AT A GLANCE

  • Historically, visual acuity was the primary driver for surgery with epiretinal membranes (ERMs). However, new OCT-based ERM classifications correlate with vision and can provide prognostic value.
  • Increasingly, patient symptoms—such as stereopsis, contrast sensitivity, and reading ability—are important metrics when deciding when to operate.
  • Surgeons should follow symptomatic ERMs closely, and if they demonstrate symptomatic or anatomic worsening, even with excellent visual acuity, it may be prudent to consider operating.

The greatest challenge of managing epiretinal membranes (ERMs) for the experienced vitreoretinal surgeon is the clinical decision making on when (and when not) to peel them. The timing of surgery is nuanced, and practice patterns have shifted over the past decade with the development of new imaging technology.

A CASE EXAMPLE

To demonstrate this change in practice pattern, consider the case of a 25-year-old woman who presented with a VA of 20/15 and an ERM without a posterior vitreous detachment. The vitreous was devoid of cells, and the peripheral examination demonstrated no vascular changes. Fluorescein angiography demonstrated no leakage, and ultrasound biomicroscopy demonstrated no masses; she was diagnosed with an idiopathic ERM, which is rare in this age group.

Over several months, the ERM progressed with increased tangential traction and the development of a cotton ball sign (Figure 1). The patient complained of progressive macropsia despite maintaining a VA of 20/20. She was counseled that her macropsia may not improve with surgery, but membrane peeling would help achieve long-term stability and stop ERM progression.

She underwent 25-gauge vitrectomy, hyaloid elevation, and brilliant blue G dye-assisted ERM peeling. Two months postoperatively, her VA was 20/20 and her symptoms had improved incompletely (Figure 2). Notably, the distortion improved, but the image discrepancy persisted. While this patient is not a typical ERM patient due to her young age, the case demonstrates that visual symptoms and OCT features can be the impetus to operate, even while maintaining excellent visual acuity.

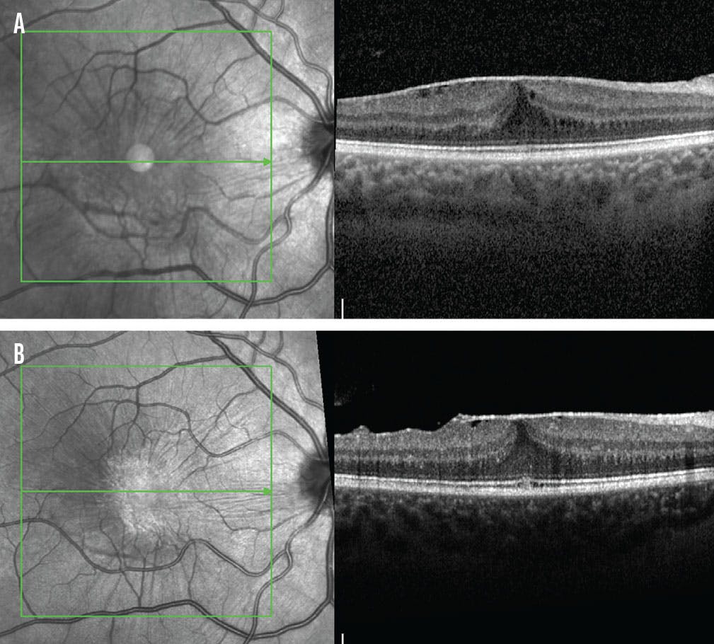
<p>Figure 1. A horizontal raster of a macula OCT from 3 months prior to surgery demonstrates the ERM with loss of a normal foveal contour and trace cystoid changes (A). Note the worsening striae on the near-infrared and the development of a cotton ball sign on OCT (B).</p>

Click to view larger

Figure 1. A horizontal raster of a macula OCT from 3 months prior to surgery demonstrates the ERM with loss of a normal foveal contour and trace cystoid changes (A). Note the worsening striae on the near-infrared and the development of a cotton ball sign on OCT (B).

<p>Figure 2. In these OCT images from postoperative month 1 (A) and 2 (B), note the progressive resolution of the cotton ball sign and a gradual trend toward a more normal foveal contour.</p>

Click to view larger

Figure 2. In these OCT images from postoperative month 1 (A) and 2 (B), note the progressive resolution of the cotton ball sign and a gradual trend toward a more normal foveal contour.

IMAGING PEARLS

Historically, visual acuity was the primary driver for surgery. However, the advent of OCT has resulted in new OCT-based ERM classifications that correlate with vision (in a non-linear fashion) and provide prognostic value. One such classification system was devised by Govetto et al, who used ectopic inner foveal layers (EIFL) as the hallmark OCT biomarker of their staging system, rather than the ellipsoid zone (EZ) or external limiting membrane, which have both demonstrated prognostic value.1

There are four stages to this system, and, notably, visual acuity does not decline linearly with the Govetto OCT stages.

  • Stage 1: an ERM with a normal foveal depression and average VA of 20/21
  • Stage 2: loss of the normal foveal contour, widened outer nuclear layer, and average VA of 20/27
  • Stage 3: continuous EIFL and average VA of 20/43
  • Stage 4: EIFL with disruption of the retinal layers and average VA of 20/81

By the time a patient progresses to stage 3, the prognosis after surgery is guarded, relative to operating at earlier stages. Therefore, using visual acuity alone to drive surgical decision making may not optimize patient outcomes. Considering OCT biomarkers and other functional visual symptoms of metamorphopsia may allow for a more sophisticated approach to ERMs.

ERM: A DEEP DIVE

ERMs occur in approximately one third of individuals over 62 years of age,2 and over 5 years, 29% of ERMs progress, 26% regress, and 39% remain the same on OCT.3

Risk factors for developing an ERM include increasing age, ERM in the fellow eye, and the development of a posterior vitreous detachment.4 In addition, diabetic retinopathy increases the risk, perhaps due to the effect of hyperglycemia on the vitreous.5 There is some evidence that cataract surgery may be a risk factor; however, this is confounded by improved visualization and detection of ERMs after surgery.4 While pseudophakic cystoid macular edema occurs more commonly in eyes with ERMs than in eyes without membranes,6 there is no increased risk of ERM progression or contraction after cataract surgery.

We have an incomplete understanding of how to predict which ERMs will progress and which ones will remain stable. Persistent vitreomacular adhesion is a risk factor for ERM progression;7 however, there are no established OCT biomarkers to predict ERM progression.

Although we lack predictive biomarkers, there are OCT features of ERMs that seem to correlate with the development of specific visual symptoms. Metamorphopsia may be related to disruption of the EZ and inner retinal layers.4 Macropsia and micropsia may correlate with crowding and splitting, respectively, of the photoreceptors, neither of which typically improves after surgical membrane peeling. Visual acuity does not correlate with the presence or severity of patients’ metamorphopsia or aniseikonia. However, patients’ scores on the National Eye Institute Visual Function Questionnaire-25 decline with severe metamorphopsia.4

Traditionally, visual acuity has been the main driver for surgical intervention for ERMs, but increasingly, patient symptoms are considered an important metric. Some of these symptoms, including stereopsis, contrast sensitivity, and reading ability, may improve after membrane peeling without a gain in visual acuity.8-11 Certain clinical and OCT features carry a positive prognosis for surgical outcomes, such as shorter duration of symptoms, better presenting visual acuity, and younger age. OCT parameters that are positive surgical prognosticators include thin ganglion cell and inner plexiform layers, longer photoreceptor outer segment distance, intact EZ and interdigitation zone lines, and the absence of an EIFL.1,12,13

EARLY VERSUS DELAYED INTERVENTION

This paradigm shift toward symptom-based surgical intervention may lead to operating on ERM patients who have excellent visual acuity. While this remains somewhat controversial, studies have evaluated the merits of early versus delayed surgical intervention to clarify best practices, and an ongoing DRCR Retina Network study will shed more light on this question.14

Surgeons must keep in mind that there is a ceiling effect to visual acuity. Patients with very good baseline visual acuity are more likely to maintain rather than gain visual acuity after surgery, while patients with worse baseline visual acuity may have higher BCVA gains that are still inferior compared with those with better baseline BCVA. Therefore, the goals of early surgical intervention are typically maintenance of already excellent (but slowly worsening) visual acuity, possible improvement in visual symptoms, and prevention of progression.

One study by Al-Khersan et al compared immediate versus delayed surgery (if progression occurred) and did not find any significant differences in visual acuity. However, they did not evaluate visual metrics other than acuity.15 A prospective study by Nakashizuka et al compared surgical outcomes of patients with a VA of 20/20 versus 20/25 to 20/63 and found that surgery in the 20/20 group improved the horizontal metamorphopsia and quality of life scores and prevented worsening of aniseikonia seen in the moderate vision group.8 While some evidence supports early surgical intervention for symptomatic ERMs, the decision to proceed with early surgery should be tailored to the patient’s wishes and balance the risks and benefits.

Once the plan for membrane peeling has been confirmed, surgeons must decide whether to peel the internal limiting membrane (ILM) in addition to the ERM. There are no significant differences in visual acuity or metamorphopsia outcomes after ERM peel alone versus ERM with ILM removal.16 Although ILM peeling is associated with a lower risk of ERM recurrence, many recurrent ERMs do not require repeat surgery.17 Because ILM peeling removes the Müller cell footplates, there is a risk of optic nerve fiber layer dissociation or arcuate swelling. While ILM peeling does not disrupt visual acuity, there may be micro-scotomas and decreased retinal sensitivity.18

A COMPLICATED DECISION-MAKING PROCESS

There are metrics in addition to visual acuity that may help guide surgeons on the decision to intervene surgically for ERMs. Patient symptoms and OCT prognosticators are important to consider, as visual acuity may not decline linearly with ERM progression. Follow symptomatic ERMs closely, and if they demonstrate symptomatic or anatomic worsening, even if the patient maintains excellent visual acuity, it may be prudent to consider operating.

1. Govetto A, Lalane RA, Sarraf D, Figueroa MS, Hubschman JP. Insights into epiretinal membranes: presence of ectopic inner foveal layers and a new optical coherence tomography staging scheme. Am J Ophthalmol. 2017;175:99-113.

2. Meuer SM, Myers CE, Klein BE, et al. The epidemiology of vitreoretinal interface abnormalities as detected by spectral-domain optical coherence tomography: the Beaver Dam Eye Study. Ophthalmology. 2015;122(4):787-795.

3. Mitchell P, Smith W, Chey T, Wang JJ, Chang A. Prevalence and associations of epiretinal membranes. The Blue Mountains Eye Study, Australia. Ophthalmology. 1997;104(6):1033-1040.

4. Chua PY, Sandinha MT, Steel DH. Idiopathic epiretinal membrane: progression and timing of surgery. Eye (Lond). 2022;36(3):495-503.

5. Ng CH, Cheung N, Wang JJ, et al. Prevalence and risk factors for epiretinal membranes in a multi-ethnic United States population. Ophthalmology. 2011;118(4):694-699.

6. Schaub F, Adler W, Enders P, et al. Preexisting epiretinal membrane is associated with pseudophakic cystoid macular edema. Graefes Arch Clin Exp Ophthalmol. 2018;256(5):909-917.

7. Byon IS, Pak GY, Kwon HJ, Kim KH, Park SW, Lee JE. Natural history of idiopathic epiretinal membrane in eyes with good vision assessed by spectral-domain optical coherence tomography. Ophthalmologica. 2015;234(2):91-100.

8. Nakashizuka H, Kitagawa Y, Wakatsuki Y, et al. Prospective study of vitrectomy for epiretinal membranes in patients with good best-corrected visual acuity. BMC Ophthalmol. 2019;19(1):183.

9. Okamoto F, Okamoto Y, Hiraoka T, Oshika T. Effect of vitrectomy for epiretinal membrane on visual function and vision-related quality of life. Am J Ophthalmol. 2009;147(5):869-874.

10. Mieno H, Kojima K, Yoneda K, et al. Evaluation of pre- and post-surgery reading ability in patients with epiretinal membrane: a prospective observational study. BMC Ophthalmol. 2020;20(1):95.

11. Fuseya M, Imamura Y, Ishida S, Inoue M, Tsubota K. Regression of macular drusen after pars plana vitrectomy in a patient with age-related macular degeneration. Retin Cases Brief Rep. 2007;1(3):160-162.

12. Shiono A, Kogo J, Klose G, et al. Photoreceptor outer segment length: a prognostic factor for idiopathic epiretinal membrane surgery. Ophthalmology. 2013;120(4):788-794.

13. Miguel AI, Legris A. Prognostic factors of epiretinal membranes: A systematic review. J Fr Ophtalmol. 2017;40(1):61-79.

14. Randomized trial comparing immediate vs. deferred surgery for symptomatic ERM (Protocol AM). Accessed December 22, 2025. clinicaltrials.gov/study/NCT05145491

15. Al-Khersan H, Shaheen AR, Flynn HW, Smiddy WE. Natural history and surgical timing for idiopathic epiretinal membrane. Ophthalmol Retina. 2022;6(11):978-984.

16. Diaz-Valverde A, Wu L. To peel or not to peel the internal limiting membrane in idiopathic epiretinal membranes. Retina. 2018;38(Suppl 1):S5-S11.

17. Shimada H, Nakashizuka H, Hattori T, Mori R, Mizutani Y, Yuzawa M. Double staining with brilliant blue G and double peeling for epiretinal membranes. Ophthalmology. 2009;116(7):1370-1376.

18. Deltour JB, Grimbert P, Masse H, Lebreton O, Weber M. Detrimental effects of active internal limiting membrane peeling during epiretinal membrane surgery: microperimetric analysis. Retina. 2017;37(3):544-552.