Posterior placoid changes (PPC) are an uncommon clinical finding characterized by large, yellow-white circular inflammatory lesions in the posterior pole that affect the outer retinal layers, retinal pigment epithelium (RPE), and underlying choriocapillaris.1,2 Acute syphilitic posterior placoid chorioretinitis has been well documented in the literature and remains at the top of the differential in its association with PPC.3,4 Other ocular diseases on the differential for PPC include tuberculous chorioretinitis, acute posterior multifocal placoid pigment epitheliopathy, persistent placoid maculopathy, serpiginous choroiditis, multifocal choroiditis, cancer-associated retinopathy, and more.5,6

PPC has yet to be well described in association with nutritional deficiencies. In this article, we describe an interesting case of a patient with a history of hepatic malignancy in remission who presented with bilateral PPC and a unilateral macular hole in the setting of underlying vitamin A deficiency.

CASE REPORT 

A 72-year-old pseudophakic man with a history of hepatocellular carcinoma (HCC) in remission was referred to our retina clinic for a macular hole in his right eye and dry AMD in each eye. He described symptoms of dry eyes, decreased night vision, and overall worsening vision in each eye for 1 year. On review of systems, he reported a 3-week rash on his ankle and had generally felt unwell for several months prior to presentation.

Examination Findings

His BCVA was 20/60 OD and 20/50 OS, and Ishihara color plates were 1/15 OU. On anterior examination, each eye had significant punctate epithelial erosions but no signs of anterior uveitis. Posterior examination revealed subtle, well-circumscribed, hypopigmented placoid-like lesions in the posterior pole of each eye, which appeared diffusely hypoautofluorescent on fundus autofluorescence (FAF). In the peripheral retina, there were numerous, scattered, yellow-white punctate drusenoid deposits in each eye, corresponding to a mottled appearance on FAF. OCT identified a stage 2 full-thickness macular hole with trace cystoid macular edema in his right eye and focal RPE detachment in his left eye; furthermore, each eye showed diffuse outer nuclear layer attenuation, external limiting membrane disruption, ellipsoid zone loss, and mottled RPE changes (Figures 1 and 2).

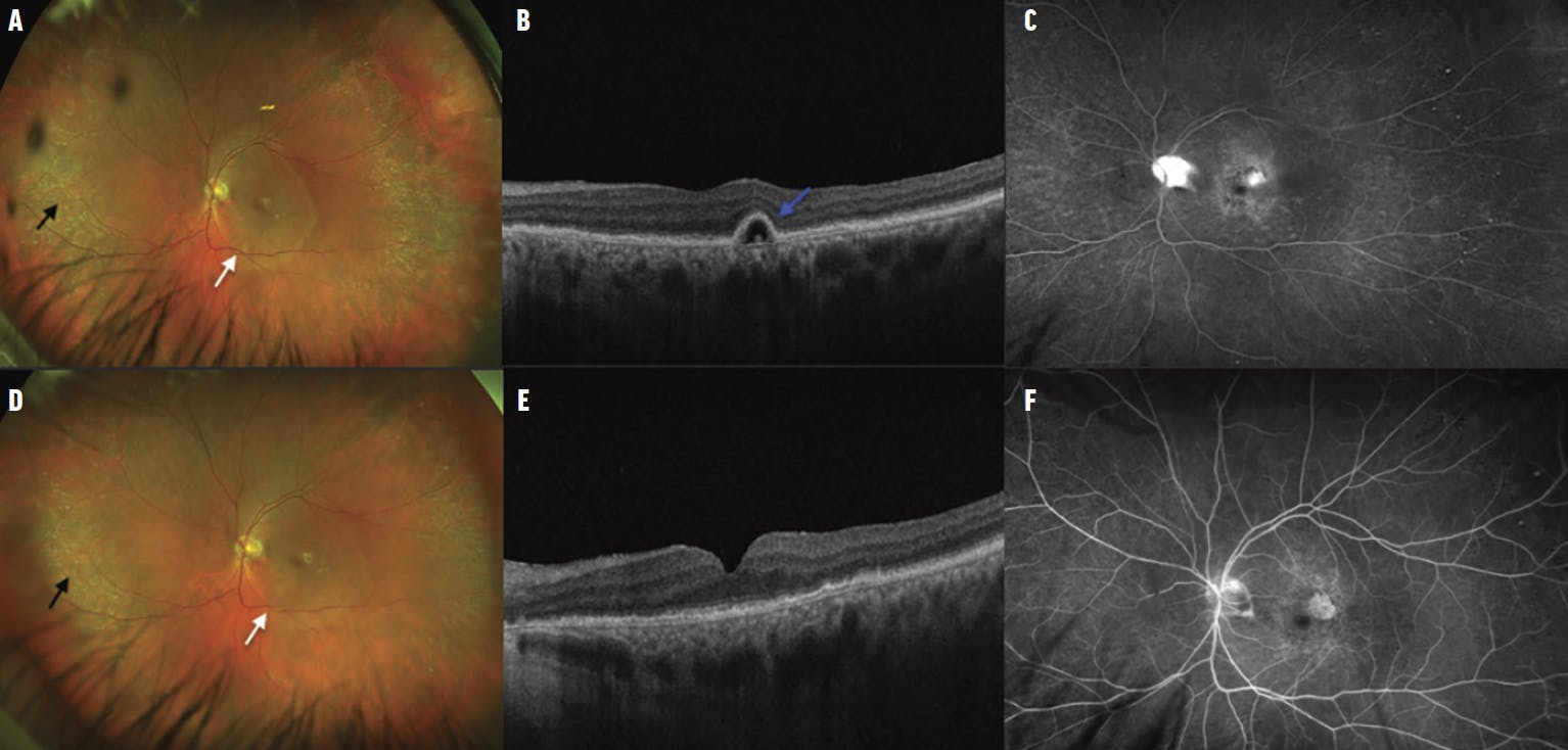
<p>Figure 1. Fundus photography, OCT, and FA of the right eye were obtained at presentation (A-C) and 2 months post-vitamin A repletion (D-F). Fundus photography showed a faint, well circumscribed placoid-like lesion (A and D, white arrows) in the posterior pole, as well as peripheral yellow-white lesions (A and D, black arrows). OCT showed a stage 2 full-thickness macular hole (B, blue arrow), diffuse outer layer attenuation, external limiting membrane disruption, ellipsoid zone loss, and RPE mottling. OCT findings improved after vitamin A repletion (E). Late-phase FA showed disc leakage (C) with stippled hyperfluorescence and staining throughout the posterior pole, with less distinct margins and less disc leakage after initiation of vitamin A supplementation (F).</p>

Click to view larger

Figure 1. Fundus photography, OCT, and FA of the right eye were obtained at presentation (A-C) and 2 months post-vitamin A repletion (D-F). Fundus photography showed a faint, well circumscribed placoid-like lesion (A and D, white arrows) in the posterior pole, as well as peripheral yellow-white lesions (A and D, black arrows). OCT showed a stage 2 full-thickness macular hole (B, blue arrow), diffuse outer layer attenuation, external limiting membrane disruption, ellipsoid zone loss, and RPE mottling. OCT findings improved after vitamin A repletion (E). Late-phase FA showed disc leakage (C) with stippled hyperfluorescence and staining throughout the posterior pole, with less distinct margins and less disc leakage after initiation of vitamin A supplementation (F).

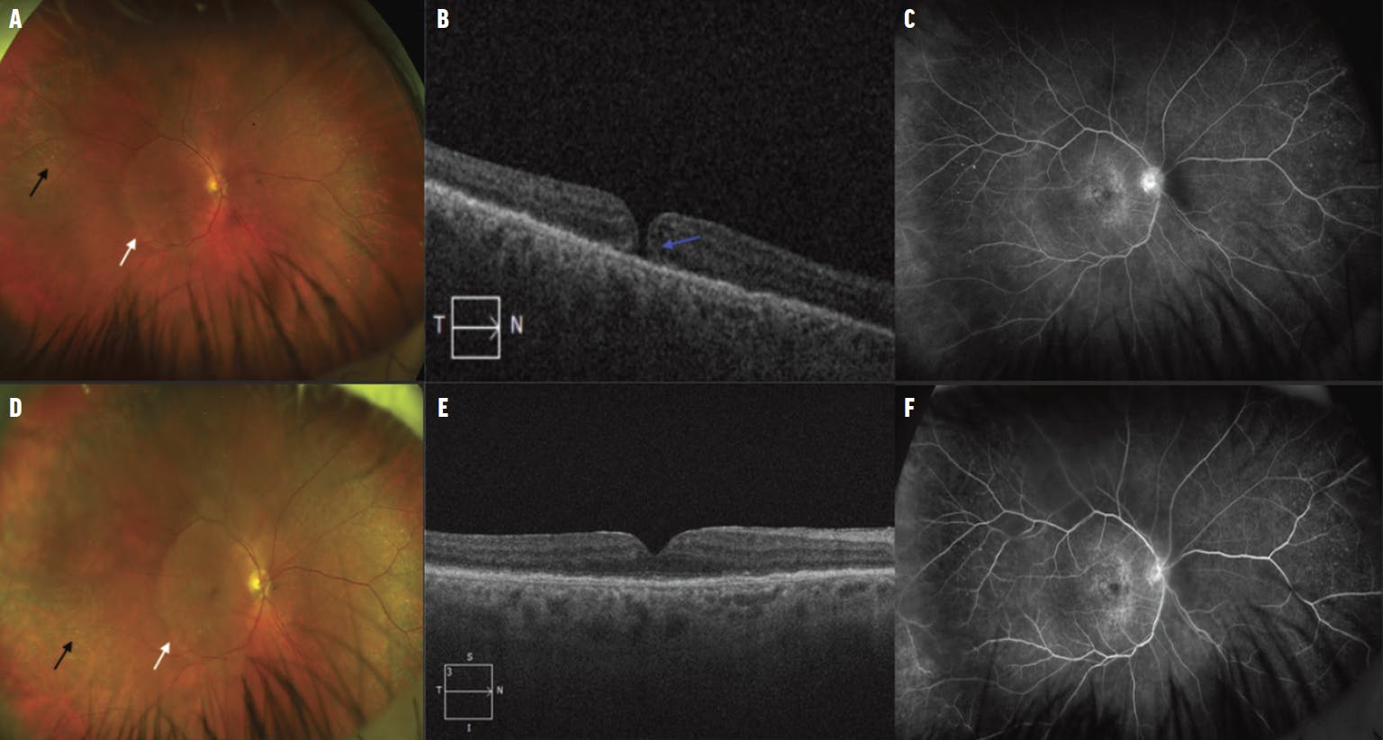
<p>Figure 2. Fundus photography, OCT imaging, and FA of the left eye obtained at presentation (A-C) and 2 months post-vitamin A repletion (D-F) showed similar findings and improvements as was seen in the right eye. Fundus photography showed a faint, well circumscribed placoid-like lesion (A and D, white arrows) and peripheral yellow-white lesions (A and D, black arrows). OCT showed a serous pigment epithelium detachment (B, blue arrow) that improved with supplementation (E). Similar to the right eye, late-phase FA showed disc leakage (C) with stippled hyperfluorescence and staining, with improvement after vitamin A supplementation (F).</p>

Click to view larger

Figure 2. Fundus photography, OCT imaging, and FA of the left eye obtained at presentation (A-C) and 2 months post-vitamin A repletion (D-F) showed similar findings and improvements as was seen in the right eye. Fundus photography showed a faint, well circumscribed placoid-like lesion (A and D, white arrows) and peripheral yellow-white lesions (A and D, black arrows). OCT showed a serous pigment epithelium detachment (B, blue arrow) that improved with supplementation (E). Similar to the right eye, late-phase FA showed disc leakage (C) with stippled hyperfluorescence and staining, with improvement after vitamin A supplementation (F).

Fluorescein angiography (FA) revealed early hypofluorescence throughout the posterior pole with distinct outer round margins in each eye and stippled hyperfluorescence and late staining with late disc leakage in each eye. ICG angiography was unremarkable.

Further Workup

The patient denied any history of syphilis, tuberculosis, or family history of retinal disease. He was advised to present to the emergency department to complete occult infectious, inflammatory, and paraneoplastic workup. However, he left against medical advice prior to completing this workup; 2 months later he was evaluated by a uveitis specialist due to his VA worsening to 20/200 OD and 20/100 OS. His repeat retinal examination was unchanged, other than worsening outer retinal disruption on macular OCT in each eye. An electroretinogram (ERG) showed extinguished rod and cone responses, delayed a-waves on full-field ERG, and diffuse macular depression on multifocal ERG in each eye. He was again advised to complete the laboratory workup and to follow up with his medical oncologist to ensure stable remission of HCC.

Systemic workup was eventually completed, which revealed negative fluorescent treponemal antibody absorption, rapid plasma reagin, interferon-gamma release assay, HLA-A29, antinuclear antibody, rheumatoid factor, angiotensin-converting enzyme, and Lyme testing. His liver enzymes were at baseline, and HCC was found to be stable, per his oncologist. Unexpectedly, he was found to have a severely low vitamin A level (6.2 μg/dL, reference range 22.0 μg/dL – 69.5 μg/dL).

The patient was started on vitamin A supplementation 50,000 units via intramuscular delivery weekly with transition to oral repletion.

Follow-Up

Six weeks later, he subjectively reported improvements in nyctalopia, dry eyes, and general fatigue. His serum vitamin A level raised to 11.9 μg/dL, and his BCVA improved to 20/50 OD and 20/40 OS. There were fewer distinct placoid-like macular lesions in each eye and decreased disk leakage on FA. Interestingly, on OCT, the macular hole in the right eye had closed without pharmacologic (topical) or surgical intervention.

Three months later, his vitamin A level was 22.3 μg/dL. Repeat ERG post-vitamin A repletion showed significant improvement in rod and cone function. His BCVA improved to 20/30 OU, and Ishihara color plate testing was 5/15 in each eye.

VITAMIN A AND VISION 

Vitamin A is a fat-soluble vitamin that serves an important role in visual phototransduction and maintaining conjunctival and corneal epithelium health.7 In the United States, gastrointestinal (GI) malabsorption resulting from conditions such as inflammatory bowel disease, Celiac disease, or bariatric surgery is the most common cause of vitamin A deficiency.8 Vitamin A is stored in the liver; thus, patients with hepatobiliary disease, as was the case presented here, have poor reserve to begin with.9

Symptoms of vitamin A deficiency include nyctalopia, fatigue, and decreased vision, while associated anterior examination findings include conjunctival xerosis, Bitot spots, and keratomalacia.10,11 Retinal findings are typically described as multiple round, yellow-white lesions in the macula and midperiphery.12,13 OCT findings typically include subretinal hyperreflective deposits alongside complete RPE and outer retinal atrophy.14 Repletion with vitamin A typically reverses these clinical findings and symptoms.11 Interestingly, there are no standardized guidelines for routine screening of vitamin A deficiency in patients with GI comorbidities.15

While posterior placoid changes have been documented in association with many diseases including syphilis, tuberculosis, and inflammatory white-dot syndromes, PPC and macular hole have not been well described in association with vitamin A deficiency.

Macular holes and cystoid macular edema have also not been associated with vitamin A deficiency.16 As vitamin A deficiency has been described in the literature in association with atrophic changes in the RPE, it is possible that a similar process could have caused a full-thickness macular hole to form over time, which subsequently closed with repletion.17

THOROUGH WORKUP IS WARRANTED 

Bilateral placoid lesions in the retina often point to systemic etiologies and should be worked up for infectious, inflammatory, autoimmune, and paraneoplastic causes. In patients with GI comorbidities who describe general fatigue, nyctalopia, and progressively worsening vision, consider vitamin A deficiency as an underlying etiology. Early detection and vitamin A repletion can prevent permanent retinal injury and lead to significant visual improvement.

1. Chao JR, Khurana RN, Fawzi AA, Reddy HS, Rao NA. Syphilis: reemergence of an old adversary. Ophthalmology. 2006;113(11):2074-2079. 

2. Eandi CM, Neri P, Adelman RA, Yannuzzi LA, Cunningham ET Jr; International Syphilis Study Group. Acute syphilitic posterior placoid chorioretinitis: report of a case series and comprehensive review of the literature. Retina. 2012;32(9):1915-1941. 

3. DeVience EX, Schechet SA, Carney M, et al. Syphilitic retinitis presentations: punctate inner retinitis and posterior placoid chorioretinitis. Int Ophthalmol. 2021;41(1):211-219. 

4. Wells J, Wood C, Sukthankar A, Jones NP. Ocular syphilis: the re-establishment of an old disease. Eye (Lond). 2018;32(1):99-103.

5. Olguín-Manríquez F, Cernichiaro-Espinosa L, et al. Unilateral acute posterior multifocal placoid pigment epitheliopathy in a convalescent COVID-19 patient. Int J Retina Vitreous. 2021;7(1):41.

6. Wilson CA, Choromokos EA, Sheppard R. Acute posterior multifocal placoid pigment epitheliopathy and cerebral vasculitis. Arch Ophthalmol. 1988;106(6):796-800.

7. Sajovic J, Meglič A, Glavač D, Markelj Š, Hawlina M, Fakin A. The role of vitamin A in retinal diseases. Int J Mol Sci. 2022;23(3):1014.

8. Hodge C, Taylor C. Vitamin A deficiency. January 2, 2023. In: StatPearls. Treasure Island (FL): StatPearls.

9. Blaner WS, Li Y, Brun PJ, Yuen JJ, Lee SA, Clugston RD. Vitamin A absorption, storage and mobilization. Subcell Biochem. 2016;81:95-125.

10. O’Neill EK, Smith R. Visual electrophysiology in the assessment of toxicity and deficiency states affecting the visual system. Eye (Lond). 2021;35(9):2344-2353.

11. McBain VA, Egan CA, Pieris SJ, et al. Functional observations in vitamin A deficiency: diagnosis and time course of recovery. Eye (Lond). 2007;21(3):367-376.

12. Aleman TS, Garrity ST, Brucker AJ. Retinal structure in vitamin A deficiency as explored with multimodal imaging. Doc Ophthalmol. 2013;127(3):239-243.

13. Zatreanu L. Macular thickness analysis and resolution of subretinal drusenoid deposits with optical coherence tomography in vitamin A deficiency-related retinopathy. Am J Ophthalmol Case Rep. 2021;21:101023.

14. Levine DA, Mathew NE, Jung EH, et al. Characteristics of vitamin A deficiency retinopathy at a tertiary referral center in the United States. Ophthalmol Retina. 2024;8(2):126-136.

15. Song A, Mousa HM, Soifer M, Perez VL. Recognizing vitamin A deficiency: special considerations in low-prevalence areas. Curr Opin Pediatr. 2022;34(2):241-247.

16. Lai EW, Dinh RH, Do BK, Schechet SA. Posterior placoid-like maculopathy and macular hole associated with vitamin A deficiency. Am J Ophthalmol Case Rep. 2022;29:101772.

17. Zhang D, Robinson K, Washington I. C20D3-vitamin A prevents retinal pigment epithelium atrophic changes in a mouse model. Transl Vis Sci Technol. 2021;10(14):8.