AT A GLANCE

  • For rhegmatogenous retinal detachments, expansile gas is typically used if there is no high-grade proliferative vitreoretinopathy, prior failed reattachment surgery, or inflammatory/infectious processes. In those cases, consider silicone oil.
  • Because gas and silicone oil tamponades are buoyant, materials heavier than silicone oil have been used when treating inferior pathology.
  • IOP aberrations are among the most common complications of intraocular tamponades.

Intraocular tamponades play an essential role in vitreoretinal surgery, acting as a force to displace fluid away from retinal breaks and plug them to allow the retina to reattach to the underlying retinal pigment epithelium (RPE).1 Tamponade agents have evolved over the years, and new innovations are on the horizon. Although choosing the right tamponade is nuanced and case-dependent, this article outlines some general evidence-based guidelines for common clinical scenarios.

THE CHOICES

The most common tamponades in the United States include gas (air, SF6, C3F8), silicone oil, and perfluoro-n-octane (PFO), a heavier-than-water tamponade.

Both SF6 and C3F8 are fluorocarbon gases that are inert, odorless, clear, and low density (Table 1).2 The duration of a gas is important to consider when choosing a tamponade because it needs to support retinal breaks until the retinopexy has taken effect. Laser retinopexy requires approximately 24 hours to create an adherent chorioretinal scar and 2 to 3 weeks to develop maximum adhesive force.2 Cryotherapy may initially weaken the retina-RPE adhesive forces over the first week due to edema before effectively sealing the retina to the RPE.2 The disadvantages of using a gas with a longer duration include increased risk of cataracts and elevated IOP, as well as the inability to travel by plane.2

To simplify the process of preparing intraoperative gas tamponades, Alcon created syringes that can be connected to its vitrectomy machine to auto-purge and auto-fill with pure expansile gas.3 This enables a member of the sterile surgical team to prepare the gas without relying on a non-sterile team member.

Silicone oil is available at two different viscosities, 1,000 centistokes (cSt) and 5,000 cSt (Table 2). Although patients may see through silicone oil more clearly compared with a gas bubble, silicone oil requires surgical removal from the eye. In addition, it induces a hyperopic shift in phakic patients and, to a lesser degree, in pseudophakic patients, and a myopic shift in aphakic patients.

Heavier-than-water tamponades include PFO and heavy silicone oils, the latter of which are not currently approved for use in the United States.

SELECTING THE BEST TAMPONADE

For rhegmatogenous retinal detachments (RRDs), expansile gas at an iso-expansile concentration is typically used if there is no high-grade proliferative vitreoretinopathy (PVR), prior failed reattachment surgery, or inflammatory/infectious processes. Silicone oil may be considered in cases with any of these complicating factors. For combined tractional RDs and RRDs, silicone oil or gas tamponade is typically used. Short-acting gases are increasingly used for macular hole repairs. Using air or no tamponade is acceptable for epiretinal membrane peels.

For RRDs without PVR, gas tamponade with or without vitrectomy is frequently favored over silicone oil tamponade. Pneumatic retinopexy typically employs 100% expansile gas to treat tears in the superior two-thirds of the retina because the partial fill of the buoyant gas is a less effective plug for inferior pathology.

For RRDs without PVR that undergo vitrectomy, a retrospective study of almost 100 eyes showed that there was no significant difference in rates of recurrent detachment between C3F8 and silicone oil fill.4 Another retrospective study of more than 500 eyes with RRD found no difference between air and 20% SF6 tamponade overall, but for eyes with inferior RRDs, tamponade with 20% SF6 gas had a higher success rate than air.5

For RRDs with PVR, two large studies, the Silicone Oil Study and the European Vitreoretinal Society Retinal Detachment Study,6,7 investigated the use of gas versus silicone oil tamponade. The Silicone Oil Study, a prospective, randomized multicenter study, showed that patients with RRDs with PVR experienced no significant difference in anatomic or visual outcomes with C3F8 versus silicone oil 1,000 cSt at 1 year postoperatively, but patients with SF6 tamponade had inferior outcomes.6,8

Similarly, the European Vitreoretinal Society Retinal Detachment Study showed that rates of anatomic failure in complex RRD eyes were not significantly different between gas and silicone oil groups.7

Smaller retrospective studies of RRD subpopulations have identified significant benefits of one tamponade type over others for specific clinical scenarios. For example, in eyes with pathologic myopia and a staphyloma undergoing vitrectomy for RRD due to a macular hole, C3F8 tamponade resulted in better visual outcomes and initial success compared with silicone oil.9 This may be because oil does not tamponade the irregular contours of a staphyloma as well as gas. A retrospective study of more than 50 eyes with RRD and PVR that underwent vitrectomy and retinectomy showed that eyes with silicone oil did significantly better than eyes with gas.10

Several studies have compared 1,000 cSt versus 5,000 cSt tamponade. A study of more than 300 eyes with complex RRDs found no significant difference in outcomes between 1,000 cSt and 5,000 cSt silicone oil.11 In a smaller retrospective study of 82 eyes with complex RRDs, eyes with 5,000 cSt had higher rates of redetachment after silicone oil removal.12 For diabetic tractional RDs, a retrospective study of 62 eyes found that eyes with silicone oil had significantly lower rates of postoperative vitreous hemorrhage than eyes with gas or no tamponade.13

Because gas and silicone oil tamponades are buoyant, materials heavier than silicone oil may be necessary when treating inferior pathology. Two heavy silicone oils are approved for use in Europe, but not in the United States: Densiron 68 and Oxane HD. The Heavy Silicone Oil Study, a randomized control trial that compared Densiron 68 with silicone oil tamponade in eyes with inferior RRDs and PVR, did not find a significant difference in anatomic or functional outcomes.14 Of note, face-down positioning with gas and silicone oil tamponades for inferior retinal pathology is the current standard to provide tamponade to these areas.

PFO is a heavier-than-water tamponade typically used intraoperatively as a “third hand” to flatten the retina. It has also been proposed as an effective temporary postoperative tamponade in RRDs with giant retinal tears (GRTs) or multiple scattered breaks. However, its use is controversial because prolonged exposure to PFO greater than even 60 minutes can be toxic to the retina.15

For other retinal pathology, such as macular holes, short-acting gases such as SF6 are increasingly favored, although current literature lacks consensus on which gas is most effective for hole closure.16

AN ILLUSTRATIVE CASE

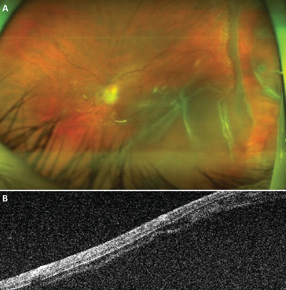
A 50-year-old man with a fovea-involving rhegmatogenous retinal detachment (RRD) with a temporal giant retinal tear (GRT) with grade C proliferative vitreoretinopathy (PVR) presented with a VA of 20/100 (Figure 1). He underwent a combined scleral buckle and 25-gauge vitrectomy with silicone oil 1,000 cSt tamponade.

<p>Figure 1. Widefield fundus imaging of the left eye of our patient demonstrates a temporal GRT spanning from the 12 to 5 clock hours with an associated fovea-involving RRD and a temporal star fold (A). The horizontal raster of a macular OCT showed subretinal fluid involving the macula (B).</p>

Click to view larger

Figure 1. Widefield fundus imaging of the left eye of our patient demonstrates a temporal GRT spanning from the 12 to 5 clock hours with an associated fovea-involving RRD and a temporal star fold (A). The horizontal raster of a macular OCT showed subretinal fluid involving the macula (B).

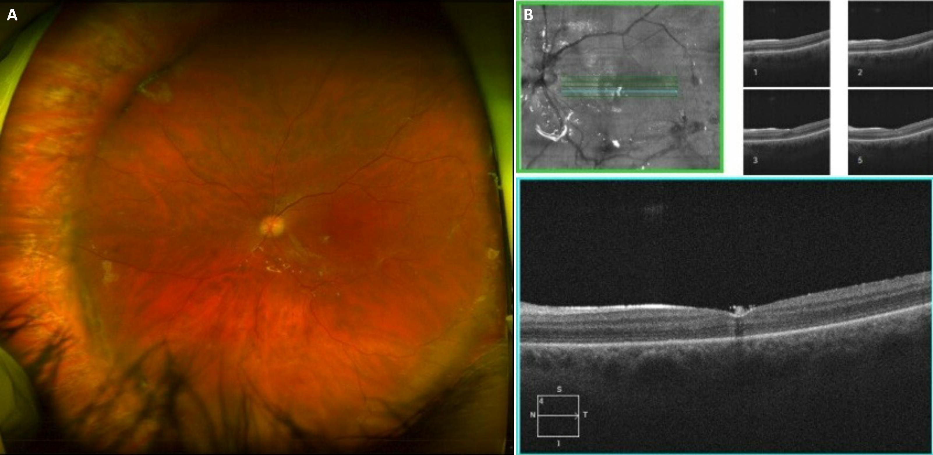
Five months after his initial surgery, he underwent silicone oil removal for mild emulsification. One month later, his retina remained flat, and his VA was 20/150 (Figure 2).

<p>Figure 2. The widefield fundus image of the left eye 6 months after the initial RRD repair surgery and 1 month after silicone oil removal demonstrates a flat retina, laser barricade surrounding the GRT temporally, and an encircling scleral buckle (A). The horizontal raster of a macular OCT shows resolution of subretinal fluid (B).</p>

Click to view larger

Figure 2. The widefield fundus image of the left eye 6 months after the initial RRD repair surgery and 1 month after silicone oil removal demonstrates a flat retina, laser barricade surrounding the GRT temporally, and an encircling scleral buckle (A). The horizontal raster of a macular OCT shows resolution of subretinal fluid (B).

GRTs have typically been managed using silicone oil tamponade.1 One report estimated that more than 80% of GRTs in England were managed with silicone oil tamponade after vitrectomy.2 However, a recent retrospective study of 88 eyes with fresh GRT detachments found that eyes with C3F8 tamponade had significantly better postoperative vision and similar rates of redetachment compared with eyes with oil.3 Notably, this study excluded eyes with trauma or high-grade PVR.

1. Dervenis N, Dervenis P, Sandinha T, Murphy DC, Steel DH. Intraocular tamponade choice with vitrectomy and internal limiting membrane peeling for idiopathic macular hole: a systematic review and meta-analysis. Ophthalmol Retina. 2022;6(6):457-468.

2. Leaver PK, Lean JS. Management of giant retinal tears using vitrectomy and silicone oil/fluid exchange. A preliminary report. Trans Ophthalmol Soc UK (1962). 1981;101(1):189-191.

3. Ang GS, Townend J, Lois N. Epidemiology of giant retinal tears in the United Kingdom: the British Giant Retinal Tear Epidemiology Eye Study (BGEES). Invest Ophthalmol Vis Sci. 2010;51(9):4781-4787.

TAMPONADE RISKS

IOP aberrations are among the most common complications of intraocular tamponades. Gas is more frequently associated with hypotony and silicone oil with ocular hypertension. Development of cataract is common, regardless of the tamponade.6

Retinal slippage occurs more frequently with gas tamponade than silicone oil.17 Preoperative counseling about activity restrictions with gas tamponade is crucial. Specifically, patients with gas bubbles are advised to avoid air travel, scuba diving, and use of nitrous anesthesia (commonly used during dental procedures) due to the risk of rapid gas expansion. A unique, rare complication of gas tamponade is migration of gas into the optic nerve and intracranial spaces.18

<p>Figure. B-scan ultrasound of a patient’s eye after silicone removal surgery demonstrates numerous oil droplets remaining in the vitreous cavity, which evaded removal. Image courtesy of Rusdeep Mundae, MD.</p>

Click to view larger

Figure. B-scan ultrasound of a patient’s eye after silicone removal surgery demonstrates numerous oil droplets remaining in the vitreous cavity, which evaded removal. Image courtesy of Rusdeep Mundae, MD.

Complications unique to silicone oil include emulsification with migration into the subconjunctival space, suprachoroidal space, or anterior chamber. Emulsified oil droplets in the anterior chamber increase the risk of glaucoma, and residual droplets may remain even after attempted surgical removal of silicone oil (Figure). In addition, after oil removal, there is a risk of redetachment or vision loss likely related to silicone oil toxicity.19 Rarely, silicone oil is toxic to retinal ganglion cells either by intraretinal migration of oil or direct contact with cells, causing vision loss and thinning of inner retinal layers.20

1. Vaziri K, Schwartz SG, Kishor KS, Flynn HW Jr. Tamponade in the surgical management of retinal detachment. Clin Ophthalmol. 2016;10:471-476.

2. Neffendorf JE, Gupta B, Williamson TH. The role of intraocular gas tamponade in rhegmatogenous retinal detachment: a synthesis of the literature. Retina. 2018;38(Suppl 1):S65-S72.

3. Houston S III. Get behind the wheel of the Constellation. Retina Today. 2015;10(6):77-80.

4. Caiado RR, Magalhaes O Jr, Badaro E, et al. Effect of lens status in the surgical success of 23-gauge primary vitrectomy for the management of rhegmatogenous retinal detachment: the Pan American Collaborative Retina Study (PACORES) group results. Retina. 2015;35(2):326-333.

5. Tan HS, Oberstein SY, Mura M, Bijl HM. Air versus gas tamponade in retinal detachment surgery. Br J Ophthalmol. 2013;97(1):80-82.

6. Vitrectomy with silicone oil or sulfur hexafluoride gas in eyes with severe proliferative vitreoretinopathy: results of a randomized clinical trial. Silicone Study Report 1. Arch Ophthalmol. 1992;110(6):770-779.

7. Adelman RA, Parnes AJ, Sipperley JO, Ducournau D, European Vitreo-Retinal Society Retinal Detachment Study G. Strategy for the management of complex retinal detachments: the European vitreo-retinal society retinal detachment study report 2. Ophthalmology. 2013;120(9):1809-1813.

8. Vitrectomy with silicone oil or perfluoropropane gas in eyes with severe proliferative vitreoretinopathy: results of a randomized clinical trial. Silicone Study Report 2. Arch Ophthalmol. 1992;110(6):780-792.

9. Mancino R, Ciuffoletti E, Martucci A, et al. Anatomical and functional results of macular hole retinal detachment surgery in patients with high myopia and posterior staphyloma treated with perfluoropropane gas or silicone oil. Retina. 2013;33(3):586-592.

10. Quiram PA, Gonzales CR, Hu W, et al. Outcomes of vitrectomy with inferior retinectomy in patients with recurrent rhegmatogenous retinal detachments and proliferative vitreoretinopathy. Ophthalmology. 2006;113(11):2041-2047.

11. Scott IU, Flynn HW Jr, Murray TG, Smiddy WE, Davis JL, Feuer WJ. Outcomes of complex retinal detachment repair using 1000- vs 5000-centistoke silicone oil. Arch Ophthalmol. 2005;123(4):473-478.

12. Soheilian M, Mazareei M, Mohammadpour M, Rahmani B. Comparison of silicon oil removal with various viscosities after complex retinal detachment surgery. BMC Ophthalmol. 2006;6:21.

13. Rahimy E, Pitcher JD 3rd, Gee CJ, Kreiger AE, Schwartz SD, Hubschman JP. Diabetic tractional retinal detachment repair by vitreoretinal fellows in a county health system. Retina. 2015;35(2):303-309.

14. Joussen AM, Rizzo S, Kirchhof B, et al. Heavy silicone oil versus standard silicone oil in as vitreous tamponade in inferior PVR (HSO Study): interim analysis. Acta Ophthalmol. 2011;89(6):e483-489.

15. Pastor JC, Coco RM, Fernandez-Bueno I, et al. Acute retinal damage after using a toxic perfluoro-octane for vitreo-retinal surgery. Retina. 2017;37(6):1140-1151.

16. Dervenis N, Dervenis P, Sandinha T, Murphy DC, Steel DH. Intraocular tamponade choice with vitrectomy and internal limiting membrane peeling for idiopathic macular hole: a systematic review and meta-analysis. Ophthalmol Retina. 2022;6(6):457-468.

17. Codenotti M, Fogliato G, Iuliano L, et al. Influence of intraocular tamponade on unintentional retinal displacement after vitrectomy for rhegmatogenous retinal detachment. Retina. 2013;33(2):349-355.

18. Harris JM, Han IC, Sachdeva MM, Zhang AY, Zebardast N. Post-operative intracranial gas migration with optic nerve infiltration and atrophy following retinal detachment repair. Am J Ophthalmol Case Rep. 2020;20:100920.

19. Roca JA, Wu L, Berrocal M, et al. Un-explained visual loss following silicone oil removal: results of the Pan American Collaborative Retina Study (PACORES) Group. Int J Retina Vitreous. 2017;3:26.

20. Pichi F, Hay S, Abboud EB. Inner retinal toxicity due to silicone oil: a case series and review of the literature. Int Ophthalmol. 2020;40(9):2413-2422.