AT A GLANCE

  • Paul Runge, MD, has been volunteering in the Ukraine since the war broke out in early 2022.
  • In addition to diabetic retinopathy, macular degeneration, and retinopathy of prematurity, he has seen many genetic retinal conditions.
  • Dr. Runge is working with a programmer to create an app to help improve the medical record system in the Ukraine, particularly for pediatric patients treated for retinopathy of prematurity.

Imagine seeing two patients with Usher syndrome, a child with Stargardt disease, a young boy with juvenile X-linked macular schisis, a 5-year-old girl with von Hippel Lindau syndrome, and an 11-year-old boy with an optic nerve pit and macular edema—all in one day. Now envision being a volunteer retina specialist in a country at war. That’s what Paul Runge, MD, has been dealing with during his trips to Ukraine. He has also seen patients with retinitis pigmentosa, Best disease, Leber congenital amaurosis with perimacular lacunae, fundus flavimaculatus, and fundus albipunctatus. If he were staffing an inherited retinal disease clinic, this might not seem so out of place, but these are the types of patients who are walking into the routine pediatric retina clinic at the children’s hospital in Ivano-Frankivsk, a little over 80 miles from Lviv, Ukraine (Figure).

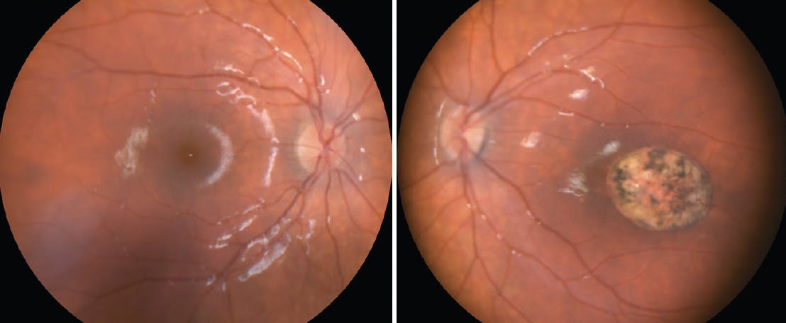
<p>Figure. While in the Ukraine in May 2023, Dr. Runge cared for this 10-year-old boy with congenital toxoplasmosis and a perimacular scar in his left eye.</p>

Click to view larger

Figure. While in the Ukraine in May 2023, Dr. Runge cared for this 10-year-old boy with congenital toxoplasmosis and a perimacular scar in his left eye.

This isn’t exactly the experience Dr. Runge was expecting when he decided to volunteer in Ukraine. “Most of the cases I have seen in Ukraine are what I would describe as bread-and-butter ophthalmology—diabetic retinopathy, macular degeneration, chronic open-angle glaucoma, cataracts, retinal detachments, and retinopathy of prematurity (ROP),” he told Retina Today in an interview. “But I have been very surprised at the number of genetic retinal conditions I have seen in a relatively short period of time.”

HEARING THE CALL

Dr. Runge had just retired in January 2022 (after working with Steve Charles, MD, in Memphis), and was sitting at home watching the war unfold.

“I thought that there might be something I could do to help, and I began sending emails to hospitals and clinics in western Ukraine,” he explained. He eventually connected with Roman Fishchuk, MD, an ear, nose, and throat surgeon in Ivano-Frankivsk in southwestern Ukraine, who has since orchestrated all of Dr. Runge’s connections.

“I didn’t know what to expect, but I was happy to get involved in any way, be that emergency room or retina,” he admitted. “In fact, I ordered a bulletproof vest.”

HELP ON THE WAY

Despite those initial misgivings, the vest is long forgotten in a closet somewhere, replaced by slit lamps, laser indirect ophthalmoscopes, and anti-VEGF injections. Patient care in the Ukraine is similar to the care provided in western Europe or North America, he said, but air raid sirens often disrupt the hustle and bustle of the clinic. Some still head to the bunker, Dr. Runge said, but just as many don’t even bother, instead choosing to stick with their rounds. Dr. Runge quickly found a place for his expertise in pediatric retina and began noticing ways that he could be helpful, and possibly even implement a few improvements.

“Change in the Ukraine, as in most places, happens gradually,” he admitted. “These doctors have been providing effective care for many years without my help, and by taking the time to listen and learn from these successful physicians, I can hopefully help improve their situation incrementally.”

And he certainly has. One of his first accomplishments was securing a Norlase laser indirect ophthalmoscope (LION) to treat threshold ROP at the children’s hospital.

“The doctors light up, and you see how excited they are,” he said of the experience of introducing the laser to the team. As the first surgeon in the Ukraine to perform this laser treatment using the LION, Dr. Runge quickly gained the attention of attendings at the local university who treat patients with diabetes. They don’t have a good laser option, either, and are eager to share this one, or possibly source a new one for themselves. Dr. Runge is already planning to get more involved in the university’s diabetic endocrinology clinic and help them perform panretinal photocoagulation treatment for patients in need.

Another stark difference that took some getting used to for Dr. Runge is the health record situation. Patients are in charge of their own medical records, he noted. “A little notebook contains all their medical records, including tests, and they bring this notebook with them to their appointments, and they have the only copy,” he explained. This has obvious drawbacks, particularly for ROP patients, and Dr. Runge set out to do something about it.

“I’ve been talking to a programmer in Berlin, and he is putting together an app that will allow us to input basic information about the pediatric patients and then do some tracking,” he said. If that is successful, Dr. Runge is hopeful that the app will evolve into an open-source electronic health record for the entire country.

EDUCATION

Dr. Runge wasn’t surprised to find that most of the medical equipment has been around the block a time or two, considering that the same was true when he volunteered in Russia early in his career—and not much had changed. Thus, his first few trips involved supplying the clinic with used indirect ophthalmoscopes and diagnostic lenses. At least a few offices have access to OCT and OCT angiography (and patients show up with the printouts in their little booklets). “The scans were of fairly good quality, but in many instances, there were issues with interpretation of the tests,” Dr. Runge said. “Patients get the scans done but they don’t get a great explanation about what was found. The ophthalmologists are well trained, but they sometimes don’t have the exposure that we have with interpreting OCTs and OCT angiography.”

Dr. Runge began providing hands-on lectures to the medical students (they have 450 of them). Students and attendings alike are known to show up with OCT scans in hand to ask for help interpreting the findings, he said. Their enthusiasm has rejuvenated Dr. Runge’s career, and he now spends a significant portion of his trips teaching.

UNMET NEEDS

Dr. Runge knows there is much work to be done. He is still on the hunt for good quality slit lamps for many of the clinics he visits, the app is working its way through the development stages, and the students are chomping at the bit for more hands-on experience.

The education is crucial for future practitioners, and the laser helps patients with ROP and diabetic eye disease, but what about those patients streaming through the clinic with rare inherited diseases? They remain a population in need, according to Dr. Runge. For most patients in the Ukraine, genetic testing is out of the question; usually a trip to Poland or Italy is the only path toward a definitive genetic answer. Recently, however, a patient with retinitis pigmentosa gained access to the Invitae inherited retinal disorders panel in Kyiv—a breakthrough Dr. Runge is hoping to capitalize on to add that service to the children’s hospital in Ivano-Frankivsk.

“Now that new treatments are being developed for these conditions, and because a genetic diagnosis is a requirement to receive treatment or to be entered into a clinical trial, it is essential that genetic testing be made available to our patients,” Dr. Runge emphasized.

STAY HUMBLE

While Dr. Runge plugs away at small advances that can make a world of a difference, he is careful to remember one thing. “These doctors have been practicing medicine for years without my help, and they are brilliant and motivated and only need a little nudge in one direction or the other to take off,” he observed. “The last thing you want to do is to go into these situations like a bull in a China shop and tell everyone that they aren’t doing it right.” Instead, take a step back, listen to their needs, and then find little ways to implement incremental changes that are the most helpful, he suggested.

“Only then can you offer global solutions to certain problems,” he offered.