Androgenic-anabolic steroids (AAS) can be improperly used to increase muscle mass and thereby boost performance and aesthetics. Although AAS are banned by the World Anti-Doping Agency, their abuse in sports and among fitness enthusiasts remains common, especially among young men.1-4

The goals of testosterone replacement therapy are to treat the symptoms of deficiency, such as reduced appetite in cachexia, low libido and mood, erectile dysfunction, and reduced muscle mass and bone density.5 The abuse of these medications by taking them in doses much higher than recommended represents a severe public health issue because of serious potential short- and long-term side effects, including cardiovascular, metabolic, psychiatric, and kidney disorders, especially in young people.1,4,6

Herein, we report the first known case of retinal vascular occlusion secondary to the abuse of AAS.

A CASE OF UNILATERAL VISION LOSS

A 39-year-old man presented to the ophthalmology service complaining of sudden blurred vision and decreased visual acuity in his right eye over the past 20 days. His BCVA was light perception OD and 20/20 OS. Evaluation of the anterior segment and IOP was normal. After dilation, vitreous opacity in the right eye was noted on fundoscopy, and there was evidence of vitreous hemorrhage (++), preretinal hemorrhage involving the central subfield, and diffuse intraretinal microhemorrhages in the posterior pole and middle periphery. There was an afferent pupillary defect.

Diagnosis

Complementary laboratory tests (ie, antinuclear antibody, antineutrophil cytoplasmic antibodies, erythrocyte sedimentation rate), as well as vertical sleeve gastrectomy and polymerase chain reaction were negative. In addition, total protein and thromboplastin testing was within normal limits, venereal disease research laboratory was nonreactive, and he had a negative carotid doppler. He had no history of associated systemic disease.

Medical history revealed he was a bodybuilder, and he reported using AAS in a supraphysiological dose of 500 mg testosterone cypionate weekly for the past 8 months. He had also increased the dosage to about double his usual amount 24 hours before he experienced the vision loss.

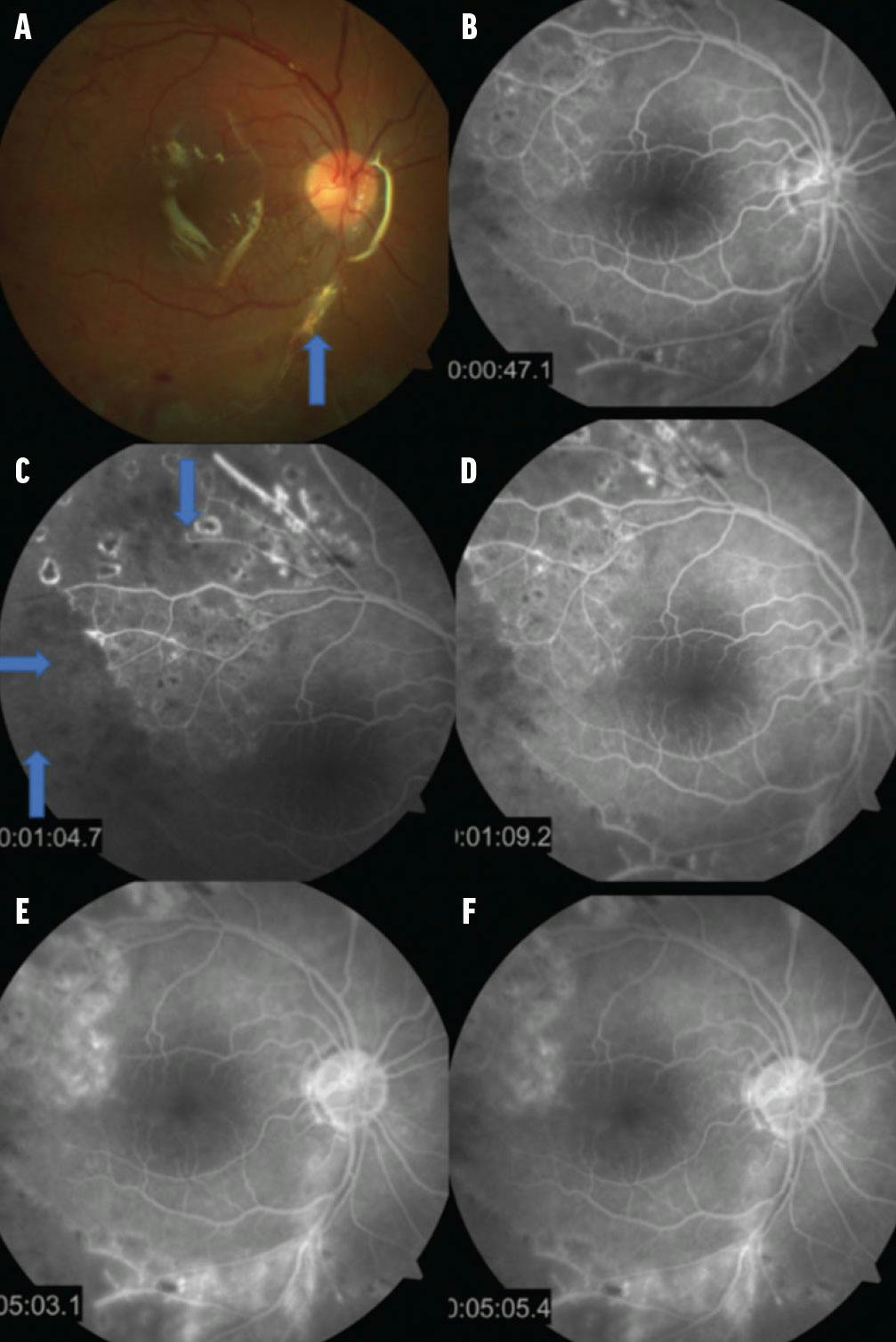
Fluorescein angiography of the right eye demonstrated severe vascular occlusion that was predominantly ischemic with neovascularization and vitreous hemorrhage. These findings prompted a diagnosis of retinal ischemia secondary to mixed vascular occlusion (Figure 1).

<p>Figure 1. Color fundus photographs of the right eye showed vitreous hemorrhage and retinal and preretinal hemorrhage (A, B). Fluorescein angiography of the right eye showed hyperfluorescence due to a peripheral filling defect (C, D). Vascular changes were noted with areas of hyperfluorescence due to staining in the arterial phase and areas of hypoperfusion due to a filling defect toward the late phases of the angiographic study on arcades and in relation to the mixed vascular occlusion (E, F).</p>

Click to view larger

Figure 1. Color fundus photographs of the right eye showed vitreous hemorrhage and retinal and preretinal hemorrhage (A, B). Fluorescein angiography of the right eye showed hyperfluorescence due to a peripheral filling defect (C, D). Vascular changes were noted with areas of hyperfluorescence due to staining in the arterial phase and areas of hypoperfusion due to a filling defect toward the late phases of the angiographic study on arcades and in relation to the mixed vascular occlusion (E, F).

To the OR

A posterior vitrectomy was performed on the right eye with endophotocoagulation and insertion of silicone oil. At the 8-day follow-up, his BVCA had improved to 20/100 OD, and fundoscopy showed an adequate central emergence of the vessels, arteriolar attenuation over the arcades, ghost vessels, laser scars, and silicone in the vitreous cavity (Figure 2). Intravitreal antiangiogenic factor therapy was applied 1 month after the procedure.

<p>Figure 2. In the color fundus image of the right eye at the patient’s follow-up visit 8 days after vitrectomy (A), the optic disc with defined edges, vascular attenuation over the arches, bloodless vessels, and intraretinal hemorrhagic changes were noted in the lower arch. Fluorescein angiography showed hypofluorescence due to a filling defect related to the mixed vascular occlusion (arrows), retinal laser photocoagulation scars on the upper arch, and changes in hyperfluorescence due to vascular staining (B, C). Note the leakage toward the late phases of the angiographic study on the upper and lower arch in relation to possible areas of retinal neovascularization. Changes in hypofluorescence are also seen due to the filling defect in the late phases of the angiographic study of mixed vascular compromise, and changes in hyperfluorescence are due to vascular staining (D-F).</p>

Click to view larger

Figure 2. In the color fundus image of the right eye at the patient’s follow-up visit 8 days after vitrectomy (A), the optic disc with defined edges, vascular attenuation over the arches, bloodless vessels, and intraretinal hemorrhagic changes were noted in the lower arch. Fluorescein angiography showed hypofluorescence due to a filling defect related to the mixed vascular occlusion (arrows), retinal laser photocoagulation scars on the upper arch, and changes in hyperfluorescence due to vascular staining (B, C). Note the leakage toward the late phases of the angiographic study on the upper and lower arch in relation to possible areas of retinal neovascularization. Changes in hypofluorescence are also seen due to the filling defect in the late phases of the angiographic study of mixed vascular compromise, and changes in hyperfluorescence are due to vascular staining (D-F).

POSSIBLE ETIOLOGY

AAS use has increased over the past decade,7 commonly used by professional and Olympic athletes, recreational and high school-level athletes, and noncompetitive bodybuilders. Side effects of anabolic steroids include behavioral alterations, obesity, infertility, osteoporosis, erectile dysfunction, and even renal failure.8 There is also a high rate of hepatotoxicity among AAS users, leading to cirrhosis and cardiovascular disorders.3,6,8

AAS abuse can also lead to a hypercoagulable state by increasing the production of thromboxane A2 and platelet thromboxane A2 receptor density, which causes aggregation and a decrease in the production of prostaglandins.9,10 Moreover, a component of endothelial dysfunction has been proposed that may contribute to abnormal vessel reactivity.9-12

Younger men are involved in AAS abuse twice as frequently as women; however, in the latter group, head injury, hypercholesterolemia with type IIa and type IV lipid-ethanolamine phosphoglyceride patterns, and use of estrogen-containing medication seem to be predisposing factors.13-15 Long-term steroid abuse increases cardiac debit due to increased metabolism, leading to arterial hypertension.3,15,16 Another consequence is alteration in the metabolism of lipoproteins, giving rise to hypercholesterolemia and hypertriglyceridemia.

Our case demonstrates a vascular occlusion secondary to AAS. To our knowledge, there are no prior reports of AAS leading to retinal damage or adverse effects on vision. The etiology of the venous obstruction our patient experienced appears to include three factors: increased blood viscosity, disorder of the vascular walls of the blood vessels, and arterial hypertension (ie, Virchow triad), which compresses the common arteriovenous sheath at the site of an arteriovenous crossing. He fared well postoperatively, regaining his vision within several days after vitrectomy.

THE BOOST ISN’T WORTH THE RISKS

It is essential to maintain a high index of suspicion for AAS-related ocular adverse events and advise affected patients to discontinue the use of such substances immediately.

1. Middlebrook I, Schoener B. Anabolic steroid toxicity. In: StatPearls [Internet]. Treasure Island (FL): StatPearls Publishing; January 2023.

2. Ansari A, Bertalot C, Mathews D, Mathews J. Bilateral occlusive retinal vasculitis associated with primary sclerosing cholangitis. Saudi J Ophthalmol. 2021;34(4):310-312.

3. Albano G, Amico F, Cocimano G, et al. Adverse effects of anabolic-androgenic steroids: a literature review. Healthcare (Basel). 2021;9(1):97.

4. Rhoden E, Morgentaler A. Risks of testosterone-replacement therapy and recommendations for monitoring. N Engl J Med. 2004;350(5):482-492.

5. Barbonetti A, D’Andrea S, Francavilla S. Testosterone replacement therapy. Andrology. 2020;8(6):1551-1566.

6. Tirla A, Vesa C, Cavalu S. Severe cardiac and metabolic pathology induced by steroid abuse in a young individual. Diagnostics (Basel). 2021;11(8):1313.

7. Sagoe D, Molde H, Andreassen C, Torsheim T, Pallesen S. The global epidemiology of anabolic-androgenic steroid use: a meta-analysis and meta-regression analysis. Ann Epidemiol. 2014;24(5):383-398.

8. Handelsman D. Androgen misuse and abuse. Endocr Rev. 2021;42(4):457-501.

9. McGrath M, Wechsler F, Hunyor A, Penny R. Systemic factors contributory to retinal vein occlusion. Arch Intern Med. 1978;138(2):216-220.

10. Ajayi A, Mathur R, Halushka P. Testosterone increases human platelet thromboxane A2 receptor density and aggregation responses. Circulation. 1995;91(11):2742-2747.

11. Esposito M, Licciardello G, Privitera F, et al. Forensic post-mortem investigation in AAS abusers: investigative diagnostic protocol. a systematic review. Diagnostics (Basel). 2021;11(8):1307.

12. Ring C, Pearson T, Sanders M, G Wetherley-Mein. Viscosity and retinal vein thrombosis. Br J Ophthalmol. 1976;60(6):397-410.

13. Damasceno E, Neto A, Damasceno N, Horowitz S, de Moraes Junior H. Branch retinal vein occlusion and anabolic steroids abuse in young bodybuilders. Acta Ophthalmol. 2009;87(5):580-581.

14. Roşca AE, Vlădăreanu A, Mititelu A, et al. Effects of exogenous androgens on platelet activity and their thrombogenic potential in supraphysiological administration: a literature review. J Clin Med. 2021;10(1):147.

15. Stergiopoulos K, Brennan J, Mathews R, Setaro J, Kort S. Anabolic steroids, acute myocardial infarction and polycythemia: a case report and review of the literature. Vasc Health Risk Manag. 2008;4(6):1475-1480.

16. Kushner A, West WP, Suheb MZK, Pillarisetty LS. Virchow triad. In: StatPearls [Internet]. Treasure Island (FL): StatPearls Publishing; January 2023.