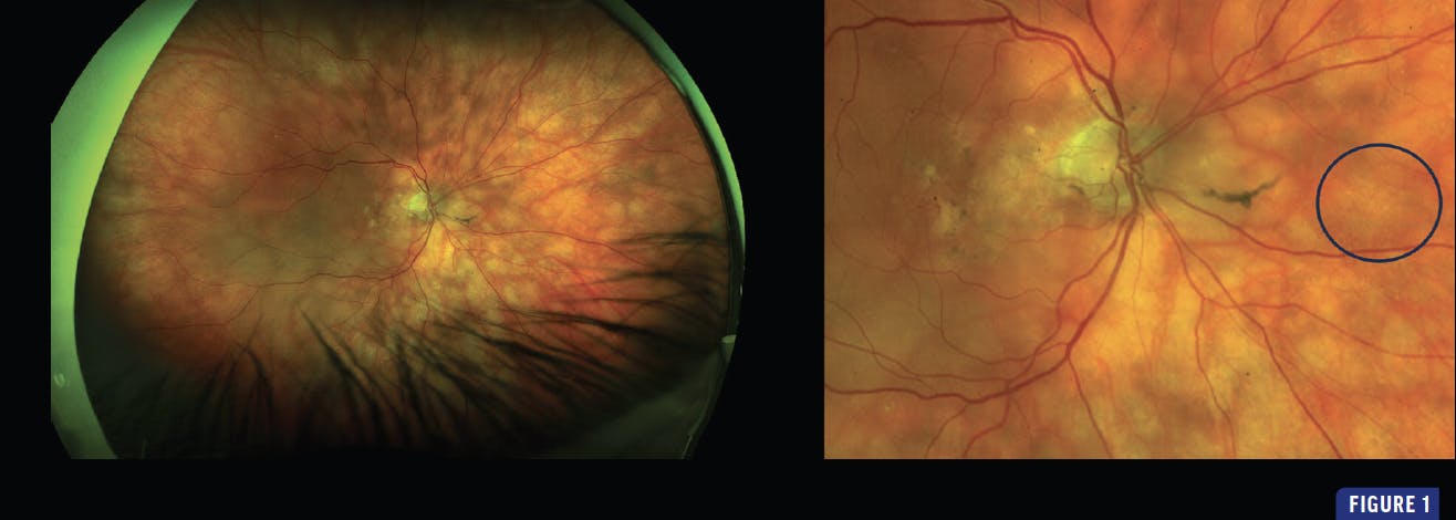
A 72-year-old man with no past medical or ocular history presented for evaluation of a choroidal lesion found in his right eye on routine examination. His BCVA was 20/30 OD and 20/20 OS. The anterior segment was normal in each eye. Fundus examination of the right eye showed multifocal, creamy yellow choroidal infiltrates with peripapillary hyperpigmentation and focal subretinal yellow deposits (Figure 1).

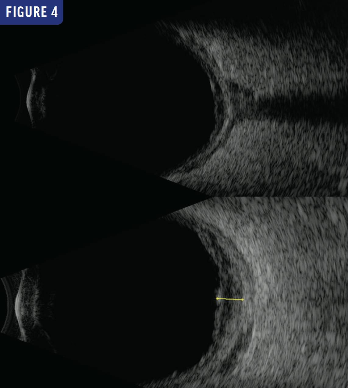
ICG angiography showed hypofluorescence corresponding to the choroidal lesions in the right eye. Fluorescein angiography showed early peripapillary blockage with late staining of the lesion in the right eye (Figure 2). Macular OCT showed choroidal elevation with an intact overlying retina and scattered subretinal hyperreflective lesions (Figure 3). B-scan ultrasonography showed peripapillary fundus thickening (Figure 4).

DIAGNOSIS AND FOLLOW-UP

The differential diagnosis was broad and included infectious (syphilis, tuberculosis [TB], and human immunodeficiency virus [HIV]), inflammatory (sarcoidosis, acute posterior multifocal placoid pigment epitheliopathy, and posterior scleritis), and oncologic (primary vitreoretinal lymphoma, reactive lymphoid hyperplasia of the uvea, metastatic lesions, diffuse melanoma, and uveal effusion syndrome) etiologies.

An extensive lab workup was ordered, including tests for HIV, TB, syphilis, angiotensin-converting enzyme, lysozyme, toxoplasmosis, anti-double-stranded DNA, anti-myeloperoxidase antibody, anti-proteinase 3, and toxocariasis. Imaging included chest X-ray and MRI of the brain and orbits.

The workup was positive for prior exposure to toxoplasmosis (IgG positive and IgM negative), and MRI showed asymmetric thickening of the right retina and choroid. Given the otherwise negative workup, the most likely diagnosis was reactive lymphoid hyperplasia of the uvea. The patient was subsequently followed for 6 years with stable appearance of the lesions and visual acuity.

DISCUSSION

Reactive lymphoid hyperplasia is a rare condition that typically affects middle-aged adults. It is usually unilateral and has no predilection based on race or sex.1 It is characterized by multifocal, static, creamy choroidal infiltrates, diffuse thickening of the choroid, and pigmentary alterations in the overlying retinal pigment epithelium.1 It can lead to secondary narrow glaucoma, exudative retinal detachments, and shifting subretinal fluid.1 The literature generally recommends observation, although at least one case reported successfully using a combination of antibiotics and steroids to address the postulated immunogenic etiology of this condition.2

If you have images you would like to share, email Manish Nagpal, MS, FRCS, FASRS, at drmanishnagpal@yahoo.com.

Note: Photos should be 400 dpi or higher and at least 10 inches wide.

1. Chang TS, Byrne SF, Gass JD, Hughes JR, Johnson RN, Murray TG. Echographic findings in benign reactive lymphoid hyperplasia of the choroid. Arch Ophthalmol. 1996;114(6):669-675.

2. Francis JH, Winebrake JP, Abramson DH. Uveal lymphoid hyperplasia: treatment with combination antibiotics and steroids. Br J Ophthalmol. 2023;107(6):786-789.