MTM IN THREE PARTS

Myopic traction maculopathy (MTM) is a complex condition that includes macular schisis with or without submacular fluid, as well as the more advanced stage of macular hole retinal detachment (MHRD). To help clinicians tackle the various complications of high myopia, I have organized a three-part series breaking down the timing and surgical options for MTM, macular buckling for MTM, and vitrectomy pearls for complex MHRD. Together, these articles are designed to provide you with a comprehensive perspective on the surgical management of this challenging condition.
Below is part two, and you can find parts one and three here:
Myopic Traction Maculopathy: Surgical Timing and Techniques
Complex Myopic MHRD: Membranes and Transplants
The abnormal elongation and expansion of the sclera may induce a series of consequences in different tissues of the highly myopic eye, including myopic traction maculopathy (MTM), lacquer cracks and progressive atrophy in the choroid, and neovascularization.1 Scleral deformation generates both tangential and perpendicular forces that differentially drive MTM phenotypes, ranging from inner and outer macular schisis to foveal/macular detachment, lamellar defects, and full-thickness macular holes (FTMHs). The dominant force vector determines the evolution: perpendicular traction favors schisis and macular detachment, whereas tangential traction promotes lamellar macular hole (LMH) and FTMH. Combined vectors produce mixed presentations.
Given the force-driven progression of MTM, the Myopic Traction Maculopathy Staging System (MSS) standardized disease classification, refined prognostic evaluation, and informed therapeutic planning. MSS stage 1 is characterized by inner or inner-outer schisis, which may progress to MSS stage 2, defined by purely outer schisis. Further progression leads to macular detachment in MSS stage 3, involving separation of the photoreceptors from the retinal pigment epithelium and initially limited to the macular region. In MSS stage 4, the detachment extends to the posterior pole and beyond. At any stage, additional structural abnormalities may arise due to tangential tractional forces, potentially resulting in LMH (designated with “b” in the staging system) or FTMH (designated with “c”), whereas stages designated with “a” indicate the absence of associated macular holes.1-3
In summary, the MSS requires classification by combining stages 1, 2, 3, and 4—corresponding to inner schisis, outer schisis, schisis-detachment, and macular detachment, respectively—with subtypes a, b, and c, indicating a normal fovea, LMH, or FTMH.
OPTIMAL TREATMENT APPROACH FOR MTM
The optimal treatment strategy is determined by the disease stage.2-4
Stage 1a is best managed with periodic observation every 12 to 18 months, as visual acuity is typically preserved and progression to more advanced stages usually occurs slowly.
When mild schisis is accompanied by a symptomatic LMH (stage 1b) or a FTMH (stage 1c), pars plana vitrectomy (PPV) with internal limiting membrane (ILM) peeling and an ILM flap technique should be considered to increase the likelihood of macular hole closure.
Stage 2a represents the threshold at which surgical intervention with macular buckling is usually indicated.
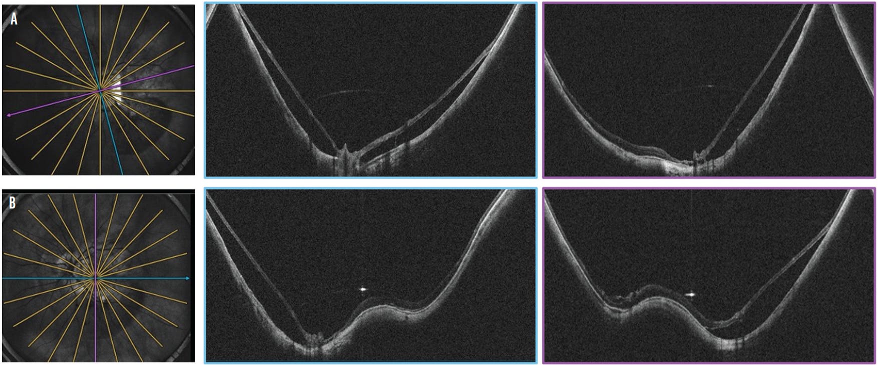
Stages 3 and 4 represent the ultimate manifestation of posterior staphyloma, in which the sclera separates from the macula. In these stages, macular buckling alone is recommended regardless of foveal status, as the predominant tractional vector responsible for retinal separation is perpendicular to the macular surface (Figure 1).
Figure 1. Preoperative imaging of a stage 4a MTM shows a macular detachment on radial OCT scans (A). Postoperative scans following macular buckling demonstrate resolution of the macular detachment (B). The indentation from the buckle produces a characteristic modification of the scleral profile. In this case, the patient’s VA improved from 1/20 to 5/10.
PPV may be performed as a second-step procedure, only if necessary, to refine the foveal contour once the retina has reattached and is no longer affected by schisis or macular detachment, with the aim of closing a persistent FTMH.
SURGICAL TECHNIQUE
Recently, researchers have worked to develop a macular buckling device that is easy to use, while simplifying and standardizing the surgical implantation technique.5
Several models of macular buckle have been proposed.6-9 Here, we describe a newly designed macular buckle, the NPB (AJL). It is a single-piece, J-shaped PMMA device coated with a thin biocompatible silicone layer and customizable according to axial length. It features two components, the head and the arm (Figure 2). The head, hemispherical with a flat base, acts as the buckling surface positioned beneath the macula and includes a dedicated groove to accommodate an illuminated fiber. The J-shaped arm facilitates positioning and fixation with anterior and posterior suture holes placed on the arm.
Figure 2. The NPB macular buckle shown from the lateral (A), posterior (B), and anterior (C) perspectives. Note the four fixation holes on the arm. Insertion of the illuminated fiber into the dedicated groove beneath the buckle head enables transscleral illumination (D). The NPB loading device is engineered to interface with the buckle arm and assist with controlled insertion (E). The complex is assembled—NPB buckle, loading device, and illuminated fiber—immediately prior to surgical insertion (F).
The NPB was design to allow a user-friendly and standardized technique, and research shows that the average time of surgery is 35 to 40 minutes with a reproducible sequence of step.10,11
An NPB loading device (Janach) aligns with the arm of the buckle for smooth introduction, improved manipulation, and globe stabilization.
Surgery may be performed under general or local anesthesia, using sub-Tenon injection to avoid scleral perforation. The procedure includes the following surgical steps (Figure 3):
1. Dissect the conjunctiva and Tenon to expose the superotemporal sclera.
2. Mobilize the globe by placing traction sutures around the superior and lateral rectus muscles, although the loading device can eliminate this step.
3. Prepare the buckle by connecting it to the optional loading device and inserting an illuminated fiber.
4. Insert the buckle along the eyewall toward the posterior pole until the head is positioned under the macula.
5. Place superior and temporal sutures through the anterior holes of the arm, while ensuring the buckle head is perfectly centered under the macula.
6. Verify the buckle position and adjust if necessary.
7. Detach the loading device and close both the Tenon and conjunctiva.
Figure 3. Select surgical steps of macular buckling, including exposure of the superotemporal scleral wall at the intended site of macular buckle fixation (A) and insertion of the macular buckle using a loading device (B and C). With a flat contact lens in place, transscleral illumination confirms the correct positioning of the buckle head beneath the macular region (D). Final fixation of the macular buckle to the scleral wall uses 6-0 Ti-Cron sutures passed through the pre-formed holes of the buckle arm (E and F).
Visualization can be performed either with a flat corneal contact lens—allowing simultaneous visualization of the buckle head and arm—or via a panoramic viewing system, which provides a wider field but is more time-consuming.
Different lengths are available based on the axial length.10
KEY TAKEAWAYS
- Given the force-driven progression of myopic traction maculopathy (MTM), the Myopic Traction Maculopathy Staging System (MSS) was introduced to standardize disease classification, refine prognostic evaluation, and inform therapeutic planning.
- In recent years, considerable effort has been directed toward developing a macular buckling device that is easy to use, while simplifying and standardizing the surgical implantation technique.
- The new NPB macular buckle (AJL), together with its loading device, stepwise surgical protocol, and nomogram, provides a standardized, reproducible, and user-friendly approach.
COMPLICATIONS AND PREVENTION
Complications observed included superficial buckle extrusion (5%), diplopia (5%), and rare mild peripheral choroidal hemorrhage (0.5%).4 Appropriate selection of the distance from the limbus to the needle insertion, early ocular motility exercises, stable intraoperative IOP, and minimizing scleral manipulation help reduce these risks.
The macular buckle does not come in contact with the optic nerve, as confirmed by postoperative MRI.12 Research shows that microperimetry improves with macular buckling, and an ongoing study is confirming that the visual field improves or remains stable after macular buckle surgery.4
Choroidal atrophy was assessed over long-term follow-up by comparing progression in the operated eye with the fellow eye. We found that the presence of the macular buckle does not induce greater atrophy than the natural course of myopic maculopathy (Figure 4).13 Preliminary data suggest that the macular buckle, by treating the staphyloma, could also prevent the progression of macular choroidal atrophy.
Figure 4. This patient with MTM was treated with macular buckling in 2017. Comparison between baseline (2017, A) and follow-up (2024, B) demonstrates stability of the atrophic areas, with no enlargement of macular atrophy. The white arrows point to the macula.
KEY TAKEAWAYS
Macular buckling is a safe and effective treatment for maculoschisis and macular detachment in MTM. The new NPB, together with its loading device and stepwise surgical protocol, provides a standardized, reproducible, and user-friendly approach. We recommend macular buckling as a first-line therapy for MTM in stages 2, 3, and 4. PPV with an ILM flap may be added in the presence of LMH or FTMH as a sequential surgical approach.
1. Parolini B, Palmieri M, Finzi A, Besozzi G, Frisina R. Myopic traction maculopathy: A new perspective on classification and management. Asia Pac J Ophthalmol (Phila). 2021;10(1):49-59.
2. Parolini B, Palmieri M, Finzi A, Frisina R. Proposal for the management of myopic traction maculopathy based on the new MTM staging system. Eur J Ophthalmol. 2021;31(6):3265-3276.
3. Parolini B, Matello V, Palmieri M, Kirkova R, Ripa M. Customized treatment for myopic traction maculopathy based on the MTM staging system: Long-term results in naïve eyes. Eur J Ophthalmol. 2025;35(5):1842-1853.
4. Parolini B, Matello V, Palmieri M, Kirkova R, Ripa M. Customized treatment for myopic traction maculopathy based on the MTM staging system: Long-term results in naïve eyes. Eur J Ophthalmol. 2025;35(5):1842-1853.
5. Parolini B. A new model of a macular buckle and a refined surgical technique for the treatment of myopic traction maculopathy. Vision (Switzerland). 2024;8(3).
6. Bedda AM, Abdel Hadi AM, Lolah M, Abd Al Shafy MS. A new sutureless illuminated macular buckle designed for myopic macular hole retinal detachment. J Ophthalmol. 2017;2017.
7. Stirpe M, Ripandelli G, Rossi T, Cacciamani A, Orciuolo M. A new adjustable macular buckle designed for highly myopic eyes. Retina. 2012;32(7):1424-1427.
8. Ward B. Degenerative myopia: myopic macular schisis and the posterior pole buckle. Retina. 2013;33(1):224-231.
9. Devin F, Tsui I, Morin B, Duprat JP, Hubschman JP. T-shaped scleral buckle for macular detachments in high myopes. Retina. 2011;31(1):177-180.
10. Viana AR, Ripa M, Silva A, Matello V, Parolini B. Preliminary efficacy and safety results of a new macular buckle model (NPB) in myopic traction maculopathy. Eur J Ophthalmol. 2025;35(4):1402-1412.
11. Parolini B. A new model of a macular buckle and a refined surgical technique for the treatment of myopic traction maculopathy. Vision (Basel). 2024;8(3).
12. Parolini B, Frisina R, Pinackatt S, et al. Indications and results of a new l-shaped macular buckle to support a posterior staphyloma in high myopia. Retina. 2015;35(12):2469-2482.
13. Parolini B, Padrón JFR, Lopes E, Boptom VM, Crincoli E. Evaluation of macular atrophy in patients treated with macular buckle for myopic traction maculopathy mid- and long-term follow-up. Retina. 2024;44(7):1180-1187.