A 66-year-old immunocompetent woman with a history of recurrent cutaneous lesions was referred for evaluation of retinal lesions in the left eye noted during a routine examination. Her cutaneous lesions were characterized as discrete erythematous macules and small papules on her lower back. Her BCVA was 20/20 OU with normal IOPs and anterior segment examination.
Dilated fundus examination of her left eye showed irregular yellowish choroidal lesions temporal to the macula and focal areas of hypopigmentation nasal to the disc (Figure 1). OCT of her left eye showed trace epiretinal membrane with no definite mass lesion (Figure 1, Inset). Fundus autofluorescence revealed hyperautofluorescence corresponding to the yellow lesions, along with hyperfluorescent changes on fluorescein angiography. ICG angiography of the left eye revealed early blocked cyanescence in the area of the lesions temporal to the macula (Figure 2A) with late foci of hyperfluorescence nasal and temporal to the disc (Figure 2B).
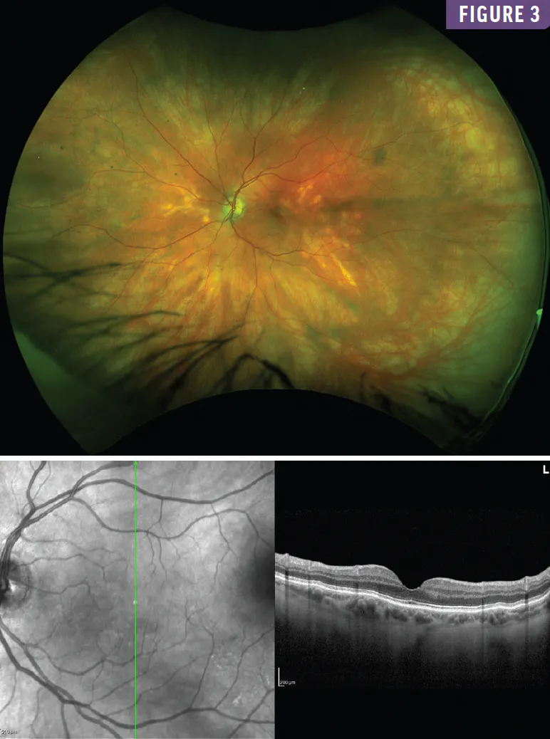
Work-up revealed positive varicella-zoster virus (VZV) immunoglobulin G, but immunoglobulin M was negative. The ocular oncology service ruled out ocular lymphoma. Her choroidal lesions slowly enlarged over the next 6 years with regular monitoring and no definite mass on OCT (Figure 3).
CHOROIDAL VITILIGO
Choroidal vitiligo is an acquired condition characterized by flat depigmentation of the normally pigmented choroid. Primary choroidal vitiligo occurs in patients with cutaneous vitiligo without a history of intraocular inflammation, while secondary choroidal vitiligo typically results from inflammation of the uveal tract, most commonly associated with Vogt-Koyanagi-Harada syndrome.1 Progressive choroidal vitiligo has also been reported after VZV reactivation with exudative retinal detachment.2 VZV-associated uveitis can cause focal or multifocal hypopigmented choroidal lesions, often accompanied by choroidal thickening or scarring.3 To the best of our knowledge, no prior cases have documented choroidal vitiligo associated with a history of zoster rash in the absence of ocular symptoms or inflammation.
RARE BUT POSSIBLE
In this case, the absence of systemic or ocular inflammation combined with a history of zoster rash suggested a postinflammatory mechanism related to VZV. Segmental vitiligo, a subtype of vitiligo, is characterized by cutaneous depigmentation in a dermatomal distribution and is hypothesized to have an autoimmune etiology.4 To extrapolate from dermatological research, VZV may contribute to localized retinal pigment epithelium and choroidal depigmentation. The role of VZV in choroidal pathology remains underexplored, and further studies are needed to elucidate the underlying mechanisms.
This unique case highlights choroidal vitiligo as a rare but possible sequela of VZV reactivation, even in asymptomatic patients.
1. Shields CL, Ramasubramanian A, Kunz WB, Aggarwal E, Shields JA. Choroidal vitiligo masquerading as large choroidal nevus: a report of four cases. Ophthalmology. 2010;117(1):109-113.e3.
2. Licini L, Malclès A. Progressive choroidal vitiligo after varicella-zoster virus reactivation. Ophthalmology. 2023;130(6):614.
3. Kawali A, Khanum A, Mahendradas P, Sanjay S, Mishra SB, Shetty R. Choroidal lesions in varicella zoster virus uveitis. Indian J Ophthalmol. 2023;71(5):1996-2000.
4. Gauthier Y, Lepreux S, Cario-Andre M, et al. Varicella-zoster virus in actively spreading segmental vitiligo skin: pathological, immunochemical, and ultrastructural findings (a first and preliminary study). Pigment Cell Melanoma Res. 2023;36(1):78-85.