Infective endocarditis (IE) is a condition that can lead to significant morbidity and mortality if not addressed in a timely fashion. IE affects the inner lining of heart chambers and valves and is traditionally caused by infection with microorganisms, such as bacteria or fungi. It is characterized by the presence of multiple findings, rather than a single result, making it somewhat tricky to diagnosis; regardless, misdiagnosis can have serious consequences. Given the wide array of presentations, it is important to remain vigilant and always consider the possibility of this diagnosis.

Duke criteria were developed in 1994 to aid in the appropriate diagnosis of IE based on a constellation of findings,1 categorized as either major criteria (ie, positive blood cultures, echocardiographic results) or minor criteria (ie, fever, predisposition, microbiological evidence, presence of vascular or immunologic phenomena). Based on the combination of criteria met, a patient’s presentation may be classified as “definite IE,” “possible IE,” or “rejected IE.” Since being established, the Duke criteria have faced criticism due to the overly broad categorization of “possible IE,” as a patient would meet the requirements of this classification by satisfying only one minor criterion.

This case report demonstrates how retinal findings can fit within the diagnostic criteria for IE.

CASE REPORT

A 39-year-old man presented with a blind spot in his right field of vision that appeared 4 days prior. At onset, he initially presented to an optometrist, who referred him for a retinal evaluation due to the presence of retinal bleeding. His medical history was significant for a bicuspid aortic valve and was negative for intravenous drug use. Of note, he reported having an ongoing illness that had lasted for 5 weeks without improvement, including symptoms of muscle aches, subjective fevers, chills, night sweats, malaise, decreased appetite, and unexplained weight loss of 15 lbs. He underwent systemic workup with his primary care physician and was found to have a positive Epstein-Barr viral capsid antigen IgG test, which is typically associated with past infection. A blood culture that was taken at an outside hospital grew Streptococcus mitis, but this was thought to be a result of contamination, as only one culture was drawn; thus, no antibiotic treatment was initiated at that time.

Examination and Retinal Imaging

On examination, the patient’s VA was 20/150 OD and 20/20 OS. Ophthalmoscopy, fundus photography, and fluorescein angiography (FA) revealed a preretinal hemorrhage in the right eye and scattered bilateral retinal hemorrhages (Figures 1 and 2). OCT showed a preretinal hemorrhage in the right eye (Figure 3). These findings prompted referral to hematology and infectious disease.

<p>Figure 1. Fundus photography of the right (A) and left (B) eye showed preretinal hemorrhage in the right eye, causing a blockage.</p>

Click to view larger

Figure 1. Fundus photography of the right (A) and left (B) eye showed preretinal hemorrhage in the right eye, causing a blockage.

<p>Figure 2. FA of the right (A) and left (B) eye demonstrated scattered retinal hemorrhages.</p>

Click to view larger

Figure 2. FA of the right (A) and left (B) eye demonstrated scattered retinal hemorrhages.

At 2-week follow-up, the examination and imaging were significant for the development of Roth spots (Figure 4). Evaluation by hematology noted an elevated prothrombin time (15.4; normal: 10-13 seconds), positive beta 2 glycoprotein (49.3; normal: < 20 units/mL), and elevated erythrocyte sedimentation rate and C-reactive protein.

Given the retinal changes, IE was suspected. A prompt outpatient transthoracic echocardiogram was obtained, which revealed a 1 cm x 1 cm circular echodensity with a narrow stalk noted on the ventricular aspect of the aortic valve, as well as severe aortic regurgitation.

<p>Figure 3. OCT imaging of the right eye showed a preretinal hemorrhage.</p>

Click to view larger

Figure 3. OCT imaging of the right eye showed a preretinal hemorrhage.

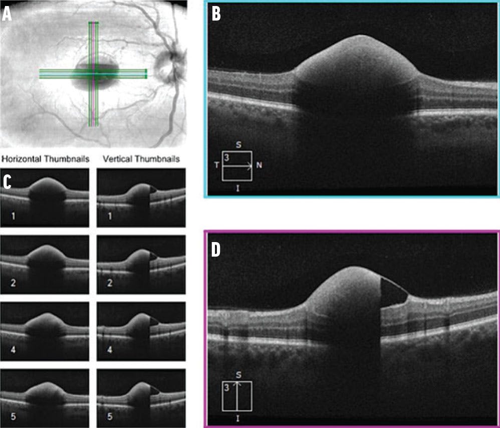
<p>Figure 4. At the 2-week follow-up, fundus photography of the right (A) and left (B) eye showed Roth spots. OCT imaging of the right eye revealed Roth spots (C) and a preretinal hemorrhage (D).</p>

Click to view larger

Figure 4. At the 2-week follow-up, fundus photography of the right (A) and left (B) eye showed Roth spots. OCT imaging of the right eye revealed Roth spots (C) and a preretinal hemorrhage (D).

To the Emergency Department

At this time, the patient was instructed to immediately present to the emergency department. Transesophageal echocardiogram showed a 1 cm x 2.5 cm mobile echodensity, consistent with bacterial endocarditis (Figure 5). A single blood culture was taken, which grew Streptococcus mitis. Physical examination was significant for irregularly shaped macules of the lower extremities, consistent with Janeway lesions. The patient was initiated on intravenous ceftriaxone and vancomycin, which was later tapered to ceftriaxone alone. He received aortic valve replacement on day 5 of hospitalization, and intraoperative cultures were taken to determine the length of antibiotic therapy. He continued 4 weeks of antibiotic therapy with intravenous ceftriaxone from the time of the first negative blood culture, recorded on day 2 of hospitalization.

<p>Figure 5. Transesophageal echocardiogram confirmed the presence of a mobile echodensity on the ventricular aspect of the aortic valve.</p>

Click to view larger

Figure 5. Transesophageal echocardiogram confirmed the presence of a mobile echodensity on the ventricular aspect of the aortic valve.

The patient was seen in clinic 2 months after the initial presentation. His VA had improved to 20/80 OD, and he noted a persistent but improving scotoma. Examination and fundus photography were significant for a resolving preretinal hemorrhage in the right eye, which was expected to continue to impair visual acuity until resolution (Figure 6). The patient was instructed to remain on daily warfarin to help prevent thrombus formation.

<p>Figure 6. Fundus photography of the right (A) and left (B) eye 2 months after initial presentation demonstrated a resolving hemorrhage in the right eye after aortic valve replacement surgery and completion of a 4-week antibiotic course.</p>

Click to view larger

Figure 6. Fundus photography of the right (A) and left (B) eye 2 months after initial presentation demonstrated a resolving hemorrhage in the right eye after aortic valve replacement surgery and completion of a 4-week antibiotic course.

CONFIRMING IE

Since Duke established the criteria for IE, modifications have been made to increase the sensitivity of disease detection and more clearly delineate next steps based on patient presentation and test results.2 This patient originally presented to an outside hospital, where a single blood culture was taken. The combination of a single positive blood culture and the presence of fever placed this patient in the “possible IE” category; however, no further interventions were performed until he followed up with ophthalmology 1 week later. The presence of Roth spots greatly increased the likelihood of IE, and once the transthoracic echocardiogram was performed, the diagnosis was confirmed. The use of algorithms and calculators for guidance in the diagnosis of IE is critical, as clinical presentation can vary widely, making accurate diagnosis difficult.

The patient’s original placement in the “possible IE” category should have prompted additional testing to determine if the patient should then be moved to the “definite IE” or “rejected IE” category. Early suspicion for IE can aid in determining subsequent management, and close follow-up is critical for the detection of additional signs and symptoms that can complete the clinical picture. Roth spots are not specific for IE, and they can be associated with other conditions that should also be investigated, including antiphospholipid syndrome, diabetic retinopathy, and various prothrombotic or autoimmune diseases.3 This patient was already undergoing a full workup with his primary care physician, so other sources were being investigated in conjunction with suspicion for IE.

With prompt action and early testing, this patient was able to quickly initiate treatment, resulting in the best visual prognosis. He also underwent aortic valve replacement within days of diagnosis, preventing the development of neurological sequelae, which can result from mobile thrombus formation.

NO ROOM FOR ERROR

IE is a can’t-miss diagnosis, as it can be fatal if left untreated. Therefore, it is best to maintain a high index of suspicion for this condition as a potential differential. The Duke criteria and its proposed modifications serve as a means of stratifying that level of concern to determine the likelihood of IE and guide testing to confirm a diagnosis.

1. Durack DT, Lukes AS, Bright DK. New criteria for diagnosis of infective endocarditis: utilization of specific echocardiographic findings. Duke Endocarditis Service. Am J Med. 1994;96(3):200-209.

2. Li JS, Sexton DJ, Mick N, Nettles R, Fowler VG Jr, Ryan T, Bashore T, Corey GR. Proposed modifications to the Duke criteria for the diagnosis of infective endocarditis. Clin Infect Dis. 2000;30(4):633-688.

3. Kurup SK, Sekulic M, Markowitz AH. Retinal artery thrombosis and aortic valve vegetations. JAMA. 2021;326(15):1526-1527.