AT A GLANCE

  • Color fundus photography is often not sufficient for the diagnosis and monitoring of geographic atrophy (GA), and other imaging modalities are needed.
  • OCT and fundus autofluorescence are the standard imaging modalities for the diagnosis of GA.
  • Invasive techniques (ie, fluorescein angiography and ICG angiography) should be reserved for specific cases in which the diagnosis is unclear.
  • OCT angiography may be useful to detect nonexudative macular neovascularization associated with GA.

Diagnosis of geographic atrophy (GA) relies on multimodal imaging, including color fundus photography, fundus autofluorescence (FAF) imaging, and structural OCT.1 Diagnosis can be difficult and, at times, may require more invasive tests such as fluorescein angiography (FA) and ICG angiography (ICGA). More recently, OCT angiography (OCTA) has become a useful tool to capture associated choroidal neovascularization as part of mixed GA and wet AMD.2 Here, we discuss noninvasive imaging techniques that can help clinicians establish a definitive diagnosis of GA and follow patients appropriately.

COLOR FUNDUS PHOTOGRAPHY

Color fundus imaging remains the first approach for the study of macular atrophy (Figure 1). It allows clinicians to rule out the main causes of macular atrophy other than GA, assess the possible presence of retinal hemorrhages, note any alterations within the retinal pigment epithelium (RPE), distinguish the form and size of atrophy, and visualize drusen and reticular pseudodrusen (RPD). Historically, the diagnosis of GA has been based on these images. The AREDS2 study defined GA as an absence of RPE from a spot larger than 175 µm in width where choroidal trunks are visible without evidence of exudation (detachment of the pigment epithelium or hemorrhage).3

<p>Figure 1. Depicted here are color images of GA captured with Topcon’s conventional, or non-mydriatic, camera using xenon flash (A), Carl Zeiss Meditec’s Clarius non-mydriatic camera (B), and Heidelberg Engineering’s multicolor imaging (C).</p>

Click to view larger

Figure 1. Depicted here are color images of GA captured with Topcon’s conventional, or non-mydriatic, camera using xenon flash (A), Carl Zeiss Meditec’s Clarius non-mydriatic camera (B), and Heidelberg Engineering’s multicolor imaging (C).

Several types of fundus cameras are available, either with xenon flash (conventional cameras) or white LED light confocal devices. Image acquisition and interpretation vary by model. Newer-generation LED cameras penetrate better in cases of media opacification without oversaturation of the red channel like traditional fundus images,4 but they produce false images of the fundus called reconstructed images.

GA is frequently characterized by a round or oval, regular or multilobed lesion with one or multiple foci and somewhat clear limits. The large choroidal trunks are visible in the absence of RPE, associated with a pale retina. Perilesional hyperpigmentation may also be visible.

However, color fundus photography is often not sufficient for the diagnosis and long-term monitoring of GA, and other imaging modalities are needed.

AUTOFLUORESCENCE IMAGING

FAF images are valuable for the diagnosis of GA. The pigment in the RPE cells sends physiological “autofluorescence” if properly stimulated. This physiologic fundus fluorescence (isoautofluorescence or normoautofluorescence) increases when pigment phagocytosis and lipofuscin formation are ongoing (hyperautofluorescence) (Figure 2). The absence of fluorescence (hypoautofluorescence) is due to the complete loss of metabolic activity of the RPE cells.

<p>Figure 2. Clinicians can analyze GA lesions using multicolor imaging, which allows delineation of the lesion borders (A), FAF (B), NIR imaging (C), traditional color fundus imaging (D), and OCT, which shows the presence of cRORA (E).</p>

Click to view larger

Figure 2. Clinicians can analyze GA lesions using multicolor imaging, which allows delineation of the lesion borders (A), FAF (B), NIR imaging (C), traditional color fundus imaging (D), and OCT, which shows the presence of cRORA (E).

In GA, the atrophic lesion is characterized by hypoautofluorescence surrounded by a halo of hyperautofluorescence at the edge. Holz et al classified zones of perilesional hyperautoflourescence into several types: no hyperautoflourescence, hyperautoflourescence, focal, band and patch, and diffuse and trickling.5 Other classifications have also been proposed in the past.

GA is characterized by enlargement of the atrophic lesion over time, progressing from the edge of atrophy (initially seen as hyperautofluorescent on FAF). The rate of progression is approximately 1.77 mm2 per year but varies according to FAF pattern.5

NEAR INFRARED

Near-infrared reflectance (NIR) imaging (between 800 nm and 2,500 nm) penetrates deeper than FAF (between 420 nm and 500 nm) through the different layers of the retina. Thus, the combination of NIR and FAF images allows a more detailed assessment of fovea-sparing lesions (Figure 3).6

<p>Figure 3. Because of the xanthophyll pigment, the foveal zone appears dark on FAF imaging, while the foveal sparing is more obvious on NIR imaging.</p>

Click to view larger

Figure 3. Because of the xanthophyll pigment, the foveal zone appears dark on FAF imaging, while the foveal sparing is more obvious on NIR imaging.

ADAPTIVE OPTICS

Adaptive optics is an imaging technique that allows for real-time correction of the changing lateral deformations of the front of the photoreceptors and the RPE and, therefore, the edges of the ellipsoid zone (EZ). This imaging modality is not used in routine clinical practice because of the high instrument cost and slow image acquisition.7

OCT

OCT is now the standard for diagnosing and following retinal disorders, and GA is no exception. The retinal complex is divided into two parts: the external retina and the RPE, and into subcategories of complete and incomplete. We identified the structures visible on OCT for this classification: the external limiting membrane (ELM) and EZ for the outer retina and RPE and the hypertransmission of the signal for RPE. Based on these findings, we identified four categories of retinal damage due to atrophic AMD (Figure 4)8:

1. Incomplete outer retinal atrophy (iORA): An intact ELM, intermittent EZ, and intact RPE without signal hypertransmission.

2. Complete outer retinal atrophy (cORA): The ELM and EZ are not visible, but the RPE is intact. Intermittent hypertransmission is possible.

3. Incomplete RPE and outer retinal atrophy (iRORA): The EZ and ELM are disrupted, the RPE is disrupted, and there is inconsistent hypertransmission of the signal.

4. Complete RPE and outer retinal atrophy (cRORA): Lack of visualization of the EZ, ELM, RPE, and hypertransmission of the signal.

<p>Figure 4. The OCT classification of GA includes iORA (A), iRORA (B), cORA (C), and cRORA (D).</p>

Click to view larger

Figure 4. The OCT classification of GA includes iORA (A), iRORA (B), cORA (C), and cRORA (D).

These four entities are at least 250 µm wide. Of note, atrophy of the outer retina, including photoreceptors, can occur without affecting the RPE, whereas atrophy of the RPE is always accompanied by atrophy of the overlying photoreceptor layer (Figure 5). While outer retinal atrophy may be characteristic of AMD, cRORA may be due to several phenotypes of inflammation and infection of the retina and choroid, including wet AMD. Thus, the presence of cRORA in an OCT scan is not sufficient evidence to establish a diagnosis of GA. Each OCT section should be explored for signs of exudation, drusen, and RPD. The latter two will validate the diagnosis of GA. Drusen can also occur in areas of atrophy, called ghost drusen,9 and are remnants of serous, conical drusen within an area of atrophy (Figure 6).

<p>Figure 5. In the FAF of a GA lesion (A), the xanthophyll pigment appears even darker than the dark hypofluorescent zone of GA. In the same FAF image that was processed through automated quantification of the GA lesion (B), the foveal sparing is not detected. In the NIR image (C), the foveal sparing contrasts with the hypofluorescent atrophic lesion. In the same NIR image with automated quantification of the atrophic zone (D), the foveal sparing is detected, allowing a reliable quantification of GA. Microperimetry (E), used to evaluate the macular function, correlates with the foveal sparing detected in the NIR imaging. With OCT imaging (F), the limits of the atrophic zone (cRORA) show the foveal sparing.</p>

Click to view larger

Figure 5. In the FAF of a GA lesion (A), the xanthophyll pigment appears even darker than the dark hypofluorescent zone of GA. In the same FAF image that was processed through automated quantification of the GA lesion (B), the foveal sparing is not detected. In the NIR image (C), the foveal sparing contrasts with the hypofluorescent atrophic lesion. In the same NIR image with automated quantification of the atrophic zone (D), the foveal sparing is detected, allowing a reliable quantification of GA. Microperimetry (E), used to evaluate the macular function, correlates with the foveal sparing detected in the NIR imaging. With OCT imaging (F), the limits of the atrophic zone (cRORA) show the foveal sparing.

<p>Figure 6. Multicolor (A), NIR (B), FAF (C), and OCT imaging (D) of hypereflective pyramidal structures, or ghost drusen, in GA.</p>

Click to view larger

Figure 6. Multicolor (A), NIR (B), FAF (C), and OCT imaging (D) of hypereflective pyramidal structures, or ghost drusen, in GA.

We therefore recommend further study of the atrophied retina and the healthy peripheral retina, especially the temporal side because exudation often develops in this area.

More recently, nascent GA has been described on OCT imaging.10 Several signs characteristic of GA have been observed over time on OCT, many of which can simulate exudation, such as wedge-shaped subretinal hyporeflectivity.11

In patients with GA, the choroidal thickness is reduced compared with the choroid of healthy patients and patients with other types of retinal atrophy, such as pseudovitelliform macular dystrophy.12 Decreased choroidal thickness is diffuse throughout the macular region and is not associated with hyper- or hypofluorescence. Caverns, hyporeflective zones with well-defined edges in the choroid, will not fill with dye on ICGA and are not associated with a change in the rate of GA progression or an increase in the likelihood of exudation.13 They appear to be linked to deposits of lipoprotein.

OCTA

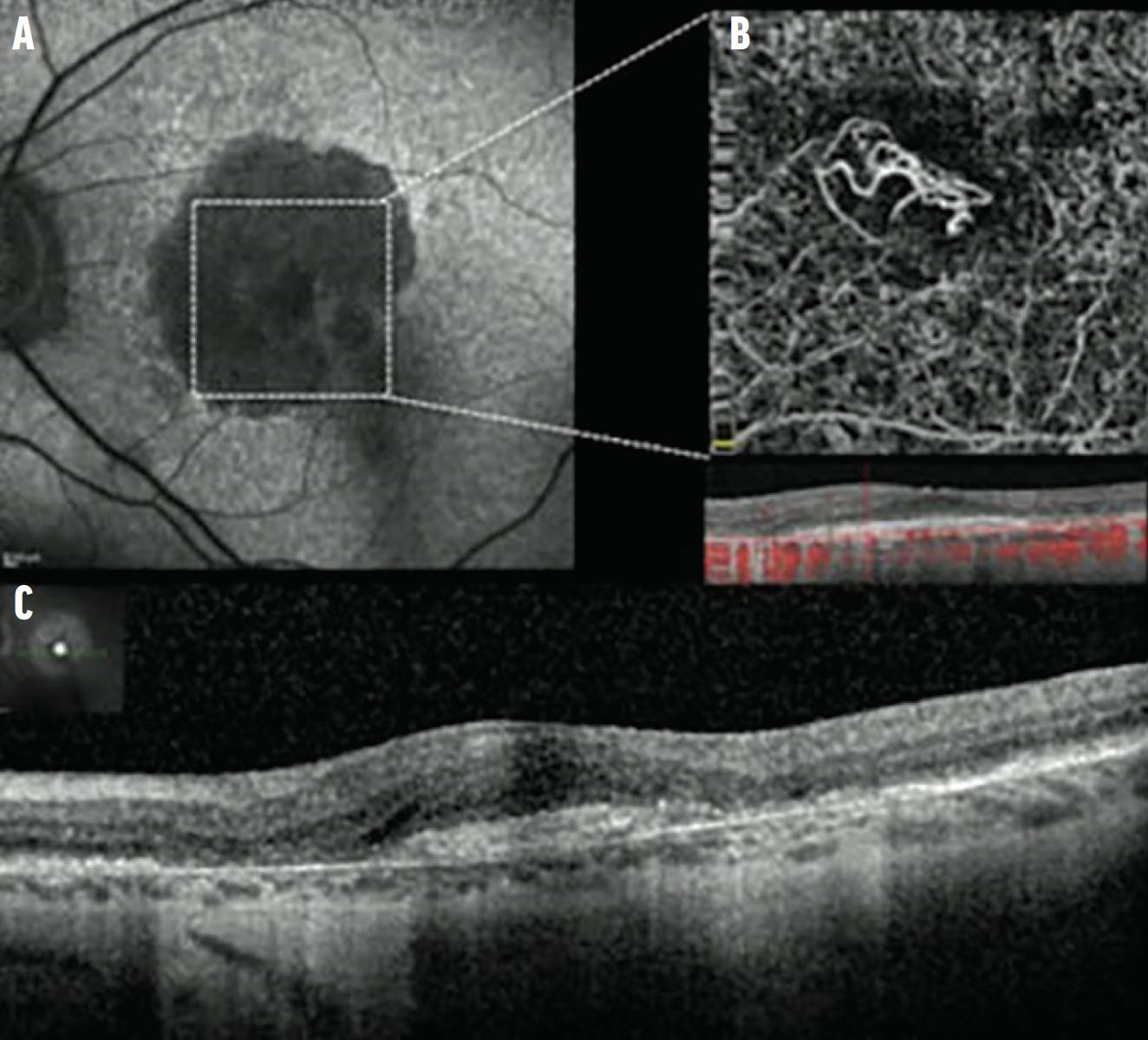
OCTA allows us to noninvasively visualize the neovascular network. It is recommended that this test be done in the initial evaluation of all new patients with macular atrophy. In this context, one may find either a “dead tree” network characteristic of an old and inactive neovascularization, or a more “woody” but nonexudative aspect associated with structural OCT (Figure 7), called quiescent neovascularization.14 This type of neovascularization represents a positive prognostic factor for the progression of atrophy. The mechanism suggests that the neovascular loop would be able to feed more RPE and the outer retina. In contrast, quiescent neovascularization switches to an exudative form in about 20% of cases.14

<p>Figure 7. When imaging a mixed lesion (both GA and choroidal neovascularization), FAF shows a “C” shape atrophic lesion (hypofluorescent) with foveal sparing (A). OCTA shows a hyperreflective loop, revealing the choroidal neovascularization (B). The OCT B-scan shows the limits of the GA lesion with a foveal-sparing and hyperreflective lesion in the foveal area (C). No exudation is visible on the OCT B-scan.</p>

Click to view larger

Figure 7. When imaging a mixed lesion (both GA and choroidal neovascularization), FAF shows a “C” shape atrophic lesion (hypofluorescent) with foveal sparing (A). OCTA shows a hyperreflective loop, revealing the choroidal neovascularization (B). The OCT B-scan shows the limits of the GA lesion with a foveal-sparing and hyperreflective lesion in the foveal area (C). No exudation is visible on the OCT B-scan.

SECOND-LINE IMAGING

FA and ICGA are not recommended as first-line imaging modalities for the diagnosis of GA. Injection of dye is reserved for cases with an unclear diagnosis (eg, a patient with possible OCT signs of exudation but without interpretable OCTA images).

In an exudative macular neovascular lesion, leakage will be clearly visible in the late phases of FA; with quiescent neovascularization, there will be no diffusion but a simple alteration of the fluorescence due to alteration of the RPE and a plaque in the late phases of ICGA.14

In GA, hyperfluorescence (the window effect due to the absence of RPE) in early-phase FA is visible without staining or leakage changes during the angiographic sequence. On ICGA, if the RPE is not present, the large choroidal vessels will be visible early. Later, an isofluorescence will be visible.

Dark atrophy in late-phase ICGA, observed in patients with Stargardt disease,15 is also seen in patients with GA and in those with central areolar choroidal dystrophy.16

FOCUS ON IMAGING

With the era of GA treatment upon us, clinicians must be ready to diagnose and follow these patients more closely. Multimodal imaging—including color fundus photography, FAF, OCT, and OCTA—is the key to doing just that, as long as you know what to look for.

1. Forte R, Querques G, Querques L, et al. Multimodal imaging of dry age-related macular degeneration. Acta Ophthalmol. 2012;90:e281-e287.

2. Crincoli E, De Rosa I, Miere A, Colantuono D, Mehanna CJ, Souied EH. Comparison of multimodal imaging for the characterization of geographic atrophy. Transl Vis Sci Technol. 2022;11(11):21.

3. Sacconi R, Corbelli E, Carnevali A, Querques L, Bandello F, Querques G. Optical coherence tomography angiography in geographic atrophy. Retina. 2018;38(12):2350-2355.

4. Sarao V, Veritti D, Borrelli E. A comparison between a white LED confocal imaging system and a conventional flash fundus camera using chromaticity analysis. BMC Ophthalmol. 2019;19:231.

5. Holz FG, Bindewald-Wittich A, Fleckenstein M, Dreyhaupt J, Scholl HP, Schmitz-Valckenberg S; FAM-Study Group. Progression of geographic atrophy and impact of fundus autofluorescence patterns in age-related macular degeneration. Am J Ophthalmol. 2007;143(3):463-472.

6. Querques G, Souied EH. Combined angiography for high-quality near-infrared autofluorescence images. Optom Vis Sci. 2014 Jan;91(1):e9-e13.

7. Querques G, Kamami-Levy C, George S, et al. Adaptive optics imaging of foveal sparing in geographic atrophy secondary to age-related macular degeneration. Retina. 2016 Feb;36(2):247-54

8. Sadda SR, Guymer R, Holz FG, et al. Consensus definition for atrophy associated with age-related macular degeneration on OCT: Classification of Atrophy Report 3. Ophthalmology. 2018;125:537-548.

9. Bonnet C, Querques G, Zerbib J, et al. Hyperreflective pyramidal structures on optical coherence tomography in geographic atrophy areas. Retina. 2014;34:1524-1530.

10. Sacconi R, Sarraf D, Sadda SR, et al. Nascent geographic atrophy as a predictor of type 3 macular neovascularization development. Ophthalmol Retina. 2023;7(7):586-592.

11. Querques G, Capuano V, Frascio P, Zweifels S, GeorgeS A, Souied EH. Wedge-shaped subretinal hyporeflectivity in geographic atrophy. Retina. 2015;35:1735-1742.

12. Coscas F, Puche N, Coscas G, et al. Comparison of macular choroidal thickness in adult onset foveomacular vitelliform dystrophy and age-related macular. Invest Ophthalmol Vis Sci. 2014;55(1):64-69.

13. Querques G, Costanzo E, Miere A, Capuano V, Souied EH. Choroidal caverns: a novel optical coherence tomography finding in geographic atrophy. Invest Ophthalmol Vis Sci. 2016;57(6):2578-2582.

14. Capuano V, Miere A, Querques L, et al. Treatment-naïve quiescent choroidal neovascularization in geographic atrophy secondary to nonexudative age-related macular degeneration. Am J Ophthalmol. 2017;182:45-55.

15. Giani A, Pellegrini M, Carini E. The dark atrophy with indocyanine green angiography in Stargardt disease. Invest Ophthalmol Vis Sci. 2012;53(7):3999-4004.

16. Guigi B, Semoun O, Querques G, et al. Indocyanine green angiography features of central areolar choroidal dystrophy. Retin Cases Brief Rep. 2009;3(4):434-437.