An optic disc pit is a congenital malformation that can cause decreased visual acuity due to an accumulation of intraretinal and/or subretinal fluid (SRF). Because clinical onset of optic disc pit maculopathy is uncommon in children, there is no standard surgical approach apart from pars plana vitrectomy (PPV).1 Many authors have described various techniques, concluding that sealing the pit leads to a faster improvement of visual acuity, including for pediatric cases.2,3 Rapid visual recovery is important, especially for children younger than 12 years of age who are at risk of developing amblyopia. Three cases of pediatric optic disc pit maculopathy with and without internal limiting membrane (ILM) plugging, along with a review of the literature, highlight the benefits of each surgical technique.
CASES
The first case involved a 14-year-old boy diagnosed with optic disc pit maculopathy with a VA of 20/400 OD due to macular detachment. A 23-gauge PPV was performed, followed by an incomplete posterior vitreous detachment (PVD) due to strong vitreoretinal adhesion. Low-fluence argon endolaser photocoagulation was applied to the temporal edge of the optic disc. After fluid-air exchange, the vitreous cavity was filled with 14% C3F8. SRF gradually decreased over the following months, and 3 years later, the patient attained a VA of 20/20 OD.
Ten years after the initial presentation, the patient was scheduled for a second surgery due to VA worsening to 20/63 OD and recurrence of macular detachment. During reoperation, we removed a portion of the residual posterior hyaloid and used a free ILM piece to fill the pit; the remaining ILM flap was inverted over the pit. After fluid-air exchange, we filled the eye with 15% SF6. One month later, there was no SRF on spectral-domain OCT (SD-OCT), and VA improved to 20/40 OD over 15 months.
The second case involved a 15-year-old boy with optic disc pit maculopathy in his left eye. Preoperative VA was 20/63 OS. The patient underwent 23-gauge PPV with PVD. We peeled the ILM, used a free ILM flap to plug the optic pit, and filled the eye with 15% SF6. Four months after surgery, there was complete macular reattachment. VA improved to 20/25 OS and was stable until last follow-up 4 years after the intervention.
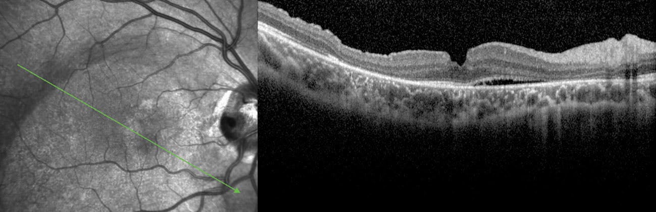
The third case involved a 13-year-old girl with optic disc pit maculopathy and VA of 20/50 OD due to a large macular detachment. We performed PPV and PVD and used a free ILM flap to fill the pit. After fluid-air exchange, we filled the vitreous cavity with 20% SF6 (Video). Three months postoperatively, VA reached 20/25 OD and SRF progressively disappeared over 9 months (Figure). Two years later, visual acuity and macular integrity remained stable.
Figure. SD-OCT B scan of the third patient (13-year-old girl) 9 months after surgery, showing almost complete macular reattachment, except for a line of subretinal fluid.
DISCUSSION
In the cases described above, each patient experienced significant improvements in visual acuity, but those who underwent ILM plugging experienced a faster visual recovery. In the first case, reoperation with the ILM plugging technique resulted in rapid resolution of SRF, as previously described,4 despite insufficient recovery of visual acuity. One explanation for recurrent SRF in the first patient could be the incomplete PVD due to strong vitreoretinal adhesion, a common intraoperative finding in pediatric patients.
Endolaser photocoagulation was performed in the first patient without complications, and other surgeons have reported successful treatment with endolaser in children.5 Nevertheless, there is a risk of damaging the papillomacular bundle, and there are reports of effective surgical treatment without endolaser in pediatric patients.6
For each ILM plugging procedure, there were no surgical complications, but these can include mechanical damage and toxicity of different materials to the optic nerve fibers and formation of macular holes after ILM peeling.2,3,7 The latter can be avoided with fovea-sparing ILM peeling.
Studies have found that vitrectomy is the only surgery with proven benefit in the management of optic disc pit maculopathy,1,8 and others conclude that sealing the pit hastens visual recovery even if it does not lead to better results.9
Several materials have been used to plug the pit, including scleral autograft, fibrin sealant, amniotic membrane, and autologous platelets. ILM is a good option because it does not cause inflammation and it is already in place. Peeling of the ILM can ensure complete hyaloid removal and eliminate traction. ILM can act as a scaffold for the proliferation of Müller cells and consequential gliosis, further contributing to the barrier.7
In a literature review, we found 16 pediatric patients with optic disc pit maculopathy who underwent surgery that included plugging of the pit (Table). VA improved to at least 20/63 in 12 cases; the children who did not achieve a VA of at least 20/63 had a preoperative VA of 20/200 or worse, two of whom were younger than 12 years and may have already developed amblyopia. Twelve of 16 patients achieved their best postoperative visual acuity within 13 months.
TAKE-HOME
Childhood onset of optic disc pit maculopathy is rare, and few studies focus on surgical management in this population. ILM plugging and use of other materials to seal the pit are effective adjuncts to vitrectomy and may lead to faster visual acuity recovery, but further reports on treatment of optic disc pit maculopathy in children are warranted.