AT A GLANCE

  • A patient’s sexual activity can be clinically relevant when it comes to sexually transmitted diseases, hormone replacement therapy, or sildenafil citrate (Viagra, Pfizer) use.
  • Case reports of retinal manifestations related to hormone replacement therapy have emerged, linking the treatment with branch retinal vein occlusion, idiopathic intracranial hypertension, central serous chorioretinopathy, and optic neuropathy.
  • If a patient doesn’t fit the typical demographic for their retinal findings, clinicians must revisit the review of systems and ask challenging questions.
  • Sildenafil citrate, a common medication to treat erectile dysfunction, can lead to retinal toxicity at high doses.

Retina specialists are keenly aware that systemic therapies and certain lifestyle choices can have ocular complications. But the same can’t be said for patients. Many might omit certain medications from the intake form or fail to mention relevant experiences during the appointment—particularly when it has to do with gender identity or sexual preferences.

However, a patient’s sexual activity can be relevant in an ophthalmic setting. Sexually transmitted diseases (STDs) can land a patient in the retina clinic with choroidal lesions, retinal hemorrhages, various forms of retinopathy, and retinal pigment epithelium atrophy, to name only a few.1-5

In addition, recent case reports of retinal manifestations related to hormone replacement therapy have emerged, linking the treatment with branch retinal vein occlusion, idiopathic intracranial hypertension, central serous chorioretinopathy (CSC), and optic neuropathy.6,7 While the authors were unable to prove a cause-and-effect association, they emphasized the importance of awareness in patients undergoing this therapy.7 Even excessive use of medications to treat erectile dysfunction can have long-lasting ocular effects.8,9

If a patient doesn’t fit the typical demographic for their retinal findings, clinicians must ask challenging questions. Doing so might reveal an STD or systemic therapy for hormone imbalance, menopause, or gender-affirming care. Here, clinicians share three cases for which a patient’s sexual history was the key to an appropriate diagnosis.


CASE NO. 1: DONUT VISION

By Camiel J. F. Boon, MD, PhD, FEBO

A 30-year-old man presented to an ophthalmologist with marked visual disturbances. When he woke up that morning, he felt as if he were looking through a gray donut with poor central vision related to a blueish discoloration. He also noted reduced vision and tunnel vision when reading.

He was sent to my clinic the next day, with a referral note listing his BCVA as 25/20 OU with a central roundish lesion seen in the macula with no cells. The patient’s systemic history was remarkable for childhood leukemia, for which he had been treated with chemotherapy.

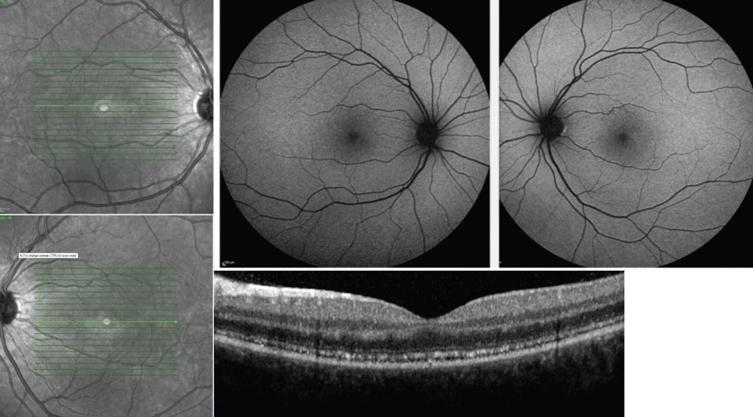
Fundus autofluorescence imaging was normal, but OCT imaging showed a granular irregularity of the ellipsoid zone (Figure 1). The full-field ERG was normal with amplitudes within normal range in each eye. Color vision was near normal with no discernable pattern, and his visual fields showed a pericentral ring scotoma.

<p>Figure 1. Although the patient’s fundus autofluorescence imaging was normal, a granular irregularity to the ellipsoid zone was noted on OCT imaging.</p>

Click to view larger

Figure 1. Although the patient’s fundus autofluorescence imaging was normal, a granular irregularity to the ellipsoid zone was noted on OCT imaging.

With little to go on for a diagnosis, I revisited the patient’s social history. He admitted that the night before his symptoms arose, he had consumed several glasses of wine and had taken approximately 20 pills of 100 mg sildenafil citrate (Viagra, Pfizer).

The patient’s symptoms improved gradually over several months of follow-up. At 2 months, the donut-shaped scotoma had resolved, and by 5 months, the patient said his photophobia had dissipated but that he still had issues with adaptation to changes in light. The OCT scan still showed some residual granular irregularity of the ellipsoid layer.

Discussion

Sildenafil citrate, a common medication to treat erectile dysfunction, can lead to retinal toxicity at high doses.8-10 Sildenafil is a phosphodiesterase type 5 inhibitor, which increases cyclic guanosine monophosphate, leading to an increase in photocurrent duration and light sensitivity.11 Similar to the patient discussed here, another case report by Yanoga et al found cone photoreceptor damage, demonstrated by ERG, OCT, and adaptive optics imaging, in a 31-year-old man with a history of taking a high dose of liquid sildenafil citrate.9

A careful patient history helped elucidate this patient’s underlying condition, and his visual symptoms slowly resolved with long-term follow-up.

Acknowledgement: The author would like to thank Paulien Huis in ‘t Veld, MD, for her help with the case.


CASE NO. 2: LIGHTNING BOLTS AND LESIONS

By Shravan V. Savant, MD, and Justin D. Pennington, MD

A 41-year-old man presented with a 4-day history of scintillations and “lightning bolt” photopsia in each eye. On review of systems, the patient had a history of abdominal pain, transaminitis, and a macular rash along his chest and abdomen 3 months prior to presentation.

His VA was 20/20 OU with IOP of 13 mm Hg OD and 10 mm Hg OS. There was no afferent pupillary defect, and the anterior segment was unremarkable. The dilated fundus examination revealed +1 vitreous cell and diffuse punctate white retinal lesions in each eye. Retinal imaging showed diffuse punctate hyperfluorescent lesions throughout the macula and midperiphery (Figure 2).

<p>Figure 2. On dilated fundus examination, there was +1 vitreous cell and diffuse punctate white retinal lesions in each eye (A, B). Fluorescein angiography (C, D) and fundus autofluorescence imaging (E, F) revealed diffuse punctate hyperfluorescent lesions throughout the macula and midperiphery of each eye.</p>

Click to view larger

Figure 2. On dilated fundus examination, there was +1 vitreous cell and diffuse punctate white retinal lesions in each eye (A, B). Fluorescein angiography (C, D) and fundus autofluorescence imaging (E, F) revealed diffuse punctate hyperfluorescent lesions throughout the macula and midperiphery of each eye.

Comprehensive infectious and inflammatory lab testing and screening was performed. Syphilis serology (ie, fluorescent treponemal antibody [FTA] and rapid plasma regain [RPR] titer) was positive, indicating active syphilis infection. The patient was diagnosed with syphilitic posterior uveitis with retinitis and was referred to our infectious disease department. He received intravenous penicillin for 10 days and noted resolution of his visual symptoms.

Discussion

We postulate this patient had an early and mild presentation of acute posterior placoid chorioretinopathy because the lesions had not yet coalesced into true characteristic plaques. Rather, it presented as a pseudo-white dot syndrome, consistent with syphilis being one of the “great masqueraders.”

Syphilis classically progresses through three stages: primary, secondary, and tertiary. The primary stage has a painless lesion or chancre at the site of infection. The infection can then disseminate and present as a secondary maculopapular rash within 1 to 3 months, followed by the tertiary stage. The tertiary stage presents over a wide timeline and includes granulomatous lesions, cardiac symptoms, and neurologic complications, including ocular inflammation. The current diagnostic workflow prioritizes the specific treponemal assays (ie, FTA) for a formal diagnosis and RPR as a secondary confirmatory test and an indicator of disease activity.12,13


CASE NO. 3: BLAST FROM THE PAST

By Sruthi Arepalli, MD

A 51-year-old man presented for a second opinion regarding his decreased vision and bilateral central scotomas. He stated that he was diagnosed with CSC at another office. VA was 20/100 OU, and the anterior segment examination was unremarkable. Posterior examination of the right eye showed an area temporal to the macula with subretinal fluid, which appeared hyperautofluorescent on autofluorescence. (Figure 3). OCT of the macula showed slight changes in the ellipsoid zone in each eye. Fundus examination showed temporal optic nerve pallor in each eye (Figure 4).

<p>Figure 3. The subretinal fluid temporal to the macula appeared hyperautofluorescent on fundus autofluorescence.</p>

Click to view larger

Figure 3. The subretinal fluid temporal to the macula appeared hyperautofluorescent on fundus autofluorescence.

<p>Figure 4. The temporal optic nerve pallor, seen here in the right eye, was also present in the left eye.</p>

Click to view larger

Figure 4. The temporal optic nerve pallor, seen here in the right eye, was also present in the left eye.

Given the eccentric location of the CSC and relatively preserved ellipsoid zone in each eye, I suspected that the decreased vision was not secondary to the macular changes. With the combination of ellipsoid zone changes and optic nerve pallor, I entertained the diagnosis of syphilis and asked the patient about high-risk sexual behaviors. The patient endorsed a history of unprotected intercourse while traveling abroad years ago. Subsequently, a brain MRI showed a right parietooccipital arachnoid cyst, which was not felt to explain the disc pallor. An MRI of the orbits showed bilateral optic atrophy without acute pathology. Lab work showed normal B1 and B12 vitamin levels, methylmalonic acid, folate, and homocysteine levels. However, syphilis IgM/IgG was positive, and RPR levels were elevated.

The patient was sent to infectious disease and treated with intravenous penicillin; however, his vision did not improve given the optic atrophy.

Ultimately, while the patient did have signs of CSC, a careful investigation into his high-risk exposures and lab work revealed a history of untreated neuro-syphilis.

ASK THE RIGHT QUESTIONS

As uncomfortable as it may be, clinicians must take a thorough patient history, including a social history, to uncover potential underlying causes of retinal complications and related systemic symptoms. Hormone replacement therapy, erectile dysfunction treatment, and sexual activity might not feel relevant to a patient seeking eye care, but retina specialists know otherwise.

1. Majumder PD, Chen EJ, Shah J, et al. Ocular syphilis: an update. Ocul Immunol Inflamm. 2017;27(1):117-125.

2. Sudharshan S, Menia NK, Selvamuthu P, Tyagi M, Kumarasamy N, Biswas J. Ocular syphilis in patients with human immunodeficiency virus/acquired immunodeficiency syndrome in the era of highly active antiretroviral therapy. Indian J Ophthalmol. 2020;68(9):1897-1893.

3. Feroze KB, Gulick PG. HIV Retinopathy. In: StatPearls [Internet]. StatPearls Publishing; 2024. Updated July 17, 2023.

4. Bagga B, Kate A, Joseph J, Dave VP. Herpes simplex infection of the eye: an introduction. Community Eye Health. 2020;33(108):68-70.

5. Cruz GP, Fonseca C, Oliveira J, Saraiva da Cunha J. Acute retinal necrosis by herpes simplex virus type 1: an unusual presentation of a primary infection. BMJ Case Rep. 2019;12(12):e232566.

6. Andzembe V, Miere A, Zambrowski O, Glacet-Bernard A, Souied EH. Branch retinal vein occlusion secondary to hormone replacement therapy in a transgender woman. J Fr Ophtalmol. 2023;46(2):148-151.

7. Nieves-Ríos C, Pulido JS, Thornton S, et al. Instances of ocular findings in transgender patients undergoing hormonal therapy. Am J Ophthalmol Case Rep. 2023;32:101965.

8. Yan H, Yu W. Retinal toxicity of long term overdose of sildenafil citrate: A case report. Am J Ophthalmol Case Rep. 2022;29:101761.

9. Yanoga F, Gentile RC, Chui TYP, et al. Sildenafil citrate induced retinal toxicity-electroretinogram, optical coherence tomography, and adaptive optics findings. Retin Cases Brief Rep. 2018;12(Suppl 1):S33-S40.

10. Miura G, Baba T, Hashimoto R, Yamamoto S. Long-term follow-up of retinal morphology and physiology after 2000 mg sildenafil overdose as a means of attempted suicide: a case report. BMC Ophthalmol. 2022;22:216.

11. Cobbs WH, Barkdoll AE 3rd, Pugh EN Jr. Cyclic GMP increases photocurrent and light sensitivity of retinal cones. Nature. 1985;317(6032):64-6.

12. Azar G, Wolff B, Azam S, Mauget-Faÿsse M. Acute syphilitic posterior placoid chorioretinopathy presenting as atypical multiple evanescent white dot syndrome. Eur J Ophthalmol. 2021;31(2):NP141-NP144. Correction in: Eur J Ophthalmol. 2020;1120672120968426.

13. Furtado JM, Simões M, Vasconcelos-Santos D, et al. Ocular syphilis. Surv Ophthalmol. 2022;67(2):440-462.