermediate AMD with a VA of 20/25.

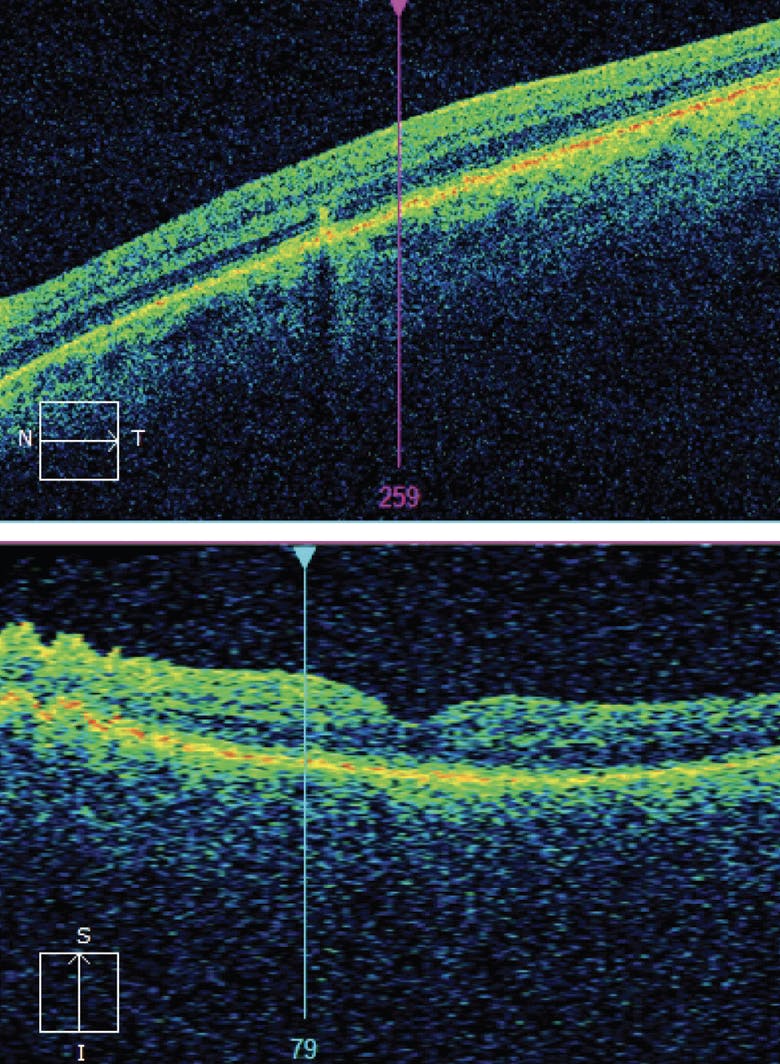
In July 2021, the system alerted my office to changes to the patient’s left eye testing. The patient was called and scheduled for an immediate appointment. On examination, his VA was 20/30 OS. The anterior segment examination was unremarkable, while dilated fundus examination of the left eye showed subretinal fluid and new choroidal neovascularization (CNV). Based on this, the patient was diagnosed with conversion to wet AMD with CNV in the left eye (Figure 3). The patient received anti-VEGF injection on the initial visit and continued monthly injections. Currently, he is extended to receive treatment every 8 weeks with VA improved to 20/25 OS and resolution of CNV (Figure 4).

<p>Figure 3. Changes in the at-home testing prompted an immediate in-office visit, which revealed new choroidal neovascularization and conversion to wet AMD.</p>

Click to view larger

Figure 3. Changes in the at-home testing prompted an immediate in-office visit, which revealed new choroidal neovascularization and conversion to wet AMD.

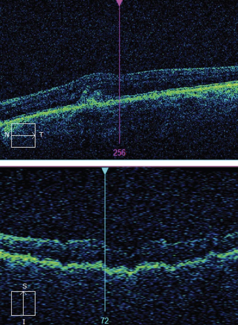
<p>Figure 4. Intravitreal anti-VEGF injections improved the patient’s VA to 20/25 OS and led to the resolution of the choroidal neovascularization.</p>

Click to view larger

Figure 4. Intravitreal anti-VEGF injections improved the patient’s VA to 20/25 OS and led to the resolution of the choroidal neovascularization.


Gotta Catch Them Both

By Miguel Busquets, MD, FACS

In October 2019, a new female patient presented for an AMD evaluation, stating that she had been diagnosed with AMD 3 years prior. She had a cataract in each eye with VA of 20/50 OD and 20/30 OS. Her dilated fundus examination revealed high-risk medium-sized to large drusen and retinal pigment epithelial changes in both eyes, but no fluid or hemorrhage in either eye. OCT imaging confirmed these findings (Figure 5).

<p>Figure 5. In October 2019, this patient’s OCT showed signs of dry AMD in the right (A) and left (B) eyes: extensive drusenoid changes and retinal pigment epitheliopathy.</p>

Click to view larger

Figure 5. In October 2019, this patient’s OCT showed signs of dry AMD in the right (A) and left (B) eyes: extensive drusenoid changes and retinal pigment epitheliopathy.

The patient was counselled on taking AREDS2 vitamins, sun safety, and the importance of a healthy diet. She was also referred for at-home monitoring with the ForeseeHome AMD Monitoring Program and for a cataract surgery consult.

In February 2021, the patient presented for her regularly scheduled dry AMD follow-up with no new complaints. She had undergone cataract surgery the year prior and presented with VA of 20/20 OU. Dilated fundus examination showed dry drusenoid changes, also noted on OCT. She was scheduled to return in 6 months for a typical follow-up.

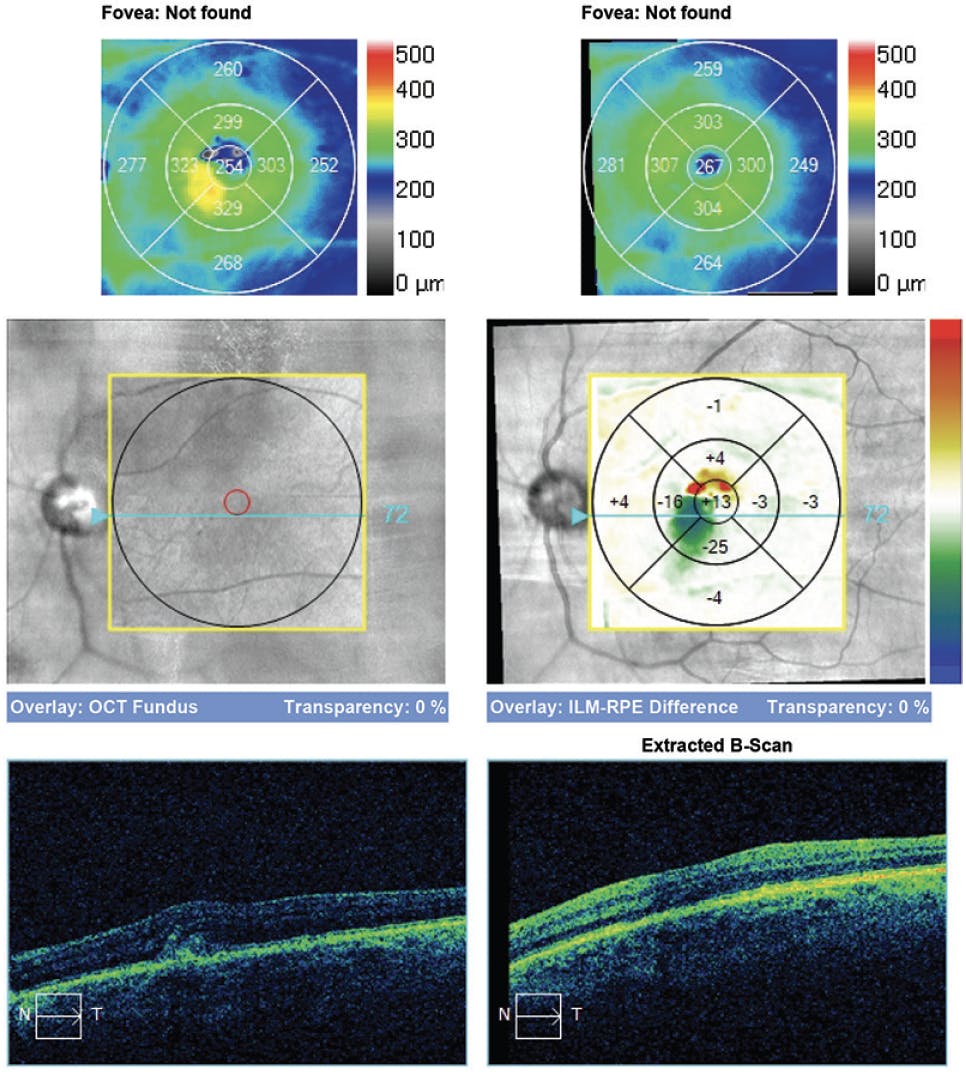
In June 2021, my office was alerted to changes to her at-home testing in the right eye. The patient was seen in the office the day after the alert—still with 20/20 vision—at which time she described metamorphopsia and blurred vision in her right eye that started about 1 week prior. Dilated fundus examination revealed new CNV with intraretinal fluid confirmed by OCT (Figure 6). She was diagnosed with conversion to wet AMD with active CNV in the right eye, received an intravitreal injection of anti-VEGF therapy, and was scheduled for monthly injections. She continued at-home monitoring for her left eye.

<p>Figure 6. Two months before the patient’s scheduled follow-up, the at-home monitoring program alerted the office to changes in her right eye testing (A). In-office examination confirmed extensive drusen, pigment epithelial detachments, and new choroidal neovascularization with intraretinal and subretinal fluid—conversion to wet AMD (B).</p>

Click to view larger

Figure 6. Two months before the patient’s scheduled follow-up, the at-home monitoring program alerted the office to changes in her right eye testing (A). In-office examination confirmed extensive drusen, pigment epithelial detachments, and new choroidal neovascularization with intraretinal and subretinal fluid—conversion to wet AMD (B).

For the next 6 months, the patient was seen for regular intravitreal anti-VEGF injections in the right eye with little to no change in the left eye, while OCT findings in the right eye steadily improved.

In January 2022, my office was alerted to aberrations in her at-home testing of the left eye. The patient presented the next day, explaining that her vision had not subjectively changed since last month’s visit. Dilated fundus examination did not show significant new abnormalities, but in-office OCT revealed a new, small CNV with very subtle subretinal fluid (Figure 7). Vision had dropped to 20/30 OS. She was diagnosed with conversion to wet AMD with active CNV in the left eye and received an intravitreal injection of an anti-VEGF agent.

<p>Figure 7. Six months after the right eye converted to wet AMD, at-home monitoring caught changes in the left eye (A), prompting in-office examination and a new diagnosis of wet AMD in the left eye (B).</p>

Click to view larger

Figure 7. Six months after the right eye converted to wet AMD, at-home monitoring caught changes in the left eye (A), prompting in-office examination and a new diagnosis of wet AMD in the left eye (B).

At her last follow-up in February 2022, the patient’s VA was stable at 20/20 OD and 20/25 OS, and her OCT imaging shows signs of improvement (Figure 8). She is now scheduled for anti-VEGF injections every 4 weeks.

<p>Figure 8. At her last follow-up the patient was stable with improvement seen on OCT imaging in the right (A) and left (B) eyes.</p>

Click to view larger

Figure 8. At her last follow-up the patient was stable with improvement seen on OCT imaging in the right (A) and left (B) eyes.