AT A GLANCE

  • Investigational wet AMD treatments aim to offer a primary versus adjuvant treatment route through targets/mechanisms other than anti-VEGF, cost-conscious biosimilars, or extended treatment duration.
  • Ongoing innovation for the treatment of wet AMD includes tyrosine kinase inhibitors, gene therapy, multitarget therapy, alternative targets, and biosimilars.
  • With time, the treatment of wet AMD may have frontline contenders beyond anti-VEGF injections or may involve a multimechanism approach with therapeutics with various delivery methods.

There are a multitude of effective agents available for the treatment of wet AMD, including anti-VEGF medications, biosimilars, higher-dose variations of standard drugs, and combination dual-target therapies (Figure). New contenders aim to offer a primary versus adjuvant treatment route through other targets/mechanisms or extended treatment duration. Here, we summarize some of the ongoing innovation in the wet AMD landscape (Table).

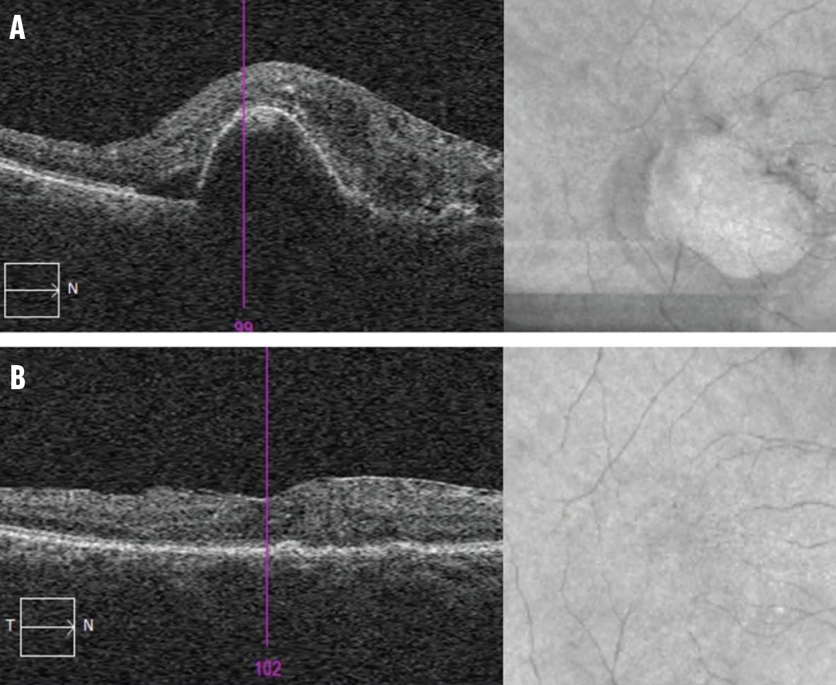
<p>Figure. OCT and the corresponding near-infrared image of a patient with wet AMD undergoing treatment with anti-VEGF injection every 4 weeks with persistent subretinal fluid and a pigment epithelial detachment (A). After one injection of a recently approved therapeutic, OCT and the corresponding near-infrared image demonstrate resolution of subretinal fluid and pigment epithelial detachment (B).</p>

Click to view larger

Figure. OCT and the corresponding near-infrared image of a patient with wet AMD undergoing treatment with anti-VEGF injection every 4 weeks with persistent subretinal fluid and a pigment epithelial detachment (A). After one injection of a recently approved therapeutic, OCT and the corresponding near-infrared image demonstrate resolution of subretinal fluid and pigment epithelial detachment (B).

TYROSINE KINASE INHIBITORS

Tyrosine kinase inhibitors (TKIs) prevent tyrosine kinase phosphorylation and the resulting downstream signaling cascade involving VEGF receptors.

EYP-1901 (Duravyu, EyePoint Pharmaceuticals) is an intravitreal insert of voralinib delivered using the Durasert E platform. The phase 2 DAVIO2 trial (NCT05381948) compared 2 mg and 3 mg EYP-1901 after loading aflibercept (Eylea, Regeneron) injections with aflibercept every 8 weeks; the trial met its primary endpoint of stable BCVA at 14 months, with 44% of patients not requiring rescue therapy.1 The phase 3 LUCIA (NCT06683742) and LUGANO (NCT06668064) trials include treatment-naïve and previously treated patients with wet AMD.2

OTX-TKI (Axpaxli, Ocular Therapeutix) is a bioresorbable hydrogel delivered via an intravitreal implant. SOL-1 (NCT06223958) is a phase 3 clinical trial with treatment-naïve wet AMD patients receiving either the axitinib implant or aflibercept after two monthly injections of aflibercept during the screening period. The primary endpoint is the percentage of patients with < 15 ETDRS letters of BCVA loss at week 36. Patient enrollment began in early 2024.

D-4517.2 (Ashvattha Therapeutics) is a monthly subcutaneous or oral therapy that was found to be safe and well-tolerated in the phase 1 study.3 An ongoing two-stage phase 2 clinical trial (NCT05387837) is looking at subcutaneous D-4517.2 at dose-escalating concentrations in 30 patients with wet AMD. Stage 1 results demonstrated safety, and visual and anatomical outcomes indicated a biological response. Stage 2, the chronic dosing study, has been initiated with the aim of enrolling at least 20 patients with wet AMD or diabetic macular edema who will receive the therapy biweekly or monthly for up to 40 weeks.

PAN 90806 (PanOptica) is a topical eye drop found to be safe and effective in a phase 1/2 trial (NCT03479372). A total of 51 treatment-naïve wet AMD patients randomly received varying doses of once-daily topical PAN 90806, and 79% of patients had a reduction in injection burden with stable BCVA throughout the study period.4 Currently, the drug formulation is being modified after PanOptica entered into a license agreement with Zhaoke Ophthalmology.5

CLS-AX (Clearside Biomedical) is a suprachoroidal injection of an axitinib suspension delivered via the company’s SCS Microinjector. The phase 2b ODYSSEY trial (NCT05891548) is assessing the safety and efficacy of suprachoroidal 1.0 mg CLS-AX with a flexible dosing regimen in previously treated wet AMD patients versus controls receiving aflibercept every 8 weeks. The trial met its primary and secondary endpoints, with stable BVCA and central subfield thickness and an 84% reduction in injection frequency compared with pre-study treatment regimens.6

AR-14034 (Aerie Pharmaceuticals) is a sustained-release implant of axitinib currently being studied in the NOVA-1 phase 1/2 study (NCT05769153) for safety and durability.

GENE THERAPY

There are many investigational gene delivery methods that can continuously produce proteins, such as anti-VEGF.

ABBV-RGX-314 (Regenxbio/Abbvie) delivers ranibizumab-like proteins via a viral vector. It is currently being investigated as a subretinal injection in two phase 3 studies, ATMOSPHERE (NCT04704921) and ASCENT (NCT05407636), compared with monthly ranibizumab (Lucentis, Genentech/Roche) and bimonthly aflibercept, respectively. In the phase 2 pharmacodynamic study, up to 73% of patient were free of rescue injections at 6 months, and all cohorts demonstrated stable to improved BCVA and retinal thickness.7

ABBV-RGX-314 is also being evaluated with a suprachoroidal delivery approach in the phase 2 AAVIATE study (NCT04514653). The interim 6-month trial results showed stable anatomical and visual endpoints and an 80% reduction in annualized injection rate.8

Ixoberogene soroparvovec (ixo-vec, Adverum Biotechnologies) is in the phase 2 LUNA trial (NCT05536973) evaluating a single intravitreal injection of one of two dose concentrations in conjunction with prophylactic steroids in patients with wet AMD. The positive 52-week data show that 54% and 69% of patients treated with the 6E10 and 2E11 doses, respectively, remained injection-free, with an 88% and 92% reduction in treatment burden. No patients treated with the 6E10 dose and topical steroids had inflammation at week 52 or at any subsequent visit.9 The company announced plans to initiate the phase 3 ARTEMIS noninferiority study in early 2025.9

4D-150 (4D Molecular Therapeutics) is a synthetic viral capsid that expresses aflibercept and a VEGF-C inhibitory RNAi that is delivered via an intravitreal injection. It is being evaluated in the phase 1/2 PRISM trial (NCT05197270), in which patients randomly receive high- or low-dose gene therapy with concurrent prophylactic topical corticosteroid compared with controls receiving bimonthly aflibercept. Interim 24-week analysis showed an 85% to 89% decrease in injection burden across both doses, with 77% of patients remaining injection-free in the high-dose group versus 60% in the low-dose group. Visual acuity remained stable across both groups, and no significant adverse events were reported.10 The phase 3 study, 4FRONT-1, is scheduled to begin in 2025.10

MULTITARGET THERAPY

Since the approval of faricimab (Vabysmo, Genentech/Roche), a bispecific antibody targeting angiopoietin-2 and VEGF-A, other multitargeted therapies have shown promise.

OPT-302 (sozinibercept, Opthea) is a Fc-fusion protein designed to inhibit VEGF-C and VEGF-D. There are currently two phase 3 studies, ShORe (NCT04757610) and COAST (NCT04757636). Controls receive ranibizumab plus sham every 4 weeks in ShORe and 2 mg aflibercept plus sham for three loading doses every 4 weeks and then every 8 weeks thereafter in COAST. The primary endpoint is superiority in BCVA gains at 12 months. One-year results are expected in 2025 for both studies.

RC28-E (RemeGen) is a chimeric decoy receptor trap fusion protein with dual blockage of VEGF and fibroblast growth factor 2. The drug was well-tolerated with an overall favorable safety profile and evidence of improvements in BCVA and anatomical parameters in its phase 1b trial.11 It is currently enrolling patients in a phase 3 trial (NCT05727397).

IBI302 (efdamrofusp alfa, Innovent Biologics) is a recombinant VEGFR-Fc-human CR1 fusion protein that underwent a phase 2 trial that met its primary endpoint of noninferior BCVA gains in patients in both dose groups versus the aflibercept group from baseline to week 40.12 The phase 3 STAR trial (NCT05972473) began enrollment in mid-2023.

AXT107 (AsclepiX Therapeutics) is an integrin-regulating peptide that inhibits VEGF-A and VEGF-C and activates Tie2 and is delivered as a single suprachoroidal injection. The phase 1/2 DISCOVER trial (NCT05859776) evaluating the safety and tolerability of three dose strengths of AXT107 for wet AMD completed enrollment in May 2024.

AG-73305 (Allgenesis Biotherapeutics), a bispecific molecule that simultaneously binds to VEGF and integrins, is currently undergoing a phase 2a study (NCT05301751).13 Preliminary data on six patients showed an excellent safety profile and improvements in BCVA as early as 1 week post-injection that were maintained over 3 months.13

Tarcocimab tedromer and tabirafusp tedromer (KSI-301 and KSI-501, Kodiak Sciences) are under investigation in the phase 3 DAYBREAK trial (NCT06556368). Tarcocimab is an intravitreal antibody biopolymer conjugate (ABC), while tabirafusp is a bispecific anti-interleukin-6 and VEGF trap ABC. The trial includes two treatment arms (tarcocimab and tabirafusp) and an aflibercept comparator arm.14

ALTERNATIVE TARGETS

MK-3000 (restoret, EyeBio/Merck) is an intravitreal trispecific antibody that acts as an agonist of the Wnt signaling pathway. The 12-week data from the phase 1b/2 AMARONE clinical trial (NCT05919693) demonstrated that monthly doses of MK-3000, in combination with aflibercept, were well-tolerated with a mean change in VA of +6.8 letters and an absolute reduction in central subfield thickness of -268 µm.15

RBM-007 (Ribomic), an anti-fibroblast growth factor 2 aptamer that inhibits angiogenesis and scar formation, has been investigated in three phase 2 clinical trials (NCT04200248, NCT04640272, and NCT04895293), all of which are complete. Data published in Eye suggest that the therapeutic is effective in treatment-naïve wet AMD patients or those with a short history of anti-VEGF treatment.16 However, the drug showed no additional benefit over aflibercept for patients with a long history of anti-VEGF therapy.16

Researchers are also investigating adjuvant oral doxycycline/MMP-9 inhibition in a phase 2 trial (NCT04504123).

Other therapeutic approaches currently in phase 1 for the treatment of wet AMD include:

  • CG-P5 peptide eye drops (Caregen, NCT06132035)
  • Lenvatinib periocular gel injections (AIV-007, AiViva BioPharma; NCT05698329)
  • Episcleral brachytherapy (NCT02988895)
  • RNA interference-based gene silencing technology (OLX10212, OliX Pharmaceuticals; NCT05643118)
  • Gene therapy targeting all subtypes of VEGF and angiopoietin-2 (EXG102-031, Exegenesis Bio; NCT05903794)
  • Gene therapy that expresses fusion VEGF receptor proteins targeting multiple subtypes of VEGF and placental growth factor (KH631, Chengdu Origen/Vanotech; NCT05657301)
  • Fusion protein targeting VEGF and angiopoietin-2 (AM712, AffaMed; NCT05345769)

ANTI-VEGF AND BIOSIMILARS

KHK4951 (tivozanib, Kyowa Kirin Group) is a topical anti-VEGF therapy in a phase 2 trial (NCT06116890) evaluating three dosages of KHK4951 compared with aflibercept. The primary outcome is the reduction of 15 or more letters in BCVA at week 44.

A variety of anti-VEGF biosimilars are under investigation in phase 3 trials to gain FDA approval. Four different biosimilars for aflibercept and two for ranibizumab have been FDA-approved. To date, there are no FDA-approved biosimilars for bevacizumab specifically for ophthalmic use. However, ONS-5010 (bevacizumab-vikg, Lytenava, Outlook Therapeutics) is currently being evaluated in an ongoing phase 3 noninferiority study, NORSE EIGHT, for the treatment of wet AMD (NCT06190093).17 The trial is expecting completion by the end of 2024.

LOOKING AHEAD

The therapies in the pipeline for wet AMD are abundant and exciting. With time, the treatment of wet AMD may have frontline contenders beyond anti-VEGF injections or may involve a multimechanism approach with various delivery methods.

1. Regillo CD. EYP-1901 for the treatment of neovascular AMD: phase 2 davio2 end-of-study 12-month results. Presented at AAO; October 18, 2024; Chicago.

2. EyePoint Pharmaceuticals announces two presentations of topline data with additional subgroup analyses from the phase 2 DAVIO 2 clinical trial of EYP-1901 for the treatment of wet age-related macular degeneration [press release]. EyePoint Pharmaceuticals. February 3, 2024. Accessed October 15, 2024. tinyurl.com/4cxxrpj6

4. Chaney P. PAN-90806: Once-daily topical anti-VEGF eye drop for wet AMD and other neovascular eye disease. Presented at Ophthamology Innovation Summit; October 10, 2019; San Francisco, CA. tinyurl.com/35nazft5

5. PanOptica announces licensing agreement with Zhaoke Ophthalmology for PAN-90806 for the treatment of neovascular eye diseases in China, South Korea, and Southeast Asia [press release]. PanOptica. June 17, 2021. Accessed October 1, 2024. tinyurl.com/4e83j585

6. Clearside Biomedical reports positive results from phase 2b ODYSSEY trial of CLS-AX for wet AMD [press release]. Eyewire+. October 7, 2024. Accessed October 15, 2024. tinyurl.com/bdzxv7my

7. Abbey A. Subretinal delivery of investigational ABBV-RGX-314 for neovascular AMD: a phase II pharmacodynamic study. Presented at ASRS; July 30, 2023; New York, NY. tinyurl.com/39zm55wc

8. Regenxbio announces positive interim data from phase II AAVIATE trial of ABBV-RGX-314 for the treatment of wet AMD using suprachoroidal delivery [press release]. Regenxbio. January 16, 2024. Accessed October 22, 2024. tinyurl.com/472wdy54

9. Adverum Biotechnologies announces positive 52-week LUNA and 4-year OPTIC results, and provides key pivotal program design elements [press release]. Adverum Biotechnologies. November 18, 2024. Accessed November 18, 2024. tinyurl.com/3nrvx7ny

10. 4DMT highlights robust and durable clinical activity for 4D-150 and design of 4FRONT phase 3 program at 4D-150 wet AMD development day [press release]. 4DMT. September 18, 2024. Accessed October 1, 2024. tinyurl.com/3c55b8m7

11. Lu Y, Yu X, Chen Y, et al. Safety and efficacy of multiple escalating doses of RC28-E for neovascular age-related macular degeneration: a phase 1b trial. Ophthalmol Ther. 2024;13(9):2405-2415.

12. Innovent announces primary endpoint met in the second phase 2 clinical trial of IBI302 (anti-VEGF/complement) in treating neovascular age-related macular degeneration (nAMD) [press release]. Innovent. March 19, 2024. Accessed October 1, 2024. tinyurl.com/4zf5vk4z

13. Patel S, Cheetham JK, Nguyen T, et al. Open-label phase 2a study of AG-73305, a novel bi-specific Fc-fusion protein for the treatment of diabetic macular edema. Invest Ophthalmol Vis Sci. 2023;64(8):2642.

14. Kodiak. Clinical Program Overview October 2024. Accessed October 21, 2024. tinyurl.com/2p9r8w56

15. Wykoff CC. Restoret (EYE103) for the treatment of diabetic macular edema and neovascular AMD: first-time extended results from the AMARONE phase 1b/2a clinical trial. Presented at AAO; October 18, 2024; Chicago.

16. Pereira DS, Maturi RK, Akita K, et al. Clinical proof of concept for anti-FGF2 therapy in exudative age-related macular degeneration (nAMD): phase 2 trials in treatment-naïve and anti-VEGF pretreated patients. Eye (Lond). 2024;38(6):1140-1148.

17. ONS-5010 clinical progress. Outlook Therapeutics. Accessed October 1, 2024. tinyurl.com/ywwmtt5t