A 7-year-old boy was referred to our clinic for an incidental finding of vitreous hemorrhage in the left eye. His parents had noted a change in his iris color from blue to green, which prompted them to seek care. The patient’s medical history included congenital bilateral hearing loss.

EXAMINATION

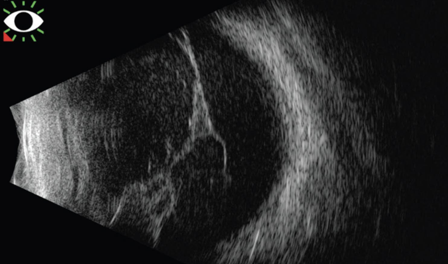
At presentation, the patient’s BCVA was light perception OS and 20/60 OD. Slit-lamp examination of the left eye showed dense vitreous hemorrhage against the posterior of the lens with no fundoscopic view. B-scan ultrasound of the left eye showed dense opacities and membranes throughout the vitreous (Figure 1). A V-shaped membrane was attached at the disc, suggestive of a funnel retinal detachment (RD).

<p>Figure 1. B-scan ultrasound of the patient's left eye showed a V-shaped membrane attached at the disc.</p>

Click to view larger

Figure 1. B-scan ultrasound of the patient's left eye showed a V-shaped membrane attached at the disc.

When faced with an abnormal presentation, a good look at the contralateral eye can help solve the mystery. A thorough fundus examination of the patient’s right eye demonstrated temporal avascularity of the retina with exudates, overlying hemorrhage, and a fibrotic preretinal band (Figure 2). Fluorescein angiography (FA) of the right eye demonstrated temporal straightening of the vessels with significant supernumerary branching and leakage (Figure 3).

<p>Figure 2. Fundus photography of the right eye showed temporal avascularity of the retina, exudates, overlying hemorrhage, and a fibrotic preretinal band.</p>

Click to view larger

Figure 2. Fundus photography of the right eye showed temporal avascularity of the retina, exudates, overlying hemorrhage, and a fibrotic preretinal band.

<p>Figure 3. FA of the right eye showed temporal vessel straightening with branching and leakage.</p>

Click to view larger

Figure 3. FA of the right eye showed temporal vessel straightening with branching and leakage.

DIAGNOSIS AND MANAGEMENT

Given the age of the patient and the abnormal FA findings of the right eye, the leading diagnosis was familial exudative vitreoretinopathy (FEVR). When considering a diagnosis of FEVR, it is important to confirm your suspicion with genetic testing and ask about the patient’s family ocular history. In our patient, genetic testing revealed a positive result of the TSPAN12 pathogenic variant, confirming FEVR.

Similar to other proliferative conditions with bilateral involvement, maintaining the eye with the best prognosis is paramount. Although there is a tendency to jump straight to surgery for the RD in the left eye, stabilizing and providing prophylactic laser for the right eye must be prioritized. In pediatric patients, this is usually best performed under general anesthesia, as was the case for this patient. An important point regarding laser is to be judicious with the power; the avascular retina is often thin, and high-energy laser may create holes and trigger more membrane proliferation.

Examination under anesthesia was necessary to provide a more detailed assessment of the left eye for prognostication. With the limited ultrasound, it appeared that the retina was taut and likely inoperable. However, findings obtained under anesthesia were more consistent with a very dense, partially mobile vitreous hemorrhage with a low-lying tractional RD. A follow-up surgical procedure was subsequently scheduled. In cases when the need for surgery is unknown, we recommend avoiding performing the examination under anesthesia and surgery on the same day. This allows time for proper consent, planning, and preparation for postoperative management. An added benefit is a predictable procedure time for the OR schedule.

Intraoperatively, there are a few important considerations. The first decision is whether to remove the lens. Generally, sparing the lens is helpful for promoting visual development, maintaining a posterior chamber for a tamponade, protecting the cornea, and preventing aphakic glaucoma.1-3 Although there was some blood on the posterior surface of the lens, a vitrectomy was performed with limited visualization (Video). A temporal tractional RD was observed with two dense fibrous bands from the nerve to the temporal periphery. Surgeons should be as minimally invasive as possible to avoid retinal breaks. It is not necessary to lift the hyaloid or remove all of the hemorrhage. The primary aims are to clear the visual axis, relieve traction, and apply laser to prevent neovascular complications. Furthermore, adding a scleral buckle is important, as much of the traction is anterior to the equator. Laser was applied to the avascular retina, and because no breaks were created, air was used.

Video. Vitrectomy for Tractional Retinal Detachment Associated With FEVR.


 

OUTCOME

At the patient’s final follow-up more than 2 years after presentation, his right eye remained stable following the laser treatment, with noted regression of the neovascularization. If traction worsens in the future, a prophylactic scleral buckle will be considered.

The left retina remained attached with improvement in vision from light perception to counting fingers at 3 ft. The patient developed a cataract in the left eye, so we conducted cataract surgery and placed an intraocular lens with a concurrent posterior capsulotomy, which prevents visual axis opacification.4 Because FEVR can reactivate over time, continued follow-up is required.

1. Ozdek S, Tefon Aribas AB, Atalay HT. Peripheral and central retinal vascular changes in asymptomatic family members of patients with familial exudative vitreoretinopathy. Graefes Arch Clin Exp Ophthalmol. 2023;261(12):3449-3456.

2. Sing R, Barker L, Chen SI, Shah A, Long V, Dahlmann-Noor A. Surgical interventions for bilateral congenital cataract in children aged two years and under. Cochrane Database Syst Rev. 2022;9(9):CD003171.

3. Lambert SR, Aakalu VK, Hutchinson AK, et al. Intraocular lens implantation during early childhood: a report by the American Academy of Ophthalmology. Ophthalmology. 2019;126(10):1454-1461.

4. Wilson Jr ME, Trivedi RH. Management of the posterior capsule in pediatric cataract surgery. American Academy of Ophthalmology. July 1, 2006. Accessed May 14, 2025. www.aao.org/education/current-insight/management-of-posterior-capsule-in-pediatric-catar