Acute macular neuroretinopathy (AMN)/acute macular outer retinopathy (AMOR) was first reported in 1975. Although the pathophysiology of this condition is unclear, it has been associated with movascular abnormality in the deep retinal layers, mainly ischemia of the deep capillary plexus.1

AMN/AMOR is most common in healthy women in their teens to 30s and usually presents with sudden onset of a single or multiple paracentral scotomas, shadows/spots, mild decreased visual acuity, floaters, metamorphopsia, and photopsia.1 AMN/AMOR can be unilateral or bilateral and can persist indefinitely, although most cases resolve partially over months. Although a preceding viral illness is the most common reported association, AMN/AMOR has been reported in association with oral contraceptive use, significant caffeine consumption, use of epinephrine, hypotensive episodes, and COVID-19 infection or vaccination.1

Here, we discuss a case of bilateral AMN/AMOR in a middle-aged man who presented with acute blurry vision and distortion after taking weightlifting supplements.

CASE REPORT 

A 52-year-old White man presented to our urgent care clinic with a chief complaint of having a teardrop-shaped distortion and blurriness in his left eye, which started 3 days earlier. The patient denied any problem with his right eye. He had a medical history of hypertension, for which he was taking oral losartan. He also had a history of chronic posttraumatic stress disorder, panic disorder, seborrheic keratosis, and depression, but he was not taking medication for these conditions. He reported no medical history of trauma, sleep apnea, obesity, cigarette smoking, cancer, or infectious, inflammatory, or autoimmune conditions. He stated that he has had one cup of coffee daily for the past 30 years. He denied any history of COVID-19 infection and had not received the COVID-19 vaccine.

His ocular history included hypertensive retinopathy in each eye and hemorrhagic posterior vitreous detachment in his left eye. The patient had been lifting heavy weights for years. However, he started taking weightlifting supplements that included selective androgen receptor modulators (SARMs) 2 weeks prior to the onset of visual symptoms. He did not report any change in his weightlifting routine around the time of his visual symptoms, which could have also potentially explained the symptoms.

EXAMINATION FINDINGS 

On examination, his BCVA was 20/20-3 OU. His IOP was 15 mm Hg OD and 17 mm Hg OS. His extraocular movements were intact, and his pupils were round and reactive with no relative afferent pupillary defect. Examination of the anterior chamber was unremarkable, except for mild nuclear sclerosis cataract in each eye.

Dilated fundus examination showed no vitreous cell, a cup-to-disc ratio of 0.1 OU, a flat retina in each eye, and normal retinal vessels in his right eye. In the left eye, examination revealed temporal arteriovenous anastomosis with regressed peripheral neovascularization elsewhere and prior sectoral laser. No clinically significant macular edema, neovascularization, or hemorrhage was noted in either eye. There was an area with a red-brown appearance adjacent to the fovea in a wedge-shaped pattern in the left eye, as well as a faint red-brown spot in his right eye.

OCT showed a slightly altered ellipsoid zone inferior to the foveal avascular zone in his right eye and altered outer retinal layers in the pattern of a teardrop in his left eye (Figure 1). OCT angiography was unremarkable in each eye with bilateral intact deep capillary plexus. Amsler grid was unremarkable in his right eye and showed a teardrop-shaped scotoma in his left eye. Because the patient had no cystoid macular edema, subretinal fluid, and/or retinal detachment, our management consisted of close observation with serial dilated fundus examinations. In addition, we recommended the patient discontinue the weightlifting supplements.

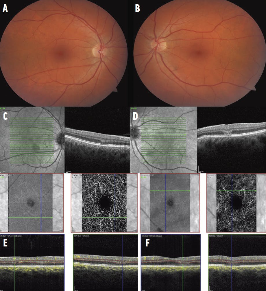
<p>Figure 1. Fundus imaging of the right (A) and left (B) eye showed teardrop wedge-shaped areas that are more evident on the infrared reflectance images (C and D, respectively) as hypoautofluorescent wedge-shaped lesions and hyperreflective outer retinal lesions on OCT. OCT angiography of the right (E) and left (F) eye showed a bilateral intact deep capillary plexus.</p>

Click to view larger

Figure 1. Fundus imaging of the right (A) and left (B) eye showed teardrop wedge-shaped areas that are more evident on the infrared reflectance images (C and D, respectively) as hypoautofluorescent wedge-shaped lesions and hyperreflective outer retinal lesions on OCT. OCT angiography of the right (E) and left (F) eye showed a bilateral intact deep capillary plexus.

Follow-up Visits

After 2 weeks, the patient reported stable vision with an improvement in the scotoma. OCT showed an improvement in the altered ellipsoid zone and outer retinal layer in each eye (Figure 2). At the 6 week visit, he reported stable vision and complete resolution of the scotoma in the left eye. His BCVA was 20/20 OU, and fundus examination showed fading of the teardrop-shaped lesion. OCT showed improvement in the ellipsoid zone and outer retinal layers in each eye.

<p>Figure 2. OCT of the right (A and C) and left (B and D) eye at the 2-week and 6-week follow-up visits, respectively, after discontinuing the weightlifting supplement.</p>

Click to view larger

Figure 2. OCT of the right (A and C) and left (B and D) eye at the 2-week and 6-week follow-up visits, respectively, after discontinuing the weightlifting supplement.

DISCUSSION 

AMN/AMOR affects the outer retina and can be diagnosed with multimodal imaging. The underlying pathophysiology of AMN/AMOR is still unclear; however, imaging has demonstrated the condition locus to be the outer retina, deep capillary plexus, and/or choroid.2 Microvascular ischemia of the choriocapillaris may lead to middle and outer retinal layer hypoxia.3 AMN/AMOR is identified by the characteristic appearance of wedge-shaped parafoveal lesions. On OCT, it can present with outer layer hyperreflectivity starting in the outer plexiform layer, which, over time, may lead to outer retinal layer thinning and disruption of the outer segments and retinal pigment epithelium.3 Outcomes generally vary from persistent scotomas to complete visual recovery, and side effects may last from weeks to months.1

Although AMN/AMOR is often associated with preceding flu-like illness, it can occur after oral contraceptive consumption, high caffeine consumption, antecedent trauma, hypotensive episodes, pregnancy-induced hypertension, epinephrine and pseudoephedrine use, and COVID-19 infection and/or vaccination.4,5

SARMs, an ingredient in the supplement the patient was taking, have been reported to increase the risk of cardiovascular disease.6 It has been proposed that high levels of androgen system signaling can lead to endothelial dysfunction. We propose that this SARM-induced endothelial dysfunction may have led to reduced ocular blood supply with subsequent development of AMN/AMOR. In addition, there is a case report on the occurrence of AMN following weightlifting itself,7 and, although it is unclear whether the weightlifting supplement was the causative agent or merely a coincidence, the occurrence of AMN/AMOR shortly after starting the supplement and the resolution after stopping the agent raises concerns for a potential causal association.

IMPORTANT TO RULE OUT 

Although there is no treatment for AMN/AMOR, the diagnosis is necessary to differentiate from the more serious paracentral acute middle maculopathy, as well as for patient reassurance and to limit unnecessary further workup.

1. Bhavsar KV, Lin S, Rahimy E, et al. Acute macular neuroretinopathy: A comprehensive review of the literature. Surv Ophthalmol. 2016;61(5):538-565.

2. Lee SY, Cheng JL, Gehrs KM, et al. Choroidal features of acute macular neuroretinopathy via optical coherence tomography angiography and correlation with serial multimodal imaging. JAMA Ophthalmol. 2017;135(11):1177-1183. Erratum in: JAMA Ophthalmol. 2017;135(11):1282.

3. Thanos A, Faia LJ, Yonekawa Y, Randhawa S. Optical coherence tomographic angiography in acute macular neuroretinopathy. JAMA Ophthalmol. 2016;134(11):1310-1314.

4. Turbeville SD, Cowan LD, Gass JD. Acute macular neuroretinopathy: a review of the literature. Surv Ophthalmol. 2003;48(1):1-11.

5. Dinh RH, Tsui E, Wieder MS, et al. Acute macular neuroretinopathy and coronavirus disease 2019. Ophthalmol Retina. 2023;7(2):198-200.

6. Hall E, Vrolijk MF. Androgen receptor and cardiovascular disease: a potential risk for the abuse of supplements containing selective androgen receptor modulators. Nutrients. 2023;15(15):3330.

7. Agarwal S, Nayak MA, Luthra S, Parakh S. Acute macular neuroretinopathy following Valsalva manoeuvre: an insight into the pathophysiology. BMJ Case Rep. 2024;17(5):e256685.