A 58-year-old man with no relevant medical or ocular history presented at our emergency department with a sudden decrease in visual acuity in his left eye after a shotgun injury near the globe. His BCVA was 20/100 OS. Slit-lamp examination revealed extensive periocular ecchymosis and a discrete temporal subconjunctival hemorrhage with no signs of penetrating injury. His ocular motility was unaffected, and his IOP measurements were unremarkable.

Fundoscopy showed a temporal subretinal hemorrhage accompanied by discrete vitreous hemorrhage in the vicinity, as well as Berlin macular edema (Figure 1). No tears or signs of retinal detachment were noted. A CT scan of the orbits detected the presence of a metallic foreign body adjacent to the lateral wall with no signs of retrobulbar hemorrhage or damage to the globe or extraocular muscles (Figure 2). The surgeons who observed the foreign body opted for conservative course, and thus, it was not removed from the orbital cavity at this time.

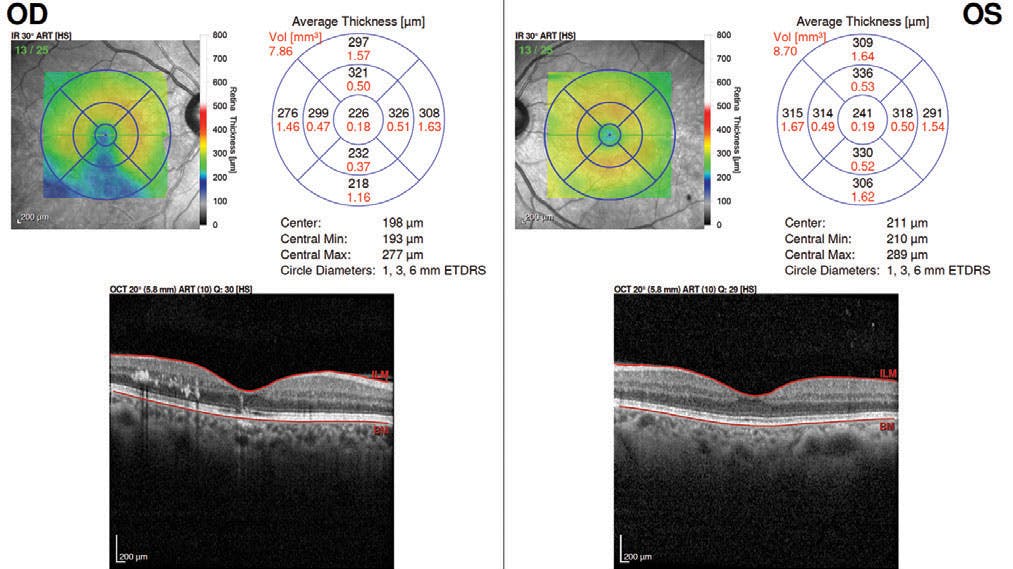
At the 2-week follow-up, the patient’s VA had recovered to 20/20 OS. OCT of his left eye showed a disorder of the retinal pigment epithelium cells in the damaged area, with no signs of macular edema (Figures 3 and 4). Retinography revealed a resorbing lower temporal vitreous hemorrhage and a retinal hemorrhage that had already reabsorbed.

A SHOCK FELT AROUND THE GLOBE

Chorioretinitis sclopetaria is a rare disease characterized by a rupture of the neurosensory retina, the underlying choroid, and the sclera due to an impact from a penetrating high-velocity object into the orbit, such as a bullet.

The lesions observed in this case were the result of differences in elasticity of the various layers of the eye. The Bruch membrane, attached choriocapillaris, and retinal pigment epithelium are all rigid and more prone to injury and rupture. Because the sclera and neurosensory retina are more elastic, a much greater force is necessary to cause disruption and damage to this area.

There is no consensus on the management of chorioretinitis sclopetaria due to the low number of reported cases, as well as the variability in injury. If surgery is not indicated, patients may be carefully observed, as was the case for our patient, as the lesions will heal gradually in many cases as a result of the large degree of glial proliferation at the injury site.

If you have images you would like to share, email Manish Nagpal, MS, FRCS, FASRS, at drmanishnagpal@yahoo.com.

Note: Photos should be 400 dpi or higher and at least 10 inches wide.