OCT has become an indispensable tool in the monitoring of macular disease.1 The introduction of spectral-domain OCT (SD-OCT) brought with it higher image resolution and faster acquisition and enabled volumetric imaging.2 However, SD-OCT is limited in depth penetration.2,3 The subsequent development of swept-source OCT (SS-OCT) addresses this limitation with a longer wavelength, while still allowing fast scan speeds. SS-OCT also improves visualization through media opacities such as gas and silicone oil.3 While both technologies excel at posterior pole imaging, they are limited by the field of view (FOV). These systems now support longer linear scan lengths and montaging, expanding the ability to visualize pathology beyond the macula. Navigation, where OCT is guided by widefield (WF) fundus images to specific peripheral targets, has further extended OCT’s utility into the periphery. As clinical workflows adapt, navigating OCT beyond the posterior pole is emerging as the new standard of care.
CLASSIFICATION
Clearly defining WF and ultra-WF (UWF) is particularly important in OCT imaging, as some manufacturers label long posterior pole scans as WF or UWF despite limited anatomic reach. Retinal imaging nomenclature defines the FOV in relation to key anatomic landmarks. The agreed terminology is as follows4:
- WF imaging refers to views centered on the fovea that capture the retina in all four quadrants up to and including the vortex vein ampullae. This typically spans 60° to 100°, covering the midperiphery.
- UWF captures areas anterior to the vortex vein ampullae in all quadrants, extending into the far periphery. The field ranges from approximately 110° to 220°.
- Panretinal imaging aims to visualize the entire 360° retina from ora to ora. This requires a montage of multiple UWF images to cover the full circumference.
- Unlike en face images, OCT B-scans are not described in degrees of FOV. Instead, consensus recommends specifying linear scan length (mm), anatomic location (posterior pole, midperiphery, far periphery), and scan type (eg, 12-mm far-peripheral OCT).
CLINICAL APPLICATIONS
Navigated WF SS-OCT enables detailed imaging of the midperipheral and peripheral neuroretina and vitreoretinal interface, improving detection of vision-threatening features such as retinal holes, tears, and subretinal fluid, with strong diagnostic correlation with histopathology.5 One study demonstrated that navigated UWF SS-OCT reliably captured high-resolution images of peripheral retinal lesions, such as retinal holes with vitreous traction and subretinal fluid, and the OCT data proved clinically actionable in 38% of eyes.6
UWF OCT can help distinguish retinal detachment (RD) from degenerative retinoschisis when clinical findings are unclear.7,8 There are reports of OCT revealing that some cases initially diagnosed as retinoschisis were actually RDs, and vice versa.9,10 One study found that three of 18 presumed retinoschisis cases were actually RDs on peripheral OCT, while another study identified six such misdiagnoses in 53 eyes.7,10 This differentiation is clinically important, as retinoschisis often does not require treatment, except in cases with retinal holes, which peripheral OCT can also detect.11
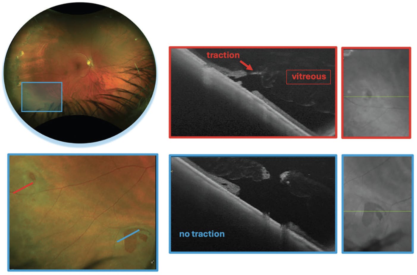
For rhegmatogenous RD, preoperative UWF OCT can localize the primary break by identifying a full-thickness defect in the retina or reveal the presence of peripheral vitreoretinal traction (Figure 1). Postoperatively, UWF OCT can assess retinal reattachment and look for persistent subretinal fluid or outer retinal folds.
OCT imaging after laser retinopexy and cryopexy for RD has demonstrated changes such as coagulative necrosis at laser spots and retinal pigment epithelium (RPE) separation under cryopexy scars in the early weeks, findings previously observed only in histologic studies.12 Importantly, OCT through gas or silicone oil is possible with SS-OCT, allowing immediate postoperative imaging when a gas bubble is present. Thus, UWF OCT can verify if the retina is reattached under the bubble or oil and identify complications such as residual subretinal fluid pockets.
Figure 1. Two retinal tears in the same eye. UWF OCT shows vitreoretinal traction at one tear but not the other, highlighting how it can differentiate between similar-appearing lesions and guide risk-based management.
Peripheral abnormalities are frequently detected on UWF imaging in AMD, underscoring the need to evaluate beyond the macula.13 UWF OCT enables identification of peripheral choroidal neovascularization and peripheral exudative hemorrhagic chorioretinopathy, which may present with hemorrhage, exudation, and subretinal fluid, features linked to increased risk of macular involvement (Figure 2).14 Using UWF OCT, researchers have found that choroidal thinning in AMD extends into the periphery, while retinal thickness remains relatively stable, offering additional insight into disease extent.15
UWF OCT can distinguish peripheral choroidal melanoma from nevi, and subretinal fluid seen on OCT is a key risk factor for malignant transformation (Figure 3).16 Additionally, SS-OCT can be used to image choroidal osteomas, capturing the full lesion and identifying associated neovascularization not easily seen with standard imaging due to RPE changes and lesion density.17
UWF OCT has been illuminating in the study of staphylomas and related macular deformities in pathologic myopia. It has shown that posterior staphylomas are significantly less common in eyes with a dome-shaped macula, suggesting a dome-shaped macula may form independently.18 Also, a dome-shaped macula is mostly associated with wide macular staphylomas and may represent a distinct posterior scleral curvature abnormality.18 UWF OCT imaging also shows that age and axial length influence the shape of posterior staphylomas differently in wide and narrow types, suggesting distinct formation mechanisms for staphyloma subtypes.19
Another study demonstrated the utility of UWF OCT in high myopia for detecting and characterizing macular and paravascular retinoschisis, identifying key risk factors such as age, axial length, spherical equivalent, and high Gaussian curvature, which were associated with both the presence and severity of disease.20 For clinicians, UWF OCT provides a means to track progressive elongation through changes in staphyloma geometry on serial scans and to detect peripheral pathology associated with high myopia. This helps differentiate various posterior segment findings (eg, true detachment vs schisis) and can guide timely interventions.
UWF OCT has potential applications in both the screening and monitoring of retinopathy of prematurity. It offers detailed views of the vascular-avascular junction and enables precise identification of neovascularization, especially extraretinal forms critical for staging.21
UWF OCT also shows promise in detecting retinoblastoma, including small peripheral tumors not visible on ophthalmoscopy.22,23
LIMITATIONS AND CHALLENGES
UWF OCT faces several limitations, including optical distortion and reduced peripheral resolution from retinal curvature and oblique beam angles, leading to edge image degradation. WF scans can be technically challenging, at times requiring eccentric gaze, steady fixation, and dilation, increasing motion artifacts and shadowing, especially with media opacities.
High cost and large device size also hinder widespread use, although these issues are being mitigated by advances in software, automation, and training.
FUTURE DIRECTIONS
Peripheral retinal imaging is rapidly evolving. Faster OCT systems will enable high-resolution WF scans with fewer motion artifacts. Improved optics and pupil tracking may allow imaging closer to the ora serrata without extreme gaze. Emerging AI tools could automate detection and quantification of peripheral pathology and streamline interpretation with objective metrics.
1. Huang D, Swanson EA, Lin CP, et al. Optical coherence tomography. Science. 1991;254(5035):1178-1181.
2. Choma M, Sarunic M, Yang C, Izatt J. Sensitivity advantage of swept source and Fourier domain optical coherence tomography. Opt Express. 2003;11(18):2183-2189.
3. Klein T, Wieser W, Reznicek L, Neubauer A, Kampik A, Huber R. Multi-MHz retinal OCT. Biomed Opt Express. 2013;4(10):1890-1908.
4. Choudhry N, Duker JS, Freund KB, et al. Classification and guidelines for widefield imaging: recommendations from the International Widefield Imaging Study Group. Ophthalmol Retina. 2019;3(10):843-849.
5. Stanga PE, Pastor-Idoate S, Reinstein U, et al. Navigated single-capture 3D and cross-sectional wide-field OCT of the mid and peripheral retina and vitreoretinal interface. Eur J Ophthalmol. 2022;32(3):1642-1651.
6. Kovacs KD, Mahrous MA, Gonzalez L, et al. Feasibility and clinical utility of ultra-widefield-navigated swept-source optical coherence tomography imaging. J Vitreoretin Dis. 2021;5(5):396-404.
7. Eibenberger K, Sacu S, Rezar-Dreindl S, Pöcksteiner J, Georgopoulos M, Schmidt-Erfurth U. Monitoring retinoschisis and non-acute retinal detachment by optical coherence tomography: morphologic aspects and clinical impact. Acta Ophthalmol. 2017;95(7):710-716.
8. McNabb RP, Grewal DS, Mehta R, et al. Wide field of view swept-source optical coherence tomography for peripheral retinal disease. Br J Ophthalmol. 2016;100(10):1377-1382.
9. Yeoh J, Rahman W, Chen FK, da Cruz L. Use of spectral-domain optical coherence tomography to differentiate acquired retinoschisis from retinal detachment in difficult cases. Retina. 2012;32(8):1574-1580.
10. Stehouwer M, Tan SH, van Leeuwen TG, Verbraak FD. Senile retinoschisis versus retinal detachment, the additional value of peripheral retinal OCT scans (SL SCAN-1, Topcon). Acta Ophthalmol. 2014;92(3):221-227.
11. Rachitskaya AV, Yuan A, Singh RP, Sears JE, Schachat AP. Optical coherence tomography of outer retinal holes in senile retinoschisis and schisis-detachment. Br J Ophthalmol. 2017;101(4):445-448.
12. Lee WW, Muni RH. Single-capture ultra-widefield guided swept-source optical coherence tomography in the management of rhegmatogenous retinal detachment and associated peripheral vitreoretinal pathology. Br J Ophthalmol. 2023;107(9):1356-1362.
13. Witmer MT, Kozbial A, Daniel S, Kiss S. Peripheral autofluorescence findings in age-related macular degeneration. Acta Ophthalmol. 2012;90(6):e428-e433.
14. Zicarelli F, Preziosa C, Staurenghi G, Pellegrini M. Peripheral exudative haemorrhagic chorioretinopathy: a widefield imaging study. Br J Ophthalmol. 2021;105(10):1410-1414.
15. Gawęcki M, Kiciński K, Kucharczuk J, Teper S, Hubert M, Kuc T. Ultra-wide-field OCT measurements in patients with age-related macular degeneration in relation to their visual function. Diagnostics. 2024;14(24):2868.
16. Sodhi SK, Golding J, Trimboli C, Choudhry N. Feasibility of peripheral OCT imaging using a novel integrated SLO ultra-widefield imaging swept-source OCT device. Int Ophthalmol. 2021;41(8):2805-2815.
17. Xuan Y, Chang Q, Zhang Y, et al. Clinical observation of choroidal osteoma using swept-source optical coherence tomography and optical coherence tomography angiography. Applied Sciences. 2022;12(9):4472.
18. Saito R, Shinohara K, Tanaka N, Takahashi H, Yoshida T, Ohno-Matsui K. Association between dome-shaped macula and posterior staphyloma in highly myopic eyes investigated by ultra-widefield optical coherence tomography. Retina. 2021;41(3):646-652.
19. Nakao N, Igarashi-Yokoi T, Takahashi H, Xie S, Shinohara K, Ohno-Matsui K. Quantitative evaluations of posterior staphylomas in highly myopic eyes by ultra-widefield optical coherence tomography. Invest Ophthalmol Vis Sci. 2022;63(8):20.
20. Zhao Q, Zhao X, Luo Y, Yang Z. Ultra-wide-field optical coherence tomography and gaussian curvature to assess macular and paravascular retinoschisis in high myopia. Am J Ophthalmol. 2024;263:70-80.
21. Nguyen TP, Ni S, Khan S, et al. Advantages of widefield optical coherence tomography in the diagnosis of retinopathy of prematurity. Front Pediatr. 2021;9:797684.
22. Skalet AH, Campbell JP, Jian Y. Ultrawide-field OCT for retinoblastoma. Ophthalmology. 2022;129(6):718.
23. Gaillard MC, Houghton S, Stathopoulos C, Munier FL. OCT-guided management of subclinical recurrent retinoblastoma. Ophthalmic Genet. 2018;39(3):338-343.