THE CASE
A 5-year-old boy was referred to a pediatric ophthalmologist for an evaluation after failing a vision screening test. The patient was noted to have bilateral pigmentary lesions in the retina, as well as hyperopia and astigmatism. The patient’s mother reported that he had been complaining of problems with night vision and light sensitivity. The patient was born at 38 weeks with a birth weight of 6 lbs, 6 oz, and he had pedal and testicular edema that resolved at 6 months of age. He was diagnosed with microcephaly and mild cognitive delay. The patient had no significant family medical history, and his two biological sisters were healthy.
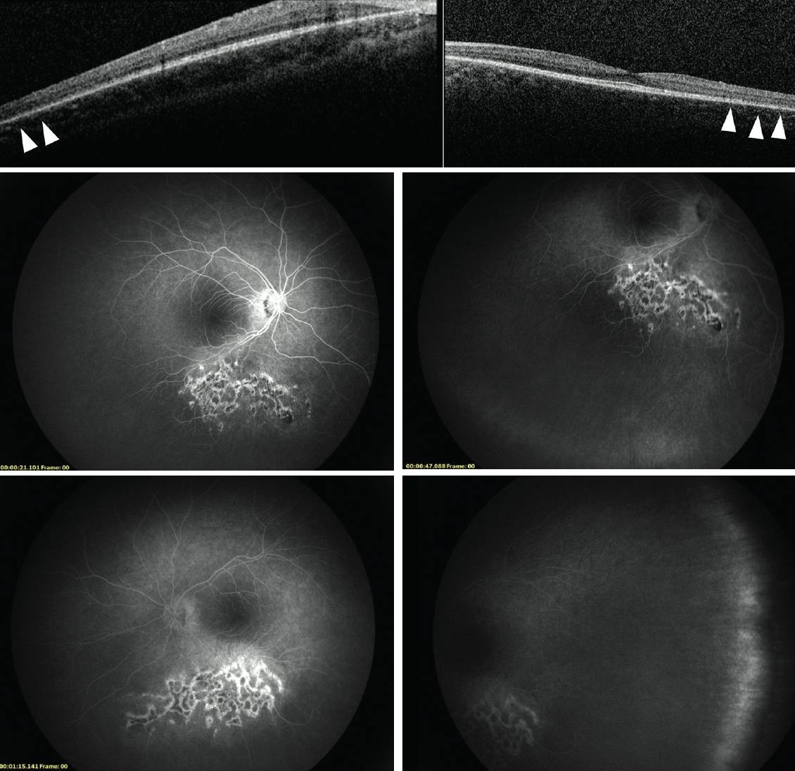
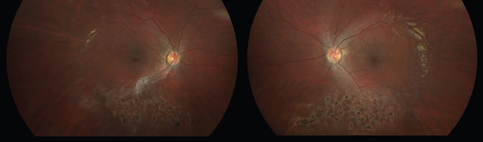
On initial examination, his BCVA was 20/30 OD and 20/40 OS. The anterior segment examination was unremarkable in each eye. The posterior segment was remarkable for an area of preretinal fibrosis along the inferior arcade in the right eye and symmetric extramacular pigmentary changes located at the inferior retina in each eye (Figure 1). During an examination under anesthesia, A- and B-scan demonstrated the axial length to be 23.9 mm in the right eye and 22.5 mm in the left eye.
OCT showed marked thinning of the retina, especially the outer layers, correlating with areas of abnormal pigmentation (Figure 2). Fluorescein angiography showed staining of the chorioretinal lesions in each eye, as well as peripheral nonperfusion, mostly temporally (Figure 2). An electroretinogram showed significant rod and cone dysfunction, which was suggestive of a recessive cone-rod dystrophy or retinitis pigmentosa (RP)–related retinopathy. Initial genetic testing obtained elsewhere was negative for RP, fragile X syndrome, and other genetic conditions.
At 7 years of age, the patient was referred for in-house genetic counseling. Given the presence of microbrachycephaly, upward-slanting palpebral fissures, upturned and rounded nasal tip, low hair line, hyperpigmented skin patches, past history of pedal edema, and the presence of pigmentary changes in the retina, the patient matched the phenotype for microcephaly with or without chorioretinopathy, lymphedema, or intellectual disability (MCLID). Genetic testing was positive for the associated KIF11 gene mutation, confirming the diagnosis. This mutation was not found in parental samples, confirming a de novo mutation. After 7 years of observation, the patient’s retinal findings have remained stable.
DISCUSSION
MCLID was first described by Tenconi et al in 1991 as an autosomal dominant condition.1 A mutation in the KIF11 gene is causative in approximately 75% of MCLID cases. The KIF11 gene encodes the EG5 homotetrameric protein, which participates in microtubule sliding, mitotic spindle assembly, and chromosome segregation.2 More recently, this protein has been localized to the photoreceptors, which are considered modified cilia.3 As such, these findings suggest KIF11 mutations may be a part of the group of other ciliopathies, such as Bardet Biedl syndrome, Joubert syndrome, Alstrom syndrome, and other pigmentary retinopathies.
This condition is characterized by the presence of microcephaly, developmental delay with intellectual disability, lymphedema of the dorsa of the feet, and a characteristic facial phenotype with upward-slanting palpebral fissures, broad nose with rounded tip, long philtrum with thin upper lip, and prominent ears.4,5 The associated chorioretinopathy occurs in approximately 60% of mutation-positive individuals and is characterized by chorioretinal atrophy with vessel attenuation and pigment clumping located outside of the arcades, sparing the macula.6 Other ocular manifestations include hyperopia, astigmatism, and generalized rod and cone dysfunction on electroretinogram.6 According to previous reports, the fundus lesions appear to be nonprogressive with variable expressivity and intrafamilial variability.
In addition, a phenotypic overlap has been found between MCLID and familial exudative vitreoretinopathy,7-9 which may explain the peripheral nonperfusion of the retina found in this patient.
This case highlights the importance of considering KIF11 mutations and MCLID in the screening of patients who present with retinal dystrophies and peripheral nonperfusion, because other syndromic manifestations, such as the presence of microcephaly, may be subtle.
1. Tenconi R, Clementi M, Battista Moschini G, Casara G, Baccichetti C. Chorioretinal dysplasia, microcephaly and mental retardation: an autosomal dominant syndrome. Clin Genet. 1981;20:347-351.
2. Vukušić K, Ponjavić I, Buđa R, Risteski P, Tolić IM. Microtubule-sliding modules based on kinesins EG5 and PRC1-dependent KIF4A drive human spindle elongation. Dev Cell. 2021;56(9):1253-1267.e10.
3. Zalenski AA, Majumder S, De K, Venere M. An interphase pool of KIF11 localizes at the basal bodies of primary cilia and a reduction in KIF11 expression alters cilia dynamics. Sci Rep. 2020;10(1):13946.
4. Abdel-Salam GMH, Czeizel AE, Vogt G, Imre L. Microcephaly with chorioretinal dysplasia: characteristic facial features (Letter). Am J Med Genet. 2000;95(5):513-515.
5. Jones GE, Ostergaard P, Moore AT, et al. Microcephaly with or without chorioretinopathy, lymphoedema, or mental retardation (MCLMR): review of phenotype associated with KIF11 mutations. Europ J Hum Genet. 2014;22(7):881-887.
6. Balikova I, Robson AG, Holder GE, Ostergaard P, Mansour S, Moore AT. Ocular manifestations of microcephaly with or without chorioretinopathy, lymphedema or intellectual disability (MCLID) syndrome associated with mutations in KIF11. Acta Ophthalmol. 2016;94(1):92-98.
7. Hu H, Xiao X, Li S, Jia X, Guo X, Zhang Q. KIF11 mutations are a common cause of autosomal dominant familial exudative vitreoretinopathy. British J Ophthalmol. 2016;100(2):278-283.
8. Li J-K, Fei P, Li Y, et al. Identification of novel KIF11 mutations in patients with familial exudative vitreoretinopathy and a phenotypic analysis. Sci Rep. 2016;6:26564.
9. Robitaille JM, Gillett RM, LeBlanc MA, et al. Phenotypic overlap between familial exudative vitreoretinopathy and microcephaly, lymphedema, and chorioretinal dysplasia caused by KIF11 mutations. JAMA Ophthal. 2014;132(12):1393-1399.