Vogt-Koyanagi-Harada (VKH) syndrome is a rare autoimmune and granulomatous inflammatory condition that affects the central nervous system. VKH has a vast range of presentations, which may involve cerebrospinal fluid, skin, hair, and eyes. VKH syndrome mainly occurs in adults, but there is a case report of a 3-year-old girl with VKH.1

VKH syndrome has an idiosyncratic phenotype and may present with early or late physical manifestations. Although the pathophysiology is not completely understood, VKH syndrome can be subdivided into a prodrome, an acute, and a chronic phase. The prodrome phase is characterized by nonspecific features such as fever, malaise, headache, and dizziness, which last for a few days. The acute phase lasts for a few weeks and is characterized by bilateral posterior uveitis and other ocular findings. In rare cases, the posterior uveitis may not occur at the same time in the contralateral eye but will have a short delay.2

The chronic stage can last a few months to years and involves depigmentation of the skin and uvea. At this point vitiligo is most often seen, commonly affecting the eyelashes, face, and trunk. Other symptoms such as alopecia may occur, and patients may present with changes in the color of the choroid to bright orange with a pale optic nerve.3

CASE PRESENTATION

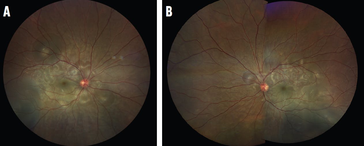
A 26-year-old woman presented to the emergency department with an acute onset of progressive worsening bilateral eye pain and blurry vision. She denied any discharge from the eyes and stated that she had been having headaches, nausea, and fever for a few days. She was in good health before her vision problems, other than a history of chronic hair thinning that she shared with her mother and sister. She had no remarkable ocular history and denied orbital trauma. She had been seen at urgent care the previous week when her eye pain started, where she had been given prednisolone acetate drops and was instructed to follow up with an ophthalmologist. Her VA was 20/40 OD and 20/80 OS, and IOP was 16 mm Hg OD and 12 mm Hg OS. Her anterior segment examination was normal, except for a few keratic precipitates on each cornea. Dilated examination revealed 1+ vitreous haze and diffuse, bullous serous retinal detachments in the posterior pole and periphery of each eye (Figure 1). Fluorescein angiography showed bilateral diffuse pinpoint leakage and late optic nerve leakage (Figure 2). OCT revealed diffuse, small, bilateral bullous retinal detachments (Figure 3), and ultrasound revealed diffuse choroidal thickening (Figure 4).

<p>Figure 1. Fundus photos of the right (A) and left (B) eye at the first clinic visit showed 1+ vitreous haze and diffuse, bullous serous retinal detachments in the posterior pole and periphery.</p>

Click to view larger

Figure 1. Fundus photos of the right (A) and left (B) eye at the first clinic visit showed 1+ vitreous haze and diffuse, bullous serous retinal detachments in the posterior pole and periphery.

<p>Figure 2. Fluorescein angiography of the right (A, B) and left (C, D) eye showed bilateral diffuse pinpoint leakage areas and late optic nerve leakage.</p>

Click to view larger

Figure 2. Fluorescein angiography of the right (A, B) and left (C, D) eye showed bilateral diffuse pinpoint leakage areas and late optic nerve leakage.

<p>Figure 3. OCT macula of the right (A) and left (B) eye showed small, bilateral bullous retinal detachments.</p>

Click to view larger

Figure 3. OCT macula of the right (A) and left (B) eye showed small, bilateral bullous retinal detachments.

<p>Figure 4. B-scan ultrasonography showed choroidal thickening in the right eye.</p>

Click to view larger

Figure 4. B-scan ultrasonography showed choroidal thickening in the right eye.

Infectious labs, including human immunodeficiency virus, Bartonella titers, QuantiFERON gold, Lyme titers, and syphilis titers, had unremarkable results. We also ordered a complete blood count, basic metabolic panel, erythrocyte sedimentation rate, C-reactive protein, antinuclear antibody, angiotensin-converting enzyme, a rheumatoid factor, and a chest X-ray.

The patient continued topical prednisolone acetate in each eye four times daily. Over the next 3 days, she developed progressive changes in her mental status and a fever. She was taken to the emergency department for a further workup, was admitted as an inpatient, and neurology, infectious disease, and rheumatology were consulted. Workup as an inpatient consisted of a lumbar puncture, which showed 235 white blood cells (97% lymphocytes, 3% monocytes), 43 red blood cells, 48 glucose, and 153 total protein.

Management and Follow-up

The patient was ultimately diagnosed with VKH syndrome due to her ocular findings, hair loss, ethnicity (Bangladeshi), and findings of lymphocytic pleocytosis in her cerebrospinal fluid. She was treated with intravenous steroids for 3 days while in the hospital, discharged on 60 mg prednisone daily for 30 days, and instructed to follow up with her ophthalmologist in 1 week.

At the 1-week follow-up, she reported improvement of her eye pain and headaches and was afebrile. Although her vision was much better, she noted that it was still blurry and that lines looked wavy. Her fundoscopic examination showed that the retinal detachments had resolved (Figure 5). OCT of the macula showed mild subretinal fluid bilaterally that had dramatically improved since the last visit (Figure 6).

<p>Figure 5. Fundus photos of the right (A) and left (B) eye showed improvement of the bullous serous detachments and vitreous haze after systemic corticosteroid treatment.</p>

Click to view larger

Figure 5. Fundus photos of the right (A) and left (B) eye showed improvement of the bullous serous detachments and vitreous haze after systemic corticosteroid treatment.

<p>Figure 6. OCT imaging of the macula of the right (A) and left (B) eye showed improvement of the subretinal fluid.</p>

Click to view larger

Figure 6. OCT imaging of the macula of the right (A) and left (B) eye showed improvement of the subretinal fluid.

She was advised that her care would require a monthly taper of oral prednisone over 6 months with a possible transition to cyclosporine. She was also advised to continue following up with rheumatology and schedule annual ophthalmic examinations.

DISCUSSION

VKH is a noteworthy cause of noninfectious uveitis more common in people with pigmented skin. The incidence varies, with the highest incidence in Japan (7%), followed by the United States (1%–4%), and Brazil (3%). Women tend to be affected more often than men,4 usually in the second to fifth decade of life.

Although our patient exhibited various findings that pointed to VKH syndrome, diseases such as sympathetic ophthalmia, Behçet syndrome, and other rare infectious etiologies can have a significant overlap of symptoms. Of note, one study found that the immunopathogenesis of Behçet syndrome involves CD4+ T cells, while VKH syndrome involves cytotoxic CD8+ T cells.5 Although immunopathogenesis may not be entirely helpful on a clinical examination, it may help guide precise diagnostic approaches and treatment plans in the future. This is important given that the best treatment for VKH syndrome—corticosteroids versus immunosuppressants—is still controversial.

Since VKH syndrome is often a diagnosis of exclusion, having a broad differential and working step by step is crucial. It is common for VKH-related skin changes such as alopecia, poliosis, and vitiligo to appear later in the course of the disease, so patients may only present with a headache and bilateral optic disc swelling. This makes it easy to misdiagnose VKH syndrome as intracranial hypertension.6 Furthermore, some patients may only present with ocular findings, and VKH may be misdiagnosed as an ocular condition.6 There was a case of a 39-year-old woman who was originally diagnosed with uveitis and was referred to a neurologist, who diagnosed her with multiple sclerosis—only to discover years later that she actually had VKH syndrome.7

DIAGNOSTIC CRITERIA

Over the years, there have been several criteria proposed for the clinical diagnosis of VKH syndrome. One states that, to be diagnosed with VKH syndrome, a patient must have no evidence of ocular trauma and must meet at least three of the following criteria:

1. cutaneous findings, such as vitiligo, alopecia, or poliosis;

2. neurological findings, such as hearing loss, cranial nerve deficits, tinnitus, etc.;

3. bilateral choroidal iridocyclitis; and

4. posterior uveitis, which includes retinal pigmented detachments.4

While it is helpful to have a set of established findings to make a clinical diagnosis of VKH syndrome possible, these criteria fall short, considering patients can have symptoms that point to VKH syndrome but present with less than three of the four findings.4 In addition, cutaneous and neurological findings are left up to the provider’s interpretation and may consist of an array of different signs. The Revised Diagnostic Criteria Committee published an updated set of criteria in 2001, in which the most significant change was that VKH syndrome was now categorized into three categories: complete, incomplete, and probable.8

ONE STEP AT A TIME

Our patient was found to have VKH syndrome based on a diagnosis of exclusion, a lab workup, and her ocular findings. She responded well to systemic corticosteroid therapy and is continuing to follow up in the clinic.

1. Patil YB, Garg R, Rajguru JP, et al. Vogt-Koyanagi-Harada (VKH) syndrome: a new perspective for healthcare professionals. J Family Med Prim Care. 2020;9(1):31-35.

2. Harris JP, Weisman MH. Head and Neck Manifestations of Systemic Disease Head and Neck Manifestations of Systemic Disease. CRC Press; 2007.

3. Wright KW, Strube YNJ. Pediatric Ophthalmology and Strabismus. 3rd ed. OUP: 2012.

4. Lavezzo MM, Sakata VM, Morita C, et al. Vogt-Koyanagi-Harada disease: review of a rare autoimmune disease targeting antigens of melanocytes. Orphanet J Rare Dis. 2016;11:29.

5. Kang H, Sun H, Yang Y, et al. Autoimmune uveitis in Behçet’s disease and Vogt-Koyanagi-Harada disease differ in tissue immune infiltration and T cell clonality. Clin Transl Immunology. 2023;12(9):e1461.

6. Shoughy SS, Tabbara KF. Initial misdiagnosis of Vogt-Koyanagi-Harada disease. Saudi J Ophthalmol. 2019;33(1):52-55.

7. Algahtani H, Shirah B, Algahtani R, Alkahtani A, Alwadie S. Vogt Koyanagi Harada Syndrome mimicking multiple sclerosis: a case report and review of the literature. Mult Scler Relat Disord. 2017;12:44-48.

8. Read RW, Holland GN, Rao NA, et al. Revised diagnostic criteria for Vogt-Koyanagi-Harada disease: report of an international committee on nomenclature. Am J Ophthalmol. 2001;131(5):647-652.