The diagnosis of uveal melanoma is primarily based on biomicroscopic examination and multimodal imaging, including ultrasonography.1 A typical finding during fundoscopy is a pigmented, dome-shaped nodular mass beneath the retinal pigment epithelium. However, some patients present with atypical clinical features or smaller lesions, for which ultrasonography can help confirm the diagnosis.2 B-scan ultrasonography can further reveal various tumor shapes, including the characteristic mushroom or collar-stud morphology, dome-shaped lesions, and, less frequently, multilobulated or minimally elevated tumors (Figure 1).3

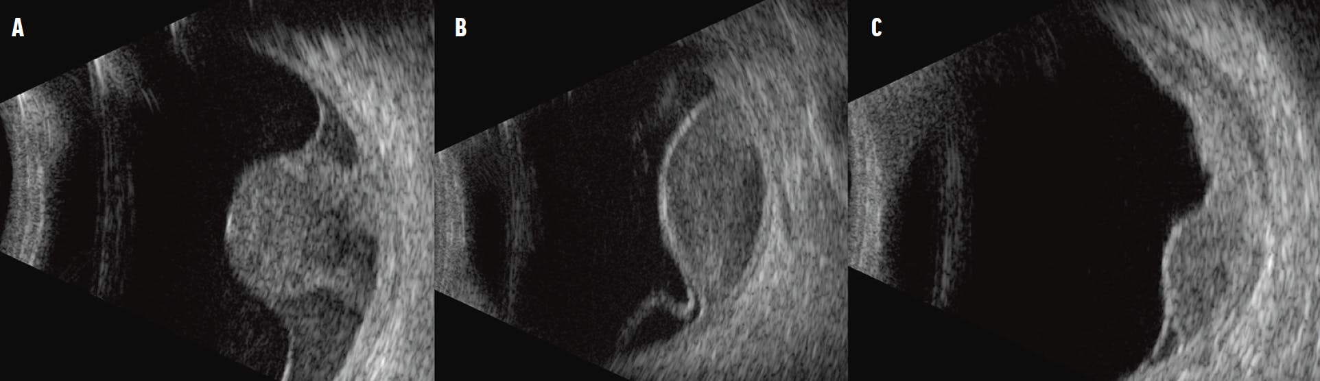
<p>Figure 1. A mushroom-shaped tumor generally exhibits heterogeneous reflectivity characterized by acoustic hollowness at the tumor base and higher reflectivity toward the head (A). Note the distinguished homogeneous consistency of the dome-shaped choroidal lesion (B) and multilobulated melanoma (C).</p>

Click to view larger

Figure 1. A mushroom-shaped tumor generally exhibits heterogeneous reflectivity characterized by acoustic hollowness at the tumor base and higher reflectivity toward the head (A). Note the distinguished homogeneous consistency of the dome-shaped choroidal lesion (B) and multilobulated melanoma (C).

In this article, we explain how ultrasonographic features of choroidal tumors, such as their shape, may provide valuable prognostic insights. 

ULTRASOUND TECHNIQUES

When diagnosing choroidal tumors, two types of ultrasonography are available: A-mode using an 8-MHz probe and B-mode using a 10-MHz probe.3 B-scan ultrasonography identifies choroidal melanoma as a homogeneous mass with a low acoustic profile (acoustic hollowness). Due to the higher reflectivity of the extraocular space compared with the tumor, extrascleral extension can be detected by areas of hyporeflectivity beyond the scleral boundary marked by echoes from the orbital tissues.3 The B-scan can also visualize tumors as small as 1.5 mm in thickness.2 As such, this imaging modality is particularly valuable for evaluating the classification criteria outlined by the American Joint Committee on Cancer (AJCC)—which is based on tumor size, ciliary body involvement, and extraocular extension—and for determining key prognostic indicators, such as tumor diameter.4,5 Of note, a largest basal diameter exceeding 12 mm has been strongly associated with a worse prognosis.6

A-scan ultrasonography can reveal lesions with low-to-medium reflectivity and a gradual decrease in amplitude, which is attributed to the tumor’s acoustically hollow nature, a feature referred to as a positive angle kappa (Figure 2).2,7 However, this characteristic is observed in approximately half of all cases and may appear in other types of choroidal lesions, such as metastasis, hemangioma, or benign nevus.7,8

<p>Figure 2. This A-scan ultrasound of a mushroom-shaped tumor illustrates a positive angle kappa, characterized by a gradual decrease in reflectivity from the tumor’s head to its base (yellow line).</p>

Click to view larger

Figure 2. This A-scan ultrasound of a mushroom-shaped tumor illustrates a positive angle kappa, characterized by a gradual decrease in reflectivity from the tumor’s head to its base (yellow line).

Techniques using higher frequencies of up to 50 MHz, such as ultrasound biomicroscopy, enhance the visualization of anterior uveal melanomas and allow the identification of ciliary body involvement, which, according to the AJCC, represents an important prognostic finding.4 A statistically significant shorter metastasis-free survival has been observed in melanomas involving the ciliary body.9

IDENTIFYING TUMOR SHAPE

Studies have explored the relationship between tumor size, volume, and even regression patterns with molecular findings and treatment outcomes, but recent findings suggest tumor shape may represent a novel prognostic biomarker.10-13 The Prospective Ocular Tumor Study evaluated clinical features and outcomes associated with different choroidal melanoma shapes and found that dome-shaped lesions were the most prevalent (72.4%), followed by mushroom-shaped (11.7%), multilobulated (8.3%), minimally elevated (7.5%), and diffuse (0.1%) forms.13

Choroidal melanomas have traditionally been characterized as lesions with low-to-medium reflectivity.13 However, up to 23% of minimally elevated tumors exhibited high reflectivity patterns, a feature observed in only 1.2% of the other groups.13 Additionally, mushroom-shaped melanomas demonstrated variations in internal reflectivity across their anatomy, with low reflectivity frequently seen at the base and high reflectivity at the apex.13

Mushroom-shaped and multilobulated tumors were commonly diagnosed at advanced stages, classified as stage IIB according to AJCC criteria (in 37% and 22% of cases, respectively). In contrast, dome-shaped and minimally elevated tumors were more frequently diagnosed at stage IA (in 44% and 51% of cases, respectively).13 Multilobulated and minimally elevated melanomas often present diagnostic challenges, especially if they are partially or mainly amelanotic, as they can be mistaken for metastatic lesions.14,15 Minimally elevated tumors tended to be located near the macula, which could explain the earlier detection.13

The majority of mushroom-shaped and multilobulated tumors presented with a basal diameter of at least 12 mm (73.9% and 84.7%, respectively), a significantly higher proportion compared with findings observed in dome-shaped (47%) and minimally elevated (35%) lesions. Moreover, mushroom-shaped lesions more frequently presented a thickness of at least 8 mm (49.6%) compared with the other groups (0% to 14%); consequently, a higher overall enucleation rate was reported in mushroom-shaped (40.3%) and multilobulated (23.5%) melanomas compared with other groups (7% to 11%).13 Survival analyses estimated that at 36 months, approximately 40% of patients with mushroom-shaped tumors would have undergone enucleation compared with 14% of those with dome-shaped lesions.13

Notably, mortality and metastasis rates were significantly higher in the multilobulated group (34% and 35%, respectively) even compared with mushroom-shaped tumors (10.9% and 19.3%, respectively), which had similar mean tumor thickness and diameter. Survival calculations estimated that 32% of patients in the multilobulated group would have developed metastasis and 27% would have passed away at 36 months. These predictions were significantly higher than those calculated for other groups, in which metastasis estimations ranged from 2.6% to 20.9% and death rates from 5.3% to 8.6% at 36 months. Hazard ratios revealed a 2.08-fold increased risk of metastasis and a 2.38-fold higher risk of death for multilobulated melanomas compared with the other groups.13 Importantly, these findings were confirmed in a multivariate analysis adjusted for tumor size; multilobulated melanomas remained an independent prognostic feature even after accounting for tumor dimensions.13

Molecular data available in 160 cases showed that a class 2 gene expression profile was more frequently associated with mushroom-shaped (31.9%) and multilobulated (14.1%) melanomas than with dome-shaped tumors (5%).13

GENES AND SHAPES

Tumors with faster growth rates typically harbor a more aggressive underlying genetic profile.1,10,11,16 The reasons why tumors adopt specific shapes remain unknown but could share a similar molecular explanation.

The worse prognosis associated with multilobulated melanomas could be due to a delay in diagnosis or referral. Nonetheless, high genetic heterogeneity within multilobulated masses should also be carefully considered.17,18 Heterogeneity seems to be more pronounced at the base of the tumor, suggesting biopsies be considered for each lobule.17,18 This approach could offer a better understanding of the genetic landscape of multilobulated tumors and help avoid underestimating the risk of metastasis. Further studies are needed to outline the genetic profile across tumor shapes and gain a deeper understanding of the pathophysiology underlying the different morphologies.

Multilobulated melanomas are seldom mentioned in the literature; therefore, heightened awareness and suspicion are crucial when encountering lesions with atypical shapes. Moreover, when genetic profiling is not readily available, certain prognostic features such as tumor size and shape, which are easily identifiable on ultrasound, may assist clinicians in tailoring treatment and surveillance strategies.

Acknowledgements: This article was made possible through CTSA Grant Number KL2 TR002379 from the National Center for Advancing Translational Science. Its contents are solely the responsibility of the authors and do not necessarily represent the official views of the National Institutes of Health. The sponsor or funding organization had no role in the design or conduct of this research.

1. Jager MJ, Shields CL, Cebulla CM, et al. Uveal melanoma. Nat Rev Dis Prim. 2020;6(1):24.

2. Branisteanu DC, Bogdanici CM, Branisteanu DE, et al. Uveal melanoma diagnosis and current treatment options (Review). Exp Ther Med. 2021;22(6):1428.

3. Solnik M, Paduszyńska N, Czarnecka AM, et al. Imaging of uveal melanoma—current standard and methods in development. Cancers (Basel). 2022;14(13):3147.

4. Shields CL, Kaliki S, Furuta M, Fulco E, Alarcon C, Shields JA. American Joint Committee on Cancer classification of posterior uveal melanoma (tumor size category) predicts prognosis in 7731 patients. Ophthalmology. 2013;120(10):2066-2071.

5. Harbour JW, Correa ZM, Schefler AC, et al. 15-Gene Expression Profile and PRAME as integrated prognostic test for uveal melanoma: first report of Collaborative Ocular Oncology Group Study No. 2 (COOG2.1). J Clin Oncol. 2024;42(28):3319-3329.

6. Walter SD, Chao DL, Feuer W, Schiffman J, Char DH, Harbour JW. Prognostic implications of tumor diameter in association with gene expression profile for uveal melanoma. JAMA Ophthalmol. 2016;134(7):734.

7. Kaiserman I, Amer R, Kaiserman N, Pe’er J. Ultrasonographic tissue characteristics of mushroom-shaped uveal melanoma. Curr Eye Res. 2005;30(3):171-177.

8. Singh N, Fonkeu Y, Lorek BH, Singh AD. Diagnostic A-scan of choroidal tumors: comparison of quantified parameters. Ocul Oncol Pathol. 2019;5(5):358-368.

9. Gill VT, Sabazade S, Herrspiegel C, et al. A prognostic classification system for uveal melanoma based on a combination of patient age and sex, the American Joint Committee on Cancer and the Cancer Genome Atlas models. Acta Ophthalmol. 2023;101(1):34-48.

10. Plasseraud KM, Wilkinson JK, Oelschlager KM, et al. Gene expression profiling in uveal melanoma: technical reliability and correlation of molecular class with pathologic characteristics. Diagn Pathol. 2017;12(1):59.

11. Shields CL, Say EAT, Hasanreisoglu M, et al. Cytogenetic abnormalities in uveal melanoma based on tumor features and size in 1059 patients: the 2016 W. Richard Green lecture. Ophthalmology. 2017;124(5):609-618.

12. Fang R, Wang H, Li Y, Liu YM, Wei WB. Regression patterns of uveal melanoma after iodine-125 plaque brachytherapy. BMC Ophthalmol. 2021;21(1):137.

13. Ramos-Dávila EM, Dalvin LA. Clinical implications of ultrasound-based morphology in choroidal melanoma. Ophthalmol Retina. 2025;9(3):263-271.

14. Mathis T, Jardel P, Loria O, et al. New concepts in the diagnosis and management of choroidal metastases. Prog Retin Eye Res. 2019;68:144-176.

15. Vishnevskia-Dai V, Zur D, Yaacobi S, Moroz I, Newman H, Neudorfer M. Optical coherence tomography: an adjunctive tool for differentiating between choroidal melanoma and metastasis [Published online ahead of print February 22, 2016]. J Ophthalmol

16. Kennedy S, Owens S, Ivers L, et al. Prognostic value of BAP1 protein expression in uveal melanoma. Am J Surg Pathol. 2024;48(3):329-336.

17. Mensink HW, Vaarwater J, Kilic¸ E, et al. Chromosome 3 intratumor heterogeneity in uveal melanoma. Invest Opthalmology Vis Sci. 2009;50(2):500-504.

18. Bagger MM. Intraocular biopsy of uveal melanoma risk assessment and identification of genetic prognostic markers. Acta Ophthalmol. 2018;96(A112):1-28.