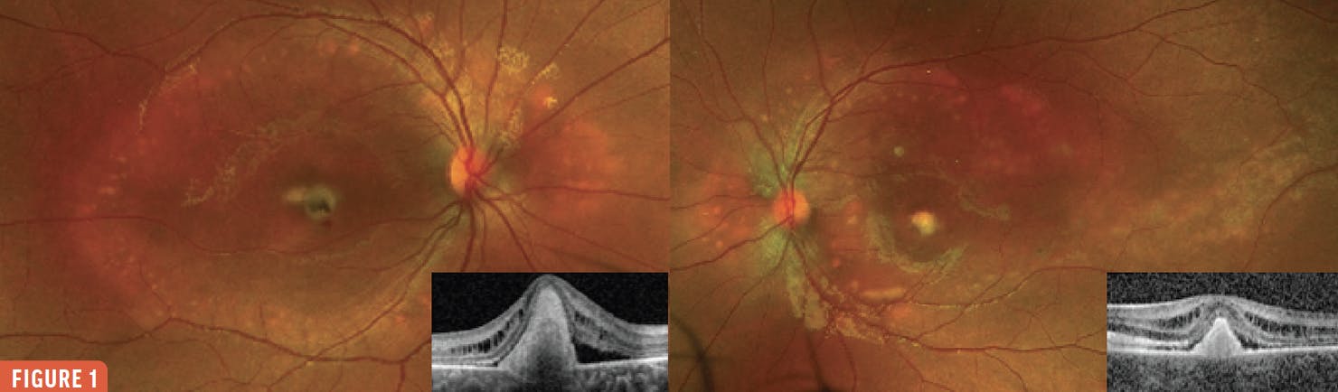
A 6-year-old boy with a positive family history of Best disease was referred to our pediatric retina clinic for evaluation due to decreased vision. His VA was 20/200 OD and 20/30 OS at presentation. Widefield pseudocolor images showed multifocal vitelliform material in each eye, along with choroidal neovascular membrane in his right eye (Figure 1).

OCT showed well-defined subretinal hyperreflective material in each eye with a subretinal hemorrhage in the right eye (Inset). Fundus autofluorescence images of each eye showed marked hyperautofluorescence corresponding to the subretinal vitelliform material (Figure 2).

The patient underwent monthly injections of an anti-VEGF agent in the right eye for treatment of the choroidal neovascular membrane. At the most recent visit, his VA had improved to 20/60 OD.

GENETIC EVALUATION

The patient had a family history of autosomal recessive bestrophinopathy in his siblings, cousin, and uncle, and his imaging findings were consistent with this condition. With genetic testing, the patient was found to be homozygous for the c.653G>A, p.(Arg218His) BEST1 variant, which was segregated to both parents.

If you have images you would like to share, email
Manish Nagpal, MS, FRCS, FASRS, at drmanishnagpal@yahoo.com.

Note: Photos should be 400 dpi or higher and at least 10 inches wide.