Scleral buckling is the oldest surgical technique for rhegmatogenous retinal detachment (RRD) repair still in use today.1 Over the last 80 years, a variety of different approaches and materials have been used. MIRAgel (Mira), a hydrogel scleral buckle commonly used in the 1980s, was lauded for its pliability and expansile nature, which enhanced its buckling effect.2 However, its propensity to expand indefinitely led to serious complications up to decades later, resulting in frequent explantation and widespread cessation of its clinical use.3-5

Here, we review the case of a late-emerging complication of scleral-choroidal rupture from a MIRAgel buckle 17 years after its reported removal. The experience emphasizes the critical role of ocular ultrasound in diagnosis and the importance of obtaining a comprehensive surgical history.

CASE PRESENTATION

A 52-year-old man presented for hypotony and concern for an RRD in the left eye. The patient was complaining of sudden loss of vision starting 2 weeks prior. His surgical history was notable for open-globe repair 39 years prior (inferior corneal laceration involving the ciliary body), subsequent traumatic RRD repair with primary scleral buckle 38 years prior, and scleral buckle removal for scleral buckle extrusion and infection 17 years prior.

On presentation, his VA was light perception in the affected eye with an IOP of 2 mm Hg. Anterior examination revealed extensive band keratopathy and inferior corneal scarring without a view posteriorly. Thus, B-scan ultrasound of the nasal quadrant was performed.

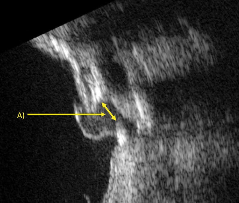
The differential diagnoses for hypotony in this setting are early stages of phthisis bulbi, RRD, and open globe/scleral rupture. Careful and meticulous analysis of the B-scan findings revealed a shortened globe with a discontinuity in the sclera and choroid in the post-equatorial nasal quadrant, concerning for a scleral-choroidal rupture (Figure 1). However, the etiology of the rupture remained unclear, as the patient denied any recent trauma and his scleral buckle removal was 17 years prior.

<p>Figure 1. B-scan ultrasound of the post-equatorial nasal quadrant shows a scleral rupture.</p>

Click to view larger

Figure 1. B-scan ultrasound of the post-equatorial nasal quadrant shows a scleral rupture.

Several critical elements contributed to reaching the correct diagnosis: the specifics of the initial surgical material, the operative technique employed, and subsequent reinterpretation of the B-scan ultrasound.

SURGICAL MATERIAL

Surgical history revealed the initial scleral buckle material was MIRAgel. First introduced in 1979, MIRAgel buckles were hailed as an innovative option for several reasons: They were soft, pliable, and hydrophilic, allowing them to absorb antibiotics and potentially decrease infection.4 In addition, the hydrophilic properties permitted postoperative expansion, enhancing the buckling effect. This expansion was initially believed to be within a predictable range based on the polymer’s properties.6 However, it was later found that this implant can undergo hydrolytic degradation, which results in increased expansion of the material. This led to frequent cases of eye pain, strabismus, infection, extrusion, scleral erosion, and scleral rupture.1-8 In the largest series to date, up to 34% of patients with a MIRAgel buckle required explantation.3 After numerous reports of complications, in 1996 Mira changed the composition of the buckle.2

Our patient underwent explantation due to buckle exposure and infection 21 years after his initial surgery, and 17 years prior to presentation. Explantation of a MIRAgel buckle is notoriously difficult due to the friable nature of the hydrolyzed material and can result in fragmentation.3 In addition, numerous cases of intraoperative scleral rupture during removal have been reported.4

We reviewed the prior operative report, which mentioned removal of the implant but not fragmentation of the explant or scleral rupture. In addition, the patient’s IOP after removal remained within normal limits with routine examination findings not concerning for scleral rupture.

Nonetheless, we suspect that residual MIRAgel material remained undetected post-explantation due to fragmentation during removal. In addition, the initial scleral buckle technique employed likely involved scleral flaps, complicating the identification of such remnants.

SURGICAL TECHNIQUE

Because the patient underwent surgery in the 1980s by one of the nation’s pioneering surgeons in scleral buckling, it is highly likely that the original procedure included the creation of scleral flaps. This technique is described in the 1957 seminal work of Charles Schepens, MD.9 In short, the sclera is reflected back through lamellar scleral dissection until a thin layer of gray sclera remains over the targeted breaks. Diathermy is placed over the thin bed of sclera to form chorioretinal adhesions. The buckle is placed on the bed, and the scleral flaps are sutured over top.

This technique would make complete removal of the MIRAgel buckle challenging, as pieces may be deeply embedded in the sclera. In addition, there is an incredibly thin scleral bed underlying the expanding MIRAgel. Both of these factors leave the patient with a high risk for intrusion and penetration. There have been case reports of intraocular penetration of MIRAgel buckles in eyes without scleral flaps; however, these eyes had complete buckles remaining and did not undergo prior attempted removal with subsequent penetration years later.8 As such, we believe the initial placement technique, involving scleral flaps, resulted in vulnerability of the scleral bed as well as undetected MIRAgel fragments, leading to penetration by the expanding MIRAgel material. These findings were further demonstrated on ultrasound imaging.

ULTRASONOGRAPHY

The interpretation of ocular ultrasound is not always straightforward and requires clinical context. In our patient, the complex surgical history of scleral flaps and MIRAgel buckle implantation aided in our analysis. The B-scan revealed residual MIRAgel material, as hydrogels are hydrophilic and absorb water and thus are hypoechoic on ultrasound (Figure 2A). There are several areas of likely calcified sclera or MIRAgel material (Figure 2B and E), as these buckles are known to calcify over time.10,11 Ultrasound also showed a full-thickness break in the sclera with an absent choroid (Figure 2C) and a detached retina (Figure 2D). Interestingly, the retina protruded outward rather than toward the scleral rupture, likely due to stabilized extraocular pressure and IOP.

<p>Figure 2. B-scan ultrasound demonstrates likely residual MIRAgel implant (A), probable calcification of the sclera or buckle (B), a scleral rupture (C), a detached retina (D), and probable calcification of the scleral flap or buckle (E).</p>

Click to view larger

Figure 2. B-scan ultrasound demonstrates likely residual MIRAgel implant (A), probable calcification of the sclera or buckle (B), a scleral rupture (C), a detached retina (D), and probable calcification of the scleral flap or buckle (E).

MANAGEMENT

Given the poor visual potential of the eye—the patient had a long-standing VA of counting fingers—and the presence of a contralateral well-seeing eye, the decision was made to observe. A discussion was had regarding the need for possible enucleation versus evisceration in the future.

BREAKDOWN

In this case, we examined the rare occurrence of scleral rupture by a MIRAgel buckle nearly 4 decades postoperative. The original use of scleral flaps likely complicated the buckle’s already difficult removal, leaving behind large fragments and a delicate scleral bed prone to later complications. B-scan ultrasound proved crucial for detecting this complication, underscoring the value of honed ultrasonography skills. With the discontinuation of MIRAgel buckles in the 1990s, such cases will dwindle in the following decades, yet they still serve as a stark reminder of the lasting effects of historical surgical practices.

1. Wang A, Snead MP. Scleral buckling—a brief historical overview and current indications. Graefes Arch Clin Exp Ophthalmol. 2020;258(3):467-478.

2. Thompson JT, Chambers WA. Good ideas gone bad: the MIRAgel saga. Ophthalmology. 2016;123(1):5-6.

3. Crama N, Klevering BJ. The removal of hydrogel explants: an analysis of 467 consecutive cases. Ophthalmology. 2016;123(1):32-38.

4. Roh M, Lee NG, Miller JB. Complications associated with MIRAgel for treatment of retinal detachment. Semin Ophthalmol. 2018;33(1):89-94.

5. Marin JF, Tolentino FI, Refojo MF, Schepens CL. Long-term complications of the MAI Hydrogel intrascleral buckling implant. Arch Ophthalmol. 1992;110(1):86-88.

6. Ho PC, Chan IM, Refojo MF, Tolentino FI. The MAI hydrophilic implant for scleral buckling: a review. Ophthalmic Surg. 1984;15(6):511-515.

7. MIRAgel sponge MIRAgel 9096. MAUDE adverse event report. FDA Reports. Accessed April 9, 2024. fda.report/MAUDE/MDR/208913

8. Rubinstein TJ, Choudhary MM, Modi YS, Ehlers JP, Perry JD. Globe loss from intraocular invasion of miragel scleral buckle components. Ophthalmic Plast Reconstr Surg. 2016;32(5):329-332.

9. Schepens CL, Okamura I, Brockhurst R. The scleral buckling procedures: 1. surgical techniques and management. AMA Arch Ophthalmol. 1957;58(6):797-811.

10. Anderson HC. Mechanisms of pathologic calcification. Rheum Dis Clin North Am. 1988;14(2):303-319.

11. Lai YC, Mirani NM, Langer PD, Bhagat N. Infiltration of hydrogel implant into the sclera with calcification: a case report with histologic findings. Can J Ophthalmol. 2016;51(6):e187-e189.