Optic disc pit (OPD) can cause visual impairment in 75% of cases due to a type of serous retinal detachment called optic disc pit maculopathy (ODP-M).1,2 ODP can be confirmed by detecting a grayish depression in the optic nerve on fundoscopy. OCT can be used to detect the presence of subretinal fluid.1

In addition to conservative management, several interventions have been proposed to treat this condition, with pars plana vitrectomy (PPV) being the most common.1 Given the key role of the internal limiting membrane (ILM) in the development of ODP-M, PPV with ILM peeling is a promising surgical management for this condition.3,4

This report describes macular hole formation as a severe complication that occurred a few weeks after the surgical management of a patient with ODP-M.

CASE REPORT

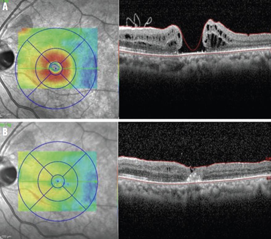
A 42-year-old woman presented with blurred vision for almost 1 year. Her medical and surgical histories were unremarkable. On initial examination, VA was 20/20 OD and 1 m counting fingers OS. Her pupils were round with no relative afferent pupillary defect. Anterior segment findings and IOPs were normal in each eye. Dilated fundus examination revealed macular elevation and an ODP in her left eye. Spectral-domain OCT (SD-OCT) confirmed macular schisis extending from the ODP with serous macular detachment, which led to the diagnosis of ODP-M (Figure 1A).

<p>Figure 1. OCT showed an ODP and serous macular detachment in the left eye (A). Subretinal fluid was partially absorbed after PPV with ILM peeling (B).</p>

Click to view larger

Figure 1. OCT showed an ODP and serous macular detachment in the left eye (A). Subretinal fluid was partially absorbed after PPV with ILM peeling (B).

The patient underwent a three-port fovea-sparing PPV for hyaloid detachment. After ILM peeling, fluid-gas exchange was performed with 20% SF6. At the 1-month follow-up, the patient reported improvements in her vision, and the examination demonstrated an improvement in VA to 20/200 OS. Imaging showed a decrease in subretinal fluid (Figure 1B).

On postoperative day 45, however, the patient complained of sudden vision loss to 2 m counting fingers OS. Subsequent SD-OCT showed a full-thickness macular hole (Figure 2A). Surgical management was ultimately selected with the patient’s consent. During the second surgery, which occurred 3 months after the initial procedure, ILM peeling was extended, a free ILM flap was inserted into the hole, and fluid-gas exchange was performed with 20% C3F8. The patient complied with the recommended prone position for 1 week. Thirty days later, SD-OCT showed the closure of the macular hole (Figure 2B). VA improved to 20/100 OS and remained stable at the 1-year follow-up.

<p>Figure 2. Macular hole formation was confirmed on OCT as the cause of our patient’s sudden visual loss on postoperative day 45 (A). Imaging 30 days later revealed complete closure of the macular hole (B).</p>

Click to view larger

Figure 2. Macular hole formation was confirmed on OCT as the cause of our patient’s sudden visual loss on postoperative day 45 (A). Imaging 30 days later revealed complete closure of the macular hole (B).

DISCUSSION

As a rare congenital anomaly, ODP can cause progressive vision loss through serous macular detachment known as ODP-M. Subretinal fluid has three types: intravascular, cerebrospinal, and vitreous. In our patient, fluorescein angiography ruled out intravascular leakage into the subretinal space; nevertheless, both cerebrospinal fluid and vitreous fluid can cause the accumulation of subretinal fluid.1 ODP alone is not adequately symptomatic and is often diagnosed only after developing maculopathy, typically in the fourth or fifth decades of life.2 A decrease in VA to between 20/25 and counting fingers is the main symptom of ODP-M.1

The age of our patient was within the typical age range for developing ODP-M, and vision loss was her only symptom. A small hypopigmented grayish depression in the optic nerve, detected during careful ophthalmic examination, suggested ODP. Macular changes in ODP-M include retinal holes, mottled retinal pigment epithelium, and macular elevation.5 The origin of the fluid remains unknown, and the exact pathogenesis of the maculopathy is not fully understood. Although some cases have been reported to resolve spontaneously, most cases require surgical intervention to treat ODP-M and prevent loss of vision.

Currently, there is no definite treatment for these patients, and several surgical methods have been described, including PPV (temporal ODP), and macular elevation was reported in the present case. The ultimate diagnosis was made using SD-OCT, in which retinal schisis expanded from the pit to the macula.1

None of the interventions proposed to manage ODP-M have been reported to be a definitive strategy, owing to the disadvantages associated with each.5 For example, the drawbacks of laser photocoagulation include variable and often prolonged time to improved visual acuity and significant visual field defects caused by laser scars.2 A case series on intravitreal gas tamponade reported visual acuity improvements in only half of the participants, which is not a convincing outcome.6

Nowadays, PPV is considered integral to combination therapies, and surgeons incorporate laser photocoagulation, gas tamponade, or ILM peeling with PPV to enhance the outcomes.2 PPV with ILM peeling is thought to be useful for resolving the vitreoretinal traction; however, ILM peeling appears to be a risk factor for splitting retinal layers.1 Shukla et al reported a case series in which four of seven participants developed full-thickness macular holes 1 month after PPV with ILM peeling, laser photocoagulation, and gas tamponade.3 Our patient underwent PPV with ILM peeling and gas tamponade, and a full-thickness macular hole was similarly observed on postoperative day 45, which required additional surgical management.

UNDERSTAND THE RISKS

Although PPV with ILM peeling and gas tamponade is a common surgical combination for managing ODP-M, in our case, macular hole formation proved to be a serious postoperative complication.

1. Wan R, Chang A. Optic disc pit maculopathy: a review of diagnosis and treatment. Clin Exp Optom. 2019;103(4):425-429.

2. Moisseiev E, Moisseiev J, Loewenstein A. Optic disc pit maculopathy: when and how to treat? A review of the pathogenesis and treatment options. Int J Retina Vitreous. 2015;1:13.

3. Shukla D, Kalliath J, Tandon M, Vijayakumar B. Vitrectomy for optic disk pit with macular schisis and outer retinal dehiscence. Retina. 2012;32(7):1337-1342.

4. Roy R, Saurabh K, Thomas NR, Das K. Surgical management of optic disc pit maculopathy with a fovea sparing internal limiting membrane flap. Indian J Ophthalmol. 2017;65(5):420-422.

5. Kalogeropoulos D, Ch’ng SW, Lee R, et al. Optic disc pit maculopathy: a review. Asia Pac J Ophthalmol (Phila). 2019;8(3):247-255.

6. Akiyama H, Shimoda Y, Fukuchi M, et al. Intravitreal gas injection without vitrectomy for macular detachment associated with an optic disk pit. Retina. 2014;34(2):222-227.