Retinopathy of prematurity (ROP) is a major avoidable cause of childhood blindness.1 Early detection of type 1, or aggressive, ROP helps to prevent retinal detachment (RD).2 Cases presenting with stage 4 ROP require surgical intervention in the form of lens-sparing pars plana vitrectomy (LS-PPV). Surgery aims to relieve traction without creating a retinal break or intraoperative bleeding.3,4 Anti-VEGF injection before PPV helps to decrease vascular activity and reduce bleeding.5

Persistent fetal vasculature (PFV) is another disease entity that can cause pediatric RD. The posterior form presents with central anteroposterior tractional RD, and surgical intervention involves the release of traction.6

Cyclitic membranes, a condition that can complicate ruptured globes and threaten long-term vision, are aggressive and can lead to atrophia bulbi. The need for silicone oil or sulfur hexafluoride tamponade has been reported.7

This article highlights three pediatric cases that taught me new ways to approach patients with complications due to ROP and cyclitic membrane.

COMBINED ROP and PFV

The first two cases involve bilateral aggressive ROP combined with PFV with early, aggressive central RDs at the ages of 6 and 8 weeks, respectively. These were the first cases of combined ROP and PFV I’d seen (Figures 1 and 2).

<p>Figure 1. The right (A) and left (B) eye in case 1 showing a combination of ROP and PFV.</p>

Click to view larger

Figure 1. The right (A) and left (B) eye in case 1 showing a combination of ROP and PFV.

<p>Figure 2. The right (A) and left (B) eye in case 2 showing central RDs with extensive neovascularization and PFV.</p>

Click to view larger

Figure 2. The right (A) and left (B) eye in case 2 showing central RDs with extensive neovascularization and PFV.

Both patients received intravitreal anti-VEGF injection to decrease the aggressive vascular activity before surgery, both at the level of the detached retina and within the PFV band. The aim was to perform LS-PPV within 1 to 7 days, but the vascular activity within each patient’s PFV band took a month to regress. Thus, LS-PPV was done 1 month later in both cases.

Core vitrectomy and release of the anteroposterior traction was done in the four eyes (Video 1). In one eye, the membrane encapsulating the retinal fold was also trimmed with scissors into halves without peeling (Video 2). Cohesive viscoelastic was used as an intraocular tamponade to avoid postoperative hypotony and bleeding.

Video 1. Vitrectomy in Eyes With ROP and PFV.


 

Video 2. Retinal Fold Membrane Trimming.


 

Postoperatively, the retina started to flatten and unfold, and the disc and macula could be seen in all four eyes after 3 and 2 months, respectively. Both patients could follow and fixate on objects several months later (Figures 3 and 4).

<p>Figure 3. The right (A) and left (B) eye of the patient in case 1 at baseline versus 1 month post-intravitreal injection and 3 months after LS-PPV.</p>

Click to view larger

Figure 3. The right (A) and left (B) eye of the patient in case 1 at baseline versus 1 month post-intravitreal injection and 3 months after LS-PPV.

<p>Figure 4. The right (A) and left (B) eye of the patient in case 2 preoperatively (insets) versus 2 months after LS-PPV.</p>

Click to view larger

Figure 4. The right (A) and left (B) eye of the patient in case 2 preoperatively (insets) versus 2 months after LS-PPV.

To the best of my knowledge, combined aggressive ROP with PFV has not been mentioned in the literature. I have now seen a total of five cases, three of which were unilateral.

CYCLITIC MEMBRANE

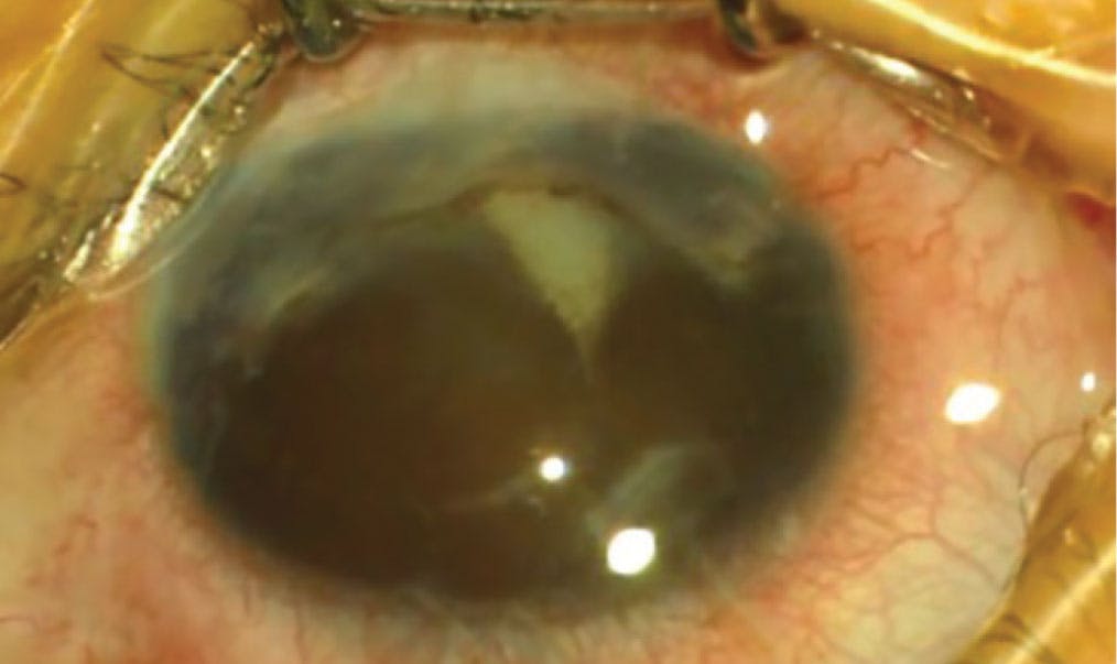
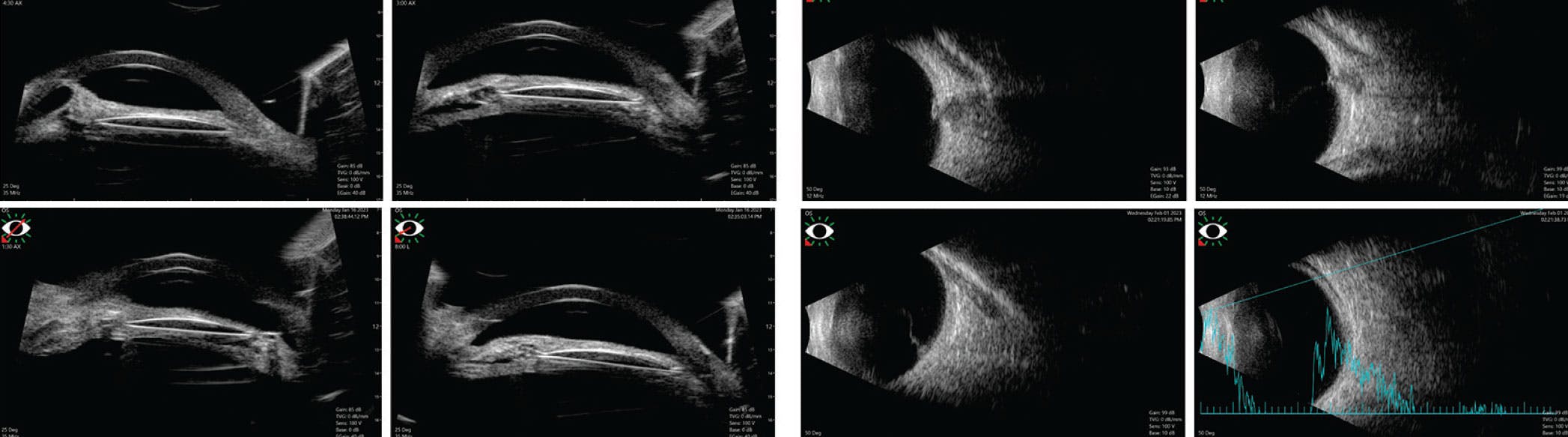
The third case describes a cyclitic membrane complicating open-globe injury. A 2.5-year-old girl with an open-globe injury and an open lens, who underwent primary repair with cataract extraction and IOL implantation, presented with a VA of light perception and the beginning stages of atrophia, with an axial length of 1 mm less in the right eye compared with the left. The patient was using steroid eye drops with slight hypotony. The eye also showed seclusio pupillae (Figure 5). Ultrasound biomicroscopy showed a membrane surrounding the IOL and dragging on the ciliary processes. Stretched iris and ciliary body were seen. B-scan showed a flat retina (Figure 6).

<p>Figure 5. Case 3 presented with a microphthalmia eye with seclusio pupillae.</p>

Click to view larger

Figure 5. Case 3 presented with a microphthalmia eye with seclusio pupillae.

<p>Figure 6. Case 3 ultrasound biomicroscopy shows a cocoon surrounding the IOL and attached to the ciliary processes. B-scan shows the flat retina with minimal traction at the disc.</p>

Click to view larger

Figure 6. Case 3 ultrasound biomicroscopy shows a cocoon surrounding the IOL and attached to the ciliary processes. B-scan shows the flat retina with minimal traction at the disc.

The patient was managed similarly to anterior forms of PFV. Through a limbal approach, the membrane in front of the IOL was found to be connected to the membrane behind it and attached to the ciliary processes. Attempts to remove it in one piece would end with cyclodialysis.

To open the cystic membrane, an opening was created in front of the IOL, followed by IOL explantation. Diathermy was applied to the membrane behind the IOL to cauterize the vessels. A small opening was then created with a microvitreoretinal blade and completed with scissors. The membranes are too tough to cut with a vitrector. The opening was then enlarged until the ciliary processes could be reached. Several radial cuts in the membrane passing between the ciliary processes were made to release the processes and avoid membrane contracture postoperatively.

Posterior segment examination showed the retina to be flat except near the ora serrata, where a cuff of fluid could be seen 360°. No breaks were found. I assumed that the long-standing anterior dragging of the retina by the cyclic membrane was the cause.

Laser barrage was performed central to the detached retina with very low laser power to address any minute breaks or a small dialysis, and to avoid creating breaks. Cohesive viscoelastic was used as an intraocular tamponade, both to stabilize IOP until the ciliary processes started to refunction and to support the retina until the laser barrage formed a scar (Video 3).

Video 3. Cyclitic Membrane Removal and Laser Barrage With Cohesive Viscoelastic.


 

Postoperatively, the tension was well-formed, the eye was returning to its normal size, and the retina was flat (Figure 7). The patient was prescribed aphakic glasses with amblyopia therapy. Two months later, she could catch objects and count fingers, and her eyes looked cosmetically acceptable.

<p>Figure 7. Case 3 anterior-segment OCT and fundus imaging 1 month postoperative shows a flat retina, an open angle, and minimal synechia.</p>

Click to view larger

Figure 7. Case 3 anterior-segment OCT and fundus imaging 1 month postoperative shows a flat retina, an open angle, and minimal synechia.

ALWAYS SOMETHING TO LEARN

Management of pediatric retina cases can be challenging. Previous case reports, like those included here, can be of value when deciding how to best navigate the patient in front of you.

1. Hellström A, Smith LEH, Dammann O. Retinopathy of prematurity. Lancet. 2013;382(9902):1445-1457.

2. Fierson WM. Screening examination of premature infants for retinopathy of prematurity. Pediatrics. 2018;142(6):e20183061.

3. Shah PK, Narendran  V, Kalpana N, Tawansy KA. Anatomical and visual outcome of stages 4 and 5 retinopathy of prematurity. Eye (Lond). 2009;23(1):176-180.

4. Sen P, Bhende P, Sharma T, et al. Surgical outcomes of microincision vitrectomy surgery in eyes with retinal detachment secondary to retinopathy of prematurity in Indian population. Indian J Ophthalmol. 2019;67(6):889-895.

5. Xu Y, Yang Q, Kang X, et al. Early vitreoretinal surgery on vascularly active stage 4 retinopathy of prematurity through the preoperative intravitreal bevacizumab injection. Acta Ophthalmol. 2013;91(4):e304-e310.

6. Shaikh S, Trese MT. Lens-sparing vitrectomy in predominantly posterior persistent fetal vasculature syndrome in eyes with nonaxial lens opacification. Retina. 2003;23(3):330-334.

7. Banaee T, Ahmadieh H, Abrishami M, Moosavi M. Removal of traumatic cyclitic membranes: surgical technique and results. Graefes Arch Clin Exp Ophthalmol. 2007;245(3):443-447.