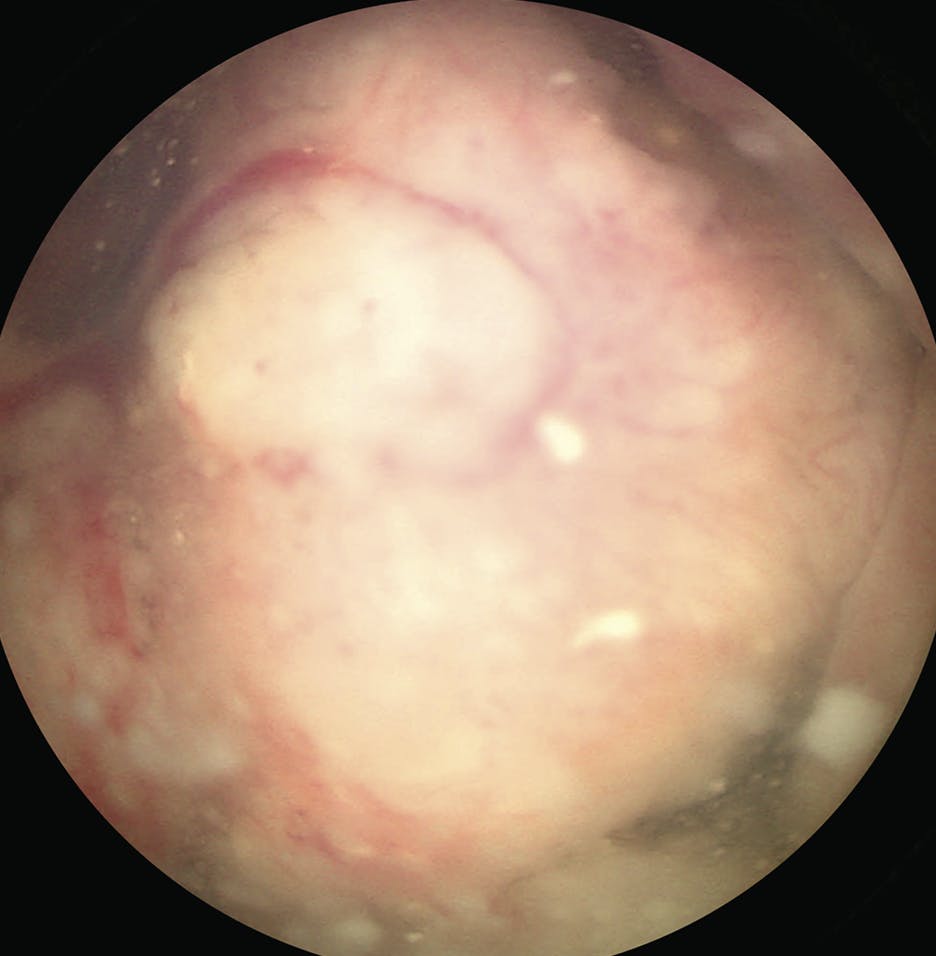
Retinoblastoma is the most common intraocular malignancy in children.1 Those who present with retinoblastoma invasion into the optic nerve beyond the lamina cribrosa and those with choroidal invasion > 3 mm are at a higher risk for metastatic disease; such cases are classified as high-risk retinoblastoma (Figure).

<p>Figure. Fundus photography demonstrates a case of invasive retinoblastoma.</p>

Click to view larger

Figure. Fundus photography demonstrates a case of invasive retinoblastoma.

To reduce metastatic retinoblastoma in children with high-risk histopathological features (HRFs), enucleation is performed, after which, HRFs are confirmed by histopathology. Subsequent adjuvant chemotherapy is then delivered to reduce metastatic potential.2 Although six cycles of chemotherapy with vincristine, etoposide, and carboplatin (VEC) is the standard protocol in such cases,2,3 a recent study has demonstrated a noninferior therapeutic benefit after only three cycles. This article reviews the literature supporting this novel three-cycle protocol, as well as potential reasons to exercise caution in adopting a standard regimen.

CURRENT THERAPEUTIC STANDARD

Honavar et al conducted an important retrospective comparative study including 1,020 children with retinoblastoma, of whom 80 had unilateral sporadic disease and were found on histopathology to have HRF.2 The study authors found that 46 children (58%) received adjuvant treatment with a variety of chemotherapeutic agents (some with additional radiotherapy), while 34 (42%) did not receive any form of adjuvant therapy. Those who received adjuvant chemotherapy experienced only 4% metastasis versus 24% in those who received no adjuvant therapy (P = .02).2 This report stimulated the use of chemotherapy for the treatment of cases with demonstrated HRF.

Kaliki et al later evaluated the effects of a specific chemotherapy regimen of VEC for six cycles for HRF following enucleation for retinoblastoma and noted complete success, with no cases of metastatic disease.3

THREE VERSUS SIX

In 2024, Ye et al performed a dual-institution randomized clinical trial involving 179 patients with unilateral retinoblastoma who all underwent enucleation and were found to have HRF. The study compared three versus six cycles of VEC as adjuvant chemotherapy,4 focusing on eyes with HRF as defined by the American Joint Committee on Cancer’s pathologic staging: pT3a (massive choroidal infiltration), pT3b (retrolaminar optic nerve invasion), and pT3c (scleral invasion).5 Of this group, 89 patients (49.7%) received three cycles of VEC and 90 (50.3%) received six cycles. The three-cycle regimen was delivered over 9 weeks, while the six-cycle regimen spanned 18 weeks.4

The results demonstrated noninferiority of the three-cycle when comparing 5-year disease-free survival (90% vs 89% in the three- and six-cycle groups, respectively) and overall survival (92% vs 89% in the three- and six-cycle groups, respectively). Between groups, grade 3 and 4 toxic effects showed no significant difference (10% vs 13% in the three- and six-cycle groups, respectively). In addition, the authors reported lower direct and indirect costs associated with the three-cycle group. They found that three-cycle VEC adjuvant chemotherapy was as effective as six cycles in preventing metastasis and death, with fewer treatment-related adverse effects and lower cost to patients. Therefore, the authors suggested that a three-cycle regimen of VEC could serve as a new standard, replacing the existing six-cycle treatment regimen.4

Ye et al also used a shorter interval between cycles (21 vs 28 days), which led to a total therapy of only 63 days for the three-cycle group versus 126 days for the six-cycle group.4

DEBATE AROUND THREE-CYCLE ADJUVANT CHEMOTHERAPY

Leahey et al agreed that the shortened three-cycle/9-week chemotherapy for HRF in enucleated retinoblastoma could be comparable with the current six-cycle/24-week standard.6 These authors emphasized that Ye et al's findings underscore the importance of providing adjuvant therapy for HRF despite negative surgical margins.6

However, they also pointed out that applying these findings to those needing adjuvant therapy after secondary enucleation following previous chemotherapy could lead to the downstaging of pathological HRF and extraocular extension, potentially increasing the risk of metastatic death.6 It should be noted that the study by Ye et al excluded patients with prior retinoblastoma treatment.4

Chantada et al further cautioned that this new information should not yet be widely considered, as patients with HRF retinoblastoma are at a heterogeneous risk for the development of extraocular relapse.7 Two groups were used to demonstrate the extremes of these treatment differences: 1) patients with isolated massive choroidal infiltration (ie, pT3a), who maintained a high 5-year overall survival rate in the absence of VEC chemotherapy, implying that treatment might not be necessary in select cases; and 2) patients with a more extensive clinical picture of combined post-laminar optic nerve and massive choroidal invasion with peripapillary invasion who have less-than-optimal 5-year disease-free survival rates despite treatment with the current standard of six cycles of adjuvant chemotherapy, suggesting current treatment practices may need an intensification rather than a reduction.

Thus, a three-cycle adjuvant chemotherapy standard may not be appropriate in all cases; treatment duration should be optimized based on individual patient presentations.7

WORTH INVESTIGATING TO REDUCE TREATMENT BURDEN

A three-cycle regimen of VEC chemotherapy may be a viable alternative to the standard six-cycle regimen for patients with HRF retinoblastoma, offering similar 5-year disease-free survival with shorter treatment duration, comparable toxicity, and lower cost.4 Others have suggested a more tailored regimen would be ideal.7

Given the lack of prospective randomized clinical trials in such cases and the rarity of retinoblastoma, the ultimate need remains obscure.6 However, it is worth considering that reducing the total treatment duration could potentially alleviate significant financial barriers that can lead to treatment abandonment and increased mortality.

Acknowledgement: Support provided in part by the Jerry A. Shields, MD, Eye Cancer Fund, Philadelphia, and the Eye Tumor Research Foundation, Philadelphia. The funders had no role in the design and conduct of the study, in the collection, analysis and interpretation of the data, and in the preparation, review, or approval of the manuscript. Carol L. Shields, MD, has had full access to all the data in the study and takes responsibility for the integrity of the data.

1. Pandey AN. Retinoblastoma: an overview. Saudi J Ophthalmol. 2014;28(4):310-315.

2. Honavar SG, Singh AD, Shields CL, et al. Postenucleation adjuvant therapy in high-risk retinoblastoma. Arch Ophthalmol. 2002;120(7):923-931.

3. Kaliki S, Shields CL, Shah SU, et al. Postenucleation adjuvant chemotherapy with vincristine, etoposide, and carboplatin for the treatment of high-risk retinoblastoma. Arch Ophthalmol. 2011;129(11):1422-1427.

4. Ye H, Xue K, Zhang P, et al. Three vs 6 cycles of chemotherapy for high-risk retinoblastoma: a randomized clinical trial. JAMA. 2024;332(19):1634-1641.

5. Mallipatna A, Gallie BL, Chévez-Barrios P, et al. Retinoblastoma. In: Amin MB, Edge SB, Greene FL (Eds). AJCC Cancer Staging Manual. 8th ed. New York City, NY: Springer; 2017:819-831.

6. Leahey AM, Shah A, Shields CL. Three vs 6 cycles of adjuvant chemotherapy for retinoblastoma. JAMA Ophthalmol. 2024;142(12):1107-1108.

7. Chantada G. Three cycles of adjuvant chemotherapy for high risk retinoblastoma may be too much or not enough. JAMA Ophthalmol. 2024;142;(12):1107-1108.