AT A GLANCE

  • Three therapies are in phase 3 trials for diabetic retinopathy (DR) and diabetic macular edema (DME): KSI-301 (tarcocimab tedromer, Kodiak Sciences), OCS-01 (Oculis), and EYE103/MK-3000 (Restoret, EyeBio/Merck).
  • Companies are also exploring novel delivery methods, including topical, oral, subcutaneous, intravitreal implants, suprachoroidal, periocular, and subretinal.
  • Gene therapies for DR/DME, including ABBV-RGX-314 (Abbvie/Regenxbio) and 4D-150 (4D Molecular Therapeutics), are showing promise.

Diabetic retinopathy (DR) and diabetic macular edema (DME) are leading causes of vision loss in working-age individuals.1 Current treatments include anti-VEGF injections and panretinal photocoagulation. However, many patients experience treatment-resistant disease and significant injection burden (Figure). Recent clinical trials have examined novel drugs that target pathways other than VEGF or use alternative delivery methods to improve outcomes and extend treatment intervals. Here, we review the many therapies making their way through the clinical trial pipeline for DR and DME (Table).

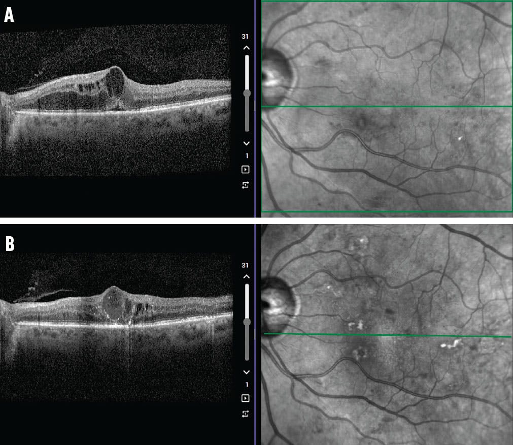
<p>Figure. This patient presented with center-involving DME and a baseline VA of 20/40 (A). Three years later (B), his VA is 20/50 after 11 anti-VEGF injections, eight dexamethasone implants, and focal laser treatment. He continues receiving treatment due to persistent center-involving DME, highlighting the need for more durable treatment options.</p>

Click to view larger

Figure. This patient presented with center-involving DME and a baseline VA of 20/40 (A). Three years later (B), his VA is 20/50 after 11 anti-VEGF injections, eight dexamethasone implants, and focal laser treatment. He continues receiving treatment due to persistent center-involving DME, highlighting the need for more durable treatment options.

INTRAVITREAL INJECTION

KSI-301 (tarcocimab tedromer, Kodiak Sciences) is an anti-VEGF antibody biopolymer conjugate that inhibits all VEGF-A isoforms. In the phase 3 GLOW1 trial (NCT05066230), 41.1% of patients with DR treated with KSI-301 achieved a ≥ 2-step Diabetic Retinopathy Severity Scale improvement at 48 weeks compared with 1.4% in the sham group. The phase 3 GLOW2 trial (NCT06270836) design closely follows the successful GLOW1 study but includes three monthly loading doses instead of two.2

EYE103/MK-3000 (Restoret, EyeBio/Merck) is a tetravalent, tri-specific antibody that activates the Wnt signaling pathway. The phase 2b/3 BRUNELLO study (NCT06571045) is comparing EYE103 with ranibizumab (Lucentis, Genentech/Roche) in patients with DME. The primary outcome measures are safety and mean change in visual acuity from baseline to week 52.3

AG-73305 (Allgenesis Biotherapeutics) is an Fc-fusion protein that blocks both VEGF and integrin pathways. In the phase 2a trial for DME (NCT05301751), AG-73305 led to a statistically significant increase in visual acuity of 6.4 ETDRS letters and a mean central subfield thickness (CST) reduction of 100 μm at 4 weeks following a single injection. By week 24, more than 50% of patients did not require any supplemental injections.4 The company is pursuing a phase 2b trial.5

Vamikibart (Genentech/Roche) is a monoclonal antibody that inhibits interleukin-6. The phase 2 trial (NCT05151744) revealed that combining vamikibart with ranibizumab did not provide significantly greater improvements in visual acuity compared with ranibizumab alone in patients with DME.6 A second completed phase 2 trial (NCT05151731) evaluated the safety and efficacy of vamikibart alone compared with ranibizumab; results are pending.

RO7446603 (Genentech/Roche) is being tested for the treatment of DME. Part 1 of the phase 1/2 THAMES study (NCT06850922), focused on safety, is complete with results pending. Part 2 is recruiting and will evaluate the efficacy of RO7446603 in combination with faricimab (Vabysmo, Genentech/Roche) administered as a single injection.

EYE201 (tiespectus, EyeBio/Merck) is a proprietary intravitreal injection under investigation for the treatment of DME, branch retinal vein occlusion (BRVO), and wet AMD. Part 1 of the phase 1/2a study (NCT06664502) is evaluating the safety of multiple ascending doses in patients with BRVO. Part 2 will assess the safety and effectiveness of two doses of EYE201 in patients with DME and wet AMD.

INTRAVITREAL IMPLANTS

EYP-1901 (Duravyu, EyePoint) is a sustained-release intravitreal implant that delivers vorolanib, a selective tyrosine kinase inhibitor. The phase 2 VERONA trial (NCT06099184) achieved its primary outcome by demonstrating that both doses of EYP-1901 (1.3 mg and 2.7 mg) significantly delayed the need for a supplemental injection compared with the 2 mg aflibercept (Eylea, Regeneron) control in patients with DME.7 The 2.7 mg dose demonstrated an early and sustained 7.1 letter gain at 24 weeks with a 76 μm reduction in CST.7 The company is planning a phase 3 trial, expected to begin by the end of 2025 or early 2026.7

PER-001 (Perfuse Therapeutics) is an endothelin receptor antagonist in a sustained-release intravitreal implant for DR. In the phase 2a trial (NCT06003751), PER-001 showed improvements in contrast sensitivity, peripheral vision, and retinal structure, including reduced macular ischemia, leakage, and microaneurysm burden, compared with sham.8,9 The company is pursuing a phase 2b trial.8

EC-104 (Eclipse Life Sciences) is an extended release fluocinolone acetonide implant intended to treat DR and center-involving DME. The phase 2 BETTIS-1 trial (NCT06536491) is comparing two doses of EC-104 with the dexamethasone implant (Ozurdex, Abbvie) in patients who previously showed a suboptimal response to anti-VEGF therapy and have a history of local corticosteroid treatment without significant increases in IOP.

A NOVEL MOA AT PLAY

By Sumit Sharma, MD

Tyrosine kinase inhibitors (TKI) bind to the active site of tyrosine kinases, preventing them from phosphorylating other proteins. Vorolanib (Duravyu, EyePoint Pharmaceuticals) is a VEGF TKI that has also been found to block janus kinase 1, which in turn blocks the activity of interleukin-6 (IL-6), a proinflammatory cytokine implicated in the development of macular edema. IL-6 is upregulated in many patients with diabetic macular edema, and by blocking both VEGF and IL-6, vorolanib may have a greater effect on DME compared with anti-VEGF alone.

Sumit Sharma, MD
Vitreoretinal Surgeon, Cole Eye Institute, Cleveland Clinic, Cleveland
sumitsharma.md@gmail.com
Financial disclosure: Consultant (Abbvie, Alimera, Apellis, Astellas, Bausch + Lomb, Clearside, Eyepoint, Genentech/Roche, Regeneron, Regenxbio, Ripple)

SUPRACHOROIDAL DELIVERY

OXU-001 (Dexaspheres, Regeneron) is a sustained-release formulation of dexamethasone delivered with the suprachoroidal Oxulumis device (Regeneron). The phase 2 trial (NCT05697809) aimed to assess two different doses in patients with DME in part A, and then compare it with the dexamethasone implant (Ozurdex, Abbvie) in part B. Recruitment was halted for non-safety reasons after three patients were treated in part A; part B was not initiated. No serious adverse events or device effects were reported.

The phase 2 CAPE study (NCT05512962) evaluated the Oxulumis device in its delivery of triamcinolone acetonide (Triesence, Harrow) in patients with DME. None of the 25 patients experienced serious ocular or systemic adverse events or adverse device effects by week 24. Patients who received 2.4 mg and 4.0 mg doses experienced CST reductions of 62.5 μm and 127.7 μm, respectively, and improvements of 4.8 ETDRS and 11.0 ETDRS letters at 24 weeks.10

TOPICAL DRUGS

OCS-01 (Oculis) is a 15 mg/ml dexamethasone ophthalmic solution intended for the treatment of DME. In the phase 2/3 DIAMOND-1 trial (NCT05066997), participants received OCS-01 or placebo eye drops six times daily during a 6-week loading phase, followed by three times daily during a 6-week maintenance phase. Stage 1 of the trial met its primary and secondary outcomes, with the treatment group experiencing significant improvements in BCVA and reductions in CST compared with placebo at week 12.11 Stage 2 of the trial is evaluating treatment out to 52 weeks. The phase 3 DIAMOND-2 trial (NCT06172257) is also evaluating patients over a 52-week period with results expected in 2026.12

INV-102 (Invirsa) is a topical ophthalmic solution used for DME associated with nonproliferative DR (NPDR). The phase 2 clinical trial (NCT06599684) is assessing the efficacy of INV-102 in patients with both non-center-involving and center-involving DME over 8 and 12 weeks, respectively. INV-102 will be given three times daily for a 2-week loading period, followed by twice daily.

STALLED PROGRAMS

UBX1325 (Foselutoclax, Unity Biotechnology) is a small-molecule, B-cell lymphoma-extra-large inhibitor that targets senescent cells. In the completed phase 2b ASPIRE trial for DME (NCT06011798), UBX1325 achieved visual acuity gains comparable with 2 mg aflibercept (Eylea, Regeneron) at nine of 10 assessed timepoints through week 36 but just missed the noninferiority threshold for the primary endpoint.1

OPL-0401 (Valo Health) is a nonselective Rho kinase 1 and 2 inhibitor. Although the phase 2 Spectra trial (NCT05393284) did not meet its primary or secondary objectives, post-hoc analyses suggest that one dose, tested in a small number of patients, could help slow disease progression in DR. Thus, the company is seeking a partner to continue its development.2

1. UNITY Biotechnology announces topline results from the ASPIRE phase 2b study in diabetic macular edema [press release]. UNITY Biotechnology. March 24, 2025. Accessed August 20, 2025. tinyurl.com/mtcwp7td

2. Valo Health announces topline results from phase 2 SPECTRA study of OPL-0401 in patients with diabetic retinopathy [press release]. Valo Health. December 31, 2024. Accessed August 20, 2025. tinyurl.com/65asxn3r

ORAL OPTIONS

Tonabersat (Jaeb Center for Health Research), an orally administered connexin43 hemichannel inhibitor originally used for neurological conditions, is now under investigation for DME. The phase 2 Protocol AN (NCT05727891) trial is evaluating the effect of tonabersat (80 mg twice daily) on CST in patients with center-involving DME who have good visual acuity compared with placebo over a 6-month period.

CU06-1004 (Curacle) is an endothelial dysfunction blocker that inhibits retinal vascular leakage induced by VEGF and angiopoietin-2.13 In the completed phase 2a trial (NCT05573100), dose-dependent improvements in BCVA were observed in patients with DME, with the highest dose group (300 mg) achieving a gain of 5.8 letters. CST remained stable for all dose cohorts at 12 weeks. The company is planning for phase 2b and 3 studies.14

VX-01 (Vantage Biosciences) is an orally administered small-molecule therapy designed to target amine oxidase copper-containing 3, which drives neovascular inflammation in NPDR.15 The phase 2 trial (NCT06770933) is evaluating the efficacy of daily doses of VX-01 versus placebo after 52 weeks.

GENE THERAPIES

ABBV-RGX-314 (Abbvie/Regenxbio) is a one-time gene therapy that uses a transgene to produce an anti-VEGF antibody fragment. Two phase 2 trials—ALTITUDE (NCT04567550) and ELAAVATE (NCT06942520)—are evaluating suprachoroidal and subretinal administration, respectively, in patients with DR and DME. Preliminary 1-year results from ALTITUDE show that the treatment was well tolerated, slowed disease progression, and reduced vision-threatening events in patients with NPDR.16

4D-150 (4D Molecular Therapeutics) is an intravitreal injection that delivers two transgenes encoding aflibercept and an miRNA sequence targeting VEGF-C.17 In the phase 2 SPECTRA trial (NCT05930561), patients who received the 3E10 vg/eye dose gained a BCVA of 9.7 letters and had a reduction in CST of 174 μm at 60 weeks. These patients also required fewer supplemental injections compared with those who received lower doses of 4D-150 or aflibercept injections.18 The FDA and European Medicines Agency agreed that a single phase 3 trial, based on data from the SPECTRA, PRISM, and upcoming 4FRONT trials, is sufficient for submitting a Biologics License Application and a Marketing Authorization Application, respectively, for 4D-150 in DME.18

A DIVERSE PIPELINE TO WATCH

Beyond the therapies highlighted here, several novel drugs are in phase 1, including: RO7497372 (Genentech/Roche), OCU200 (Ocugen), AIV007 (AiViva BioPharma), K9 (Inflammasome Therapeutics), and octreotide.

With so many therapeutics under investigation with varying mechanisms of action and delivery approaches, we are hopeful that there will soon be many more treatment options to offer our patients. Reducing the treatment burden and improving therapeutic efficacy are keys to preserving vision in this vulnerable patient population.

1. Ciulla TA, Pollack JS, Williams DF. Visual acuity outcomes and anti-VEGF therapy intensity in diabetic macular edema: a real-world analysis of 28 658 patient eyes. Br J Ophthalmol. 2021;105(2):216-221.

2. Kodiak Sciences completes enrollment in second registrational trial of tarcocimab in patients with diabetic retinopathy [press release]. Kodiak Sciences. March 10, 2025. Accessed August 20, 2025. tinyurl.com/bdefhdxn

3. Merck and EyeBio announce initiation of phase 2b/3 clinical trial for Restoret for the treatment of diabetic macular edema [press release]. Merck. September 4, 2024. Accessed August 20, 2025. tinyurl.com/yc8psmxt

4. Nguyen T, Patel S, Cheetham JK, et al. A multicenter, open-labeled, phase 2a study of AG-73305, a novel bi-specific Fc-fusion protein for the treatment of diabetic macular edema. Invest Ophthalmol Vis Sci. 2024;65(7):1759.

5. Therapeutic in development to take on diabetic macular edema. Ophthalmology Times. July 25, 2024. Accessed August 20, 2025. tinyurl.com/3c96as4m

6. A study to investigate vamikibart (RO7200220) in combination with ranibizumab in diabetic macular edema. Accessed October 23, 2025. clinicaltrials.gov/study/NCT05151744

7. EyePoint announces positive six-month results for the phase 2 VERONA clinical trial of DURAVYU for diabetic macular edema meeting primary and secondary endpoints [press release]. EyePoint Pharmaceuticals. October 28, 2024. Accessed August 20, 2025. tinyurl.com/yzatrk5e

8. Perfuse Therapeutics announces positive results from phase 2 clinical trials in glaucoma and diabetic retinopathy patients [news release]. Perfuse Therapeutics. February 5, 2025. Accessed August 20, 2025. tinyurl.com/4wef258p

9. ASRS 2025: PER-001 improved structure and visual function in patients with diabetic retinopathy. Modern Retina. August 4, 2025. Accessed August 20, 2025. tinyurl.com/54kct5uk

10. Oxulumis suprachoroidal microcatherization of Triesence in diabetic macular edema (CAPE). Accessed October 15, 2025. clinicaltrials.gov/study/NCT05512962

11. Efficacy data on eye drop for DME presented at RWC. Retina Physician. May 10, 2025. Accessed August 20, 2025. tinyurl.com/2bse8v2s

12. Oculis completes enrollment in both DIAMOND phase 3 trials of OCS-01 in diabetic macular edema [press release]. Oculis. April 8, 2025. Accessed August 20, 2025. tinyurl.com/45fvwswj

13. Noh M, Kim Y, Zhang H, et al. Oral administration of CU06-1004 attenuates vascular permeability and stabilizes neovascularization in retinal vascular diseases. Eur J Pharmacol. 2023;939:175427.

14. Curacle presents positive phase 2a results for CU06 at Asia Retina Congress [press release]. Curacle. December 18, 2024. Accessed December 18, 2024. tinyurl.com/4wnydz7j

15. Our Science. Vantage Biosciences. Accessed August 20, 2025. tinyurl.com/32pd6mpx

16. Regenxbio presents positive one year data from phase II ALTITUDE trial of ABBV-RGX-314 for treatment of diabetic retinopathy using suprachoroidal delivery [press release]. Regenxbio. November 3, 2023. Accessed August 20, 2025. tinyurl.com/yhevn3ka

17. Khanani AM, Hershberger VS, Kay CN, et al. Interim results for the phase 1/2 PRISM trial evaluating 4D-150, a dual-transgene intravitreal genetic medicine in individuals with neovascular (wet) age-related macular degeneration. Invest Ophthalmol Vis Sci. 2023;64(8):5055.

18. 4DMT presents positive 60-week results from 4D-150 SPECTRA clinical trial in DME and regulatory update [press release]. 4D Molecular Therapeutics. July 31, 2025. Accessed August 20, 2025. tinyurl.com/22s3ybrb