AT A GLANCE

  • Lacquer cracks facilitate myopic macular neovascularization (MNV) formation through the Bruch membrane opening.
  • When myopic MNV occurs, the lesion is visible on conventional invasive imaging, such as fluorescein angiography, and noninvasive imaging techniques, such as OCT and OCT angiography.
  • AI has demonstrated strong capabilities in detecting pathologic myopia and identifying myopia-related complications using different imaging modalities.

Pathologic myopia is a leading cause of blindness worldwide and is particularly prevalent in East Asia.1,2 The global rise in myopia prevalence is expected to subsequently lead to an increase in pathologic myopia cases in the coming years.3 With the advent of high-resolution imaging techniques, progression of pathologic myopia and subsequent pathological changes (eg, myopic maculopathy) are easily visible, making early intervention possible.

MYOPIC MACULOPATHY DEFINED

Based on long-term data on myopic lesion progression, experts have proposed an international classification of myopic maculopathy.4 The META-PM Study Group identified four categories, starting with no macular lesions (Category 0) and progressing to a tessellated fundus (Category 1), diffuse chorioretinal atrophy (Category 2), patchy chorioretinal atrophy (Category 3), and, finally, macular atrophy (Category 4). According to this classification, pathologic myopia corresponds to eyes that have lesions in Category 2 or more. Additionally, “plus” lesions correspond to lesions that develop independent of the above progression pattern and consist of lacquer cracks, myopic macular neovascularization (MNV), and Fuchs spots.4

Myopic MNV, typically type 2, develops in approximately 10% of eyes with pathologic myopia and is a major cause of visual impairment, while lacquer cracks occur in 4.2% to 15.7% of eyes with pathologic myopia.4 However, myopic MNVs must be distinguished from simple hemorrhages associated with lacquer cracks, as the treatment and subsequent follow-up differ; while myopic MNVs are treated with anti-VEGF injections, simple hemorrhages on lacquer cracks regress spontaneously and only require monitoring.

IMAGING FINDINGS IN PATHOLOGIC MYOPIA

Lacquer cracks are thought to be breaks within Bruch membrane often accompanied by a simple hemorrhage secondary to traction associated with the increase in axial length of myopic eyes.5 These lacquer cracks facilitate MNV formation through the Bruch membrane opening, especially when they are newly generated.6

In addition to fundus examination and fundus photography, fluorescein angiography (FA) and ICG angiography (ICGA) are useful for detecting lacquer cracks (Figure 1).4,7 When a simple hemorrhage occurs in conjunction with lacquer cracks, the differential diagnosis of myopic MNV can be difficult. While simple hemorrhage associated with lacquer cracks creates a masking effect on FA, making the distinction from myopic MNVs clear, FA is an invasive examination that’s not performed at every visit. On the widely used, noninvasive OCT, the presence of a hyperreflective lesion in the subretinal space in the case of both myopic MNVs and simple hemorrhage on lacquer cracks may be confusing.

<p>Figure 1. Multimodal imaging of an eye with pathologic myopia and lacquer cracks with a simple hemorrhage. On spectral-domain OCT, the simple hemorrhage complicating lacquer cracks corresponds to an ill-defined subretinal hyperreflectivity (white arrowhead). On FA and ICGA, the simple hemorrhage generates masking (white arrowheads). Note the visualization of lacquer cracks on late ICGA (yellow arrows). OCTA (right panels) confirms the absence of flow, indicating the absence of a neovascular lesion.</p>

Click to view larger

Figure 1. Multimodal imaging of an eye with pathologic myopia and lacquer cracks with a simple hemorrhage. On spectral-domain OCT, the simple hemorrhage complicating lacquer cracks corresponds to an ill-defined subretinal hyperreflectivity (white arrowhead). On FA and ICGA, the simple hemorrhage generates masking (white arrowheads). Note the visualization of lacquer cracks on late ICGA (yellow arrows). OCTA (right panels) confirms the absence of flow, indicating the absence of a neovascular lesion.

OCT angiography (OCTA) is particularly helpful in these cases, allowing clinicians to confirm the absence of flow and, thus, the absence of a neovascular lesion.

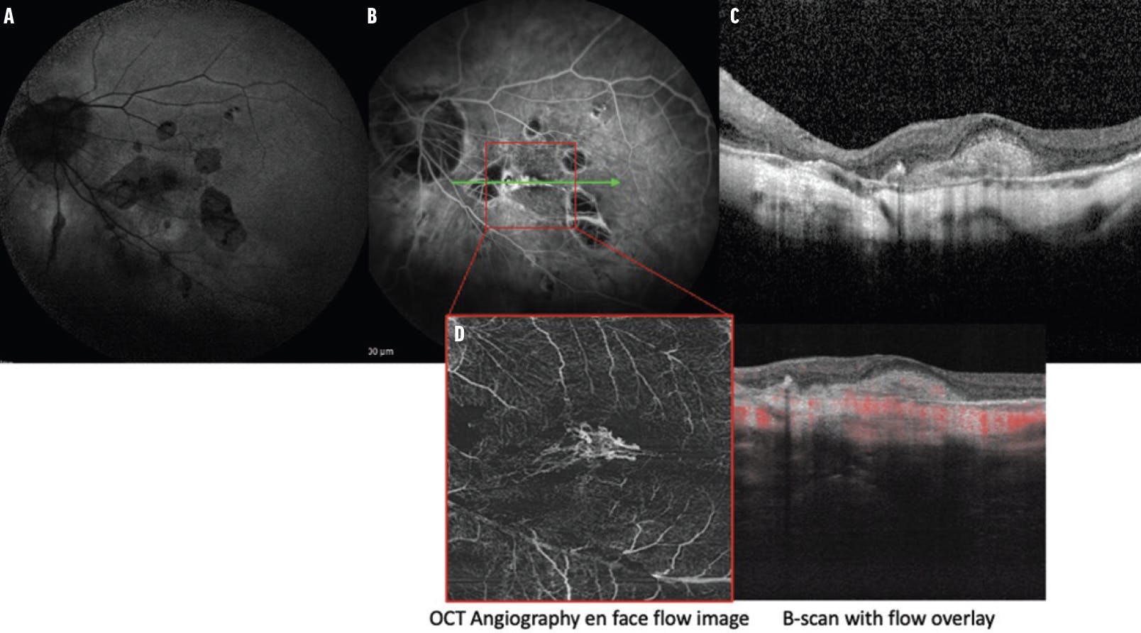
When myopic MNV occurs, the lesion is visible on both conventional invasive imaging, such as FA, and noninvasive imaging, such as OCT and OCTA (Figure 2). Of note, the presence of patchy atrophy and lacquer cracks are well-known risk factors for the development of myopic MNV.4,8

<p>Figure 2. Multimodal imaging reveals myopic MNV at the edge of patchy atrophy, as seen on fundus autofluorescence imaging (A). FA shows leakage (B), and spectral-domain OCT shows a hyperreflective subretinal lesion with fuzzy borders (C). OCTA confirms the presence of a myopic MNV (D).</p>

Click to view larger

Figure 2. Multimodal imaging reveals myopic MNV at the edge of patchy atrophy, as seen on fundus autofluorescence imaging (A). FA shows leakage (B), and spectral-domain OCT shows a hyperreflective subretinal lesion with fuzzy borders (C). OCTA confirms the presence of a myopic MNV (D).

Although OCTA is helpful in detecting myopic MNV,9 acquisition can be challenging due to the long axial length and posterior staphyloma, leading to segmentation errors. When FA and OCT imaging are unclear, custom OCTA segmentation, corresponding to the anatomic location of the neovascular lesion, can clarify the presence or absence of myopic MNV (Figure 3).

<p>Figure 3. Multimodal imaging of myopic MNV requiring a custom segmentation on OCTA for visualization. FA (A and B) shows a doubtful hyperfluorescence corresponding to the allegedly neovascular lesion seen on spectral-domain OCT (C, white arrowhead) in this highly myopic patient. The 3 mm x 3 mm OCTA with the automatic outer retinal segmentation is not helpful to detect the neovascularization (D). The myopic MNV is easily visible on the custom OCTA segmentation (E, red arrowhead).</p>

Click to view larger

Figure 3. Multimodal imaging of myopic MNV requiring a custom segmentation on OCTA for visualization. FA (A and B) shows a doubtful hyperfluorescence corresponding to the allegedly neovascular lesion seen on spectral-domain OCT (C, white arrowhead) in this highly myopic patient. The 3 mm x 3 mm OCTA with the automatic outer retinal segmentation is not helpful to detect the neovascularization (D). The myopic MNV is easily visible on the custom OCTA segmentation (E, red arrowhead).

Another challenge with myopic MNV is the detection of exudation, which is more subtle than in other types of MNV.10 Clinicians can look for the presence of a gray subretinal hyperreflective exudation and an increase in choroidal thickness (Figure 4). In these cases, a single anti-VEGF injection can address subretinal hyperreflective exudation and decrease the choroidal thickness underneath the myopic MNV.

<p>Figure 4. Exudative recurrence, represented by gray subretinal hyperreflective exudation, of a previously treated myopic MNV (A, white arrow) with an increase in choroidal thickness (purple arrowheads). After one anti-VEGF injection (B), OCT shows regression of the subretinal hyperreflective exudation, as well as a decreased choroidal thickness.</p>

Click to view larger

Figure 4. Exudative recurrence, represented by gray subretinal hyperreflective exudation, of a previously treated myopic MNV (A, white arrow) with an increase in choroidal thickness (purple arrowheads). After one anti-VEGF injection (B), OCT shows regression of the subretinal hyperreflective exudation, as well as a decreased choroidal thickness.

After studying the morphologic relationship between myopic MNV activity and focal choroidal thickness changes in pathologic myopia during anti-VEGF therapy, researchers found that focal choroidal thickness increased significantly underneath the myopic MNV when exudative signs were present (or preceding exudation in some cases), followed by a significant decrease after anti-VEGF therapy.11

CHECK THE PERIPHERY

Beyond the detection of macular lesions in eyes with pathologic myopia, clinicians must remember the large spectrum of peripheral lesions in highly myopic eyes. Ultra-widefield color fundus photography and ultra-widefield OCT have been widely used in recent years for the detailed assessment of posterior staphylomas, a hallmark of pathologic myopia. While the initial 1977 classification of posterior staphylomas identified 10 different types of posterior staphyloma on fundus examination,12 there was no universally accepted definition. More recently, Ohno-Matsui et al used ultra-widefield color fundus photography and 3D MRI to visualize the entire extent of posterior staphylomas and critical features of staphyloma edges, such as gradual choroidal thinning from both sides, scleral inward protrusion, and posterior scleral displacement (Figures 5 and 6).13

<p>Figure 5. Ultra-widefield color fundus photography shows a wide macular staphyloma with pigmentary changes at the staphyloma edges (arrows) and large areas of patchy atrophy.</p>

Click to view larger

Figure 5. Ultra-widefield color fundus photography shows a wide macular staphyloma with pigmentary changes at the staphyloma edges (arrows) and large areas of patchy atrophy.

<p>Figure 6. Ultra-widefield OCT of a highly myopic eye reveals a posterior staphyloma. Note the changes at the edge of the staphyloma with a gradual decrease of the choroid and the scleral protrusion.</p>

Click to view larger

Figure 6. Ultra-widefield OCT of a highly myopic eye reveals a posterior staphyloma. Note the changes at the edge of the staphyloma with a gradual decrease of the choroid and the scleral protrusion.

In addition to the features highlighted above, multimodal retinal imaging continues to clarify our understanding of dome-shaped macula and different types of schisis.14-18

MORE TO EXPLORE

AI has demonstrated strong capabilities in detecting pathologic myopia and identifying myopia-related complications using different imaging modalities.19,20 These imaging advances, combined with AI analysis, hold the potential to enhance disease monitoring and guide treatment in a world where myopia is a global epidemic.21

Acknowledgement: The author would like to thank Eric Souied, MD, PhD; Francesca Amoroso, MD; Elsa Bruyère, MD; and Nika Vrabic, MD, for their help with this article.

1. Wong TY, Ferreira A, Hughes R, et al. Epidemiology and disease burden of pathologic myopia and myopic choroidal neovascularization: an evidence based systematic review. Am J Ophthalmol. 2014;157:9-25.e12.

2. Wong YL, Saw SM. Epidemiology of pathologic myopia in Asia and worldwide. Asia Pac J Ophthalmol (Phila). 2016;5(6):394-402.

3. Holden BA, Fricke TR, Wilson DA, et al. Global prevalence of myopia and high myopia and temporal trends from 2000 through 2050. Ophthalmology. 2016;123(5):1036-1042.

4. Ohno-Matsui K, Kawasaki R, Jonas JB, et al. International photographic classification and grading system for myopic maculopathy. Am J Ophthalmol. 2015;159(5):877-883.e7.

5. Klein RM, Curtin BJ. Lacquer crack lesions in pathologic myopia. Am J Ophthalmol 1975;79(3):386-392.

6. Xu X, Fang Y, Uramoto K, et al. Clinical features of lacquer cracks in eyes with pathologic myopia. Retina. 2019;39(7):1265-1277.

7. Ohno-Matsui K, Morishima N, Ito M, Tokoro T. Indocyanine green angiographic findings of lacquer cracks in pathologic myopia. Jpn J Ophthalmol. 1998;42(4):293-299.

8. Ohno-Matsui K, Yoshida T, Futagami S, et al. Patchy atrophy and lacquer cracks predispose to the development of choroidal neovascularisation in pathological myopia. Br J Ophthalmol. 2003;87(5):570-573.

9. Bruyère E, Miere A, Cohen SY, et al. Neovascularization secondary to high myopia imaged by optical coherence tomography angiography. Retina. 2017;37(11):2095-2101.

10. Bruyère E, Caillaux V, Cohen SY, et al. Spectral-domain optical coherence tomography of subretinal hyperreflective exudation in myopic choroidal neovascularization. Am J Ophthalmol. 2015;160(4):749-58.e1.

11. Amoroso F, Miere A, El Matri K, et al. Focal choroidal thickness hemodynamics as a sign of macular neovascularization activity in pathologic myopia. Retina. 2022;42(12):2321-2325.

12. Curtin BJ. The posterior staphyloma of pathologic myopia. Trans Am Ophthalmol Soc. 1977;75:67-86.

13. Ohno-Matsui K, Alkabes M, Salinas C, et al. Features of posterior staphylomas analyzed in wide-field fundus images in patients with unilateral and bilateral pathologic myopia. Retina. 2017;37(3):477-486.

14. Jain M, Gopal L, Padhi TR. Dome-shaped maculopathy: a review. Eye (Lond). 2021;35(9):2458-2467.

15. Lee GW, Kim JH, Kang SW, et al. Structural profile of dome-shaped macula in degenerative myopia and its association with macular disorders. BMC Ophthalmol. 2020;20:202.

16. Ohno-Matsui K, Igarashi-Yokoi T, Azuma T, et al. Polarization-sensitive OCT imaging of scleral abnormalities in eyes with high myopia and dome-shaped macula. JAMA Ophthalmol. 2024;142(4):310-319.

17. Faghihi H, Hajizadeh F, Riazi-Esfahani M. Optical coherence tomographic findings in highly myopic eyes. J Ophthalmic Vis Res. 2010;5(2):110-121.

18. Al-Sheikh M, Govetto A, Phasukkijwatana N, et al. Myopic macular schisis: Insights into distinct morphological subtypes and novel biomechanical hypothesis. Eur J Ophthalmol. 2023;33(6):2250-2258.

19. Tang J, Yuan M, Tian K, et al. An artificial-intelligence-based automated grading and lesions segmentation system for myopic maculopathy based on color fundus photographs. Transl Vis Sci Technol. 2022;11(6):16.

20. Crincoli E, Ferrara S, Miere A, et al. Correlation between AI-measured lacquer cracks extension and development of myopic choroidal neovascularization. Eye (Lond). 2023;37(14):2963-2968.

21. Ng DSC, Lai TYY. Insights into the global epidemic of high myopia and its implications. JAMA Ophthalmol. 2022;140(2):123-124.