Retinal vasoproliferative tumors (RVPT) are benign, vascularized peripheral retinal lesions that may occur incidentally or in association with inflammatory or ischemic processes.1-3 Smaller, asymptomatic RVPT can be observed,2 but larger lesions, particularly those causing exudative or tractional retinal detachment (TRD), macular edema, vitreous hemorrhage, or epiretinal membranes (ERM), may require treatment for the best results.3-5

Management options include cryotherapy, laser photocoagulation, brachytherapy, or pars plana vitrectomy (PPV) and surgical resection of the tumor for those with vision-threatening sequelae.6 While most of the literature supports starting with conservative management, there is a growing body of data showing that surgical intervention is safe and effective for these patients.

Here, we review the surgical approaches to RVPT associated with TRD and ERM, discuss current techniques, and provide insights from a recent case.7

THE CASE

A 71-year-old woman with RVPT presented with a VA of counting fingers and an extensive ERM that resulted in a TRD of most of the inferior posterior pole (Figure 1).7 We elected to perform cataract surgery in combination with PPV to enhance visualization of the retina, avoid maneuvering around the phakic eye, and improve access to the peripheral retina and vitreous base.8

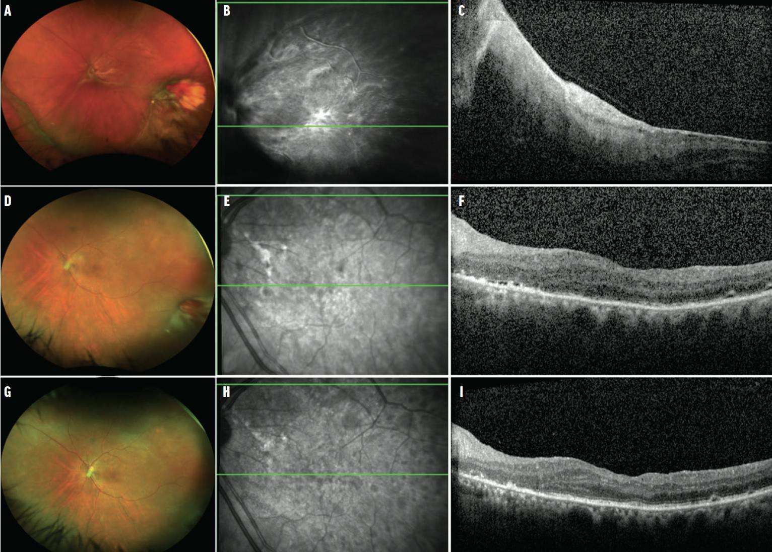
<p>Figure 1. Preoperative fundus photography and spectral-domain OCT imaging show an inferotemporal RVPT (A) with ERM and TRD (B, C). One month postoperatively, there is regression of the RVPT (D) and flattening of the retina on OCT (E, F). At 3 months postoperatively, the fundus photograph (G) captures the edge of the regressed RVPT, and the retina remains flat (H, I).</p>

Click to view larger

Figure 1. Preoperative fundus photography and spectral-domain OCT imaging show an inferotemporal RVPT (A) with ERM and TRD (B, C). One month postoperatively, there is regression of the RVPT (D) and flattening of the retina on OCT (E, F). At 3 months postoperatively, the fundus photograph (G) captures the edge of the regressed RVPT, and the retina remains flat (H, I).

Microcannula placement is an important consideration, and we opted to place the infusion microcannula inferonasally to avoid the inferotemporal lesion and improve access to it intraoperatively.7 We began with anterior-posterior segmentation of the vitreous. After we isolated the posterior pole, we initiated the ERM peel. We prefer to use (and recommend) a bent 25-gauge needle, as it allows for the creation of an entry point in the overlying membrane without disturbing the underlying retinal tissue.

We removed the ERM, which extended further into the midperiphery than we had initially anticipated. Due to the integration of the ERM into the retina around the optic nerve, we trimmed the membrane rather than remove it completely, as this would not have facilitated our efforts to eliminate retinal traction and most likely would have led to unnecessary retinal tissue loss (Figure 2).

<p>Figure 2. Intraoperatively, the surgeon performed anterior-posterior segmentation of the stiffened hyaloid and peeled the thick ERM (A-C). After the ERM was peeled, the surgeon segmented (D) and trimmed the membrane at the optic nerve (E). The lesion itself was treated with endophotocoagulation alone (F).</p>

Click to view larger

Figure 2. Intraoperatively, the surgeon performed anterior-posterior segmentation of the stiffened hyaloid and peeled the thick ERM (A-C). After the ERM was peeled, the surgeon segmented (D) and trimmed the membrane at the optic nerve (E). The lesion itself was treated with endophotocoagulation alone (F).

Several papers report limited benefit of aggressive membrane peeling not only from a macroscopic perspective (eg, retinal tears or detachment),9 but also on a microscopic level. For instance, Ehlers et al noted both focal inner retinal swelling and inner retinal thinning in the acute postoperative period following the internal limiting membrane (ILM) peel associated with instrument-tissue interaction;10 however, the functional implications of these architectural changes remain unclear. We stained the ILM with ICG and peeled it up to the arcades to reduce the risk of postoperative ERM recurrence.11

On scleral depression, we also noted a localized retinoschisis cavity surrounding the RVPT without outer retinal breaks. We decided not to drain the cavity, regarding this as uncomplicated retinoschisis with a low risk for progression.12 We performed a fluid-air exchange to help with wound closure and to provide a tamponade for subretinal fluid displacement.13,14 We advised the patient to position herself temporal side down for an hour and face down for 3 days.

Lastly, we used endophotocoagulation to ablate the tumor.6 Postoperatively, the patient’s VA improved to 20/100 at 3 months, refracted to 20/60, and the retina remained flat and without ERM recurrence.

DISCUSSION

Although asymptomatic RVPT can be observed, any visually significant sequelae must be addressed promptly, particularly macula-involving TRD. Our patient presented after several years lost to follow-up, during which her TRD had markedly progressed. At the time of surgery, our primary goal was macular reattachment by reducing traction, which was achievable without tumor resection.

There are several approaches to tractional elements in these cases, which may differ between patients. Case reports of RVPT and associated ERM, retinal detachment, or vitreous hemorrhage have described successful PPV with scleral buckles;2 however, we decided against buckling because there were no outer retinal breaks seen on scleral depression, and the main cause of the TRD was deemed to be overlying traction from the ERM, which we planned to remove.

There have also been reports of RVPT occurring in a patient with X-linked uveitic retinoschisis,15 which our patient did not have. We believe that the unusual adherence of the tissue planes and the resulting ERM may have contributed to the schisis cavity itself, which, along with the absence of outer retinal breaks, deterred us from approaching the schisis as a surgical problem. Additionally, while spontaneous release of ERM associated with RVPT has been reported after laser photocoagulation and cryotherapy,16 we did not think this would occur in our case, given the adherence and density of the ERM.

One case series had worse visual outcomes after RVPT excision,2 while another series report better long-term visual acuity in those who underwent tumor resection during PPV.17 Ultimately, whether these lesions warrant resection should be left to the surgeon’s judgement of how contributory they are to the overall pathology and the potential risks to the patient.18

SURGICAL SUCCESS

Our case contributes to the growing body of literature reporting favorable outcomes following PPV for the treatment of symptomatic RVPT. As has been reported elsewhere,2 our case also suggests that patients who are managed conservatively may eventually require surgery due to vision-threatening sequelae. Vitrectomy in patients with RVPT can be safe and effective, but may require creative surgical approaches to address the many components of this complex entity.5,7

1. Rennie IG. Retinal vasoproliferative tumours. Eye (Lond). 2010;24(3):468-471.

2. Mares V, Veloso CE, Pulido JS, Nehemy MB. Surgical outcomes of vasoproliferative retinal tumors’ refractory to noninvasive therapies. Retina. 2022;42(9):1772-1779.

3. Honavar SG. Retinal vasoproliferative tumor — a proposal for classification. Indian J Ophthalmol. 2018;66(2):185-186.

4. Shields CL, Shields JA, Barrett J, De Potter P. Vasoproliferative tumors of the ocular fundus. Classification and clinical manifestations in 103 patients. Arch Ophthalmol. 1995;113(5):615-623.

5. Zhang W, Qiang Z, Song H, et al. Management of vasoproliferative tumors of the retina with macular complications by pars plana vitrectomy combined with episcleral cryotherapy. J Ophthalmol. 2021;2021:6667755.

6. Abreu-Arbaje NA, Cruz-Pimentel M. Treating retinal vasoproliferative tumor. Retina Today. 2023;18(8):24-27.

7. Adeghate JO, Goldburg SR, Marr B, Sheyman A, Winokur J, Kaden TR. Repair of a tractional retinal detachment in the setting of an idiopathic vasoproliferative tumor. Ophthalmic Surg Lasers Imaging Retina. 2023;54(8):485-488.

8. Awidi AA, Mathews PM, Shekhawat N, Woreta FA, Srikumaran D, Daoud YJ. Comparison of simultaneous vs sequential pars plana vitrectomy and cataract surgery. BMC Ophthalmol. 2023;23(1):74.

9. Donati G, Kapetanios AD, Pournaras CJ. Complications of surgery for epiretinal membranes. Graefes Arch Clin Exp Ophthalmol. 1998;236(10):739-746.

10. Ehlers JP, Han J, Petkovsek D, Kaiser PK, Singh RP, Srivastava SK. Membrane peeling-induced retinal alterations on intraoperative OCT in vitreomacular interface disorders from the PIONEER study. Invest Ophthalmol Vis Sci. 2015;56(12):7324-7330.

11. Kwok A, Lai TY, Yuen KS. Epiretinal membrane surgery with or without internal limiting membrane peeling. Clin Exp Ophthalmol. 2005;33(4):379-385.

12. Ness S, Subramanian ML, Chen X, Siegel NH. Diagnosis and management of degenerative retinoschisis and related complications. Surv Ophthalmol. 2022;67(4):892-907.

13. Mohamed S, Claes C, Tsang CW. Review of small gauge vitrectomy: progress and innovations. J Ophthalmol. 2017;2017:6285869.

14. Zhang Y, Li X, Pan G, Tian Z, Liu S, Yuan J. Efficacy of PPV combined with air tamponade for treatment of inferior retinal breaks. J Ophthalmol. 2021;2021:9597584.

15. Patel NA, Laura D, Tran KD, Chang S, Barile G, Berrocal AM. Retinal vasproliferative tumor in a case of X-linked retinoschisis detachment. Am J Ophthalmol Case Rep. 2018;9:48-50.

16. Ding X, Guo J, Xu G, Liu W. Photocoagulation-associated spontaneous release of epiretinal membrane secondary to retinal vascular tumor: case series of 8 cases. Lasers Med Sci. 2022;37(2):1041-1048.

17. Zheng B, Chen Y, Chen L, et al. Comparative study on the efficacy and safety of tumor resection in vitrectomy for retinal vasoproliferative tumors. J Ophthalmol. 2019;2019:7464123.

18. Jong JLZ, Jawaheer L, Spiteri-Cornish K, Chawla A. Surgical outcomes of pars plana vitrectomy for intraocular complications related to vasoproliferative tumor of the retina. Retina. 2023;43(11):1980-1987.